• Tel: 858.663.9055
  • SeparatorEmail: info@nsjbio.com
  • Tel: 858.663.9055
  • Email: info@nsjbio.com
Home >> Antibodies >> GZMK Antibody / Granzyme K

GZMK Antibody / Granzyme K (RQ7373)

  Catalog No Formulation Size Price (USD)  
Image RQ7373 0.5mg/ml if reconstituted with 0.2ml sterile DI water 100 ug 449
Bulk quote request
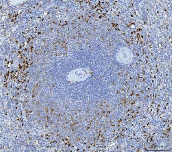
IHC staining of FFPE human spleen tissue with GZMK antibody. HIER: boil tissue sections in pH8 EDTA for 20 min and allow to cool before testing.
Availability 1-3 business days
Species Reactivity Human
Format Antigen affinity purified
Host Rabbit
Clonality Polyclonal (rabbit origin)
Isotype Rabbit IgG
Purity Antigen affinity purified
Buffer Lyophilized from 1X PBS with 2% Trehalose
UniProt P49863
Localization Cytoplasmic, secreted
Applications Immunohistochemistry (FFPE) : 2-5ug/ml
Limitations This GZMK antibody is available for research use only.
Review this product on BioCompare and get a $20 Amazon gift card

Description

Granzyme K is a protein that in humans is encoded by the GZMK gene. This gene product is a member of a group of related serine proteases from the cytoplasmic granules of cytotoxic lymphocytes. Cytolytic T lymphocytes (CTL) and natural killer (NK) cells share the remarkable ability to recognize, bind, and lyse specific target cells. They are thought to protect their host by lysing cells bearing on their surface 'nonself' antigens, usually peptides or proteins resulting from infection by intracellular pathogens. The protein described here lacks consensus sequences for N-glycosylation present in other granzymes

Application Notes

Optimal dilution of the GZMK antibody should be determined by the researcher.

Immunogen

Amino acids DIMLVKLQTAAKLNKHVKMLHIR were used as the immunogen for the GZMK antibody.

Storage

After reconstitution, the GZMK antibody can be stored for up to one month at 4oC. For long-term, aliquot and store at -20oC. Avoid repeated freezing and thawing.

Cross
Bulk Quote Request Form
Name*:
Organization*:
Email*:
Phone Number*:
Catalog No.*:
Comments and Specifics(amount, formulation, etc.)*:
Validation code: Captchapackage Image


Can't read the image? click here to refresh.
    *required field

Your bulk quote request has been submitted successfully!

Please contact us if you have any questions.