• Tel: 858.663.9055
  • SeparatorEmail: info@nsjbio.com
  • Tel: 858.663.9055
  • Email: info@nsjbio.com
Home >> Antibodies >> Guanylate Binding Protein 1 Antibody / Interferon Signaling Marker Antibody

Guanylate Binding Protein 1 Antibody / Interferon Signaling Marker Antibody [clone GBP1/7617] (V4662)

  Catalog No Formulation Size Price (USD)  
Image V4662-100UG 0.2 mg/ml in 1X PBS with 0.1 mg/ml BSA (US sourced), 0.05% sodium azide 100 ug 559
Image
V4662-20UG 0.2 mg/ml in 1X PBS with 0.1 mg/ml BSA (US sourced), 0.05% sodium azide 20 ug 259
Image
V4662SAF-100UG 1 mg/ml in 1X PBS; BSA free, sodium azide free 100 ug 559
Bulk quote request
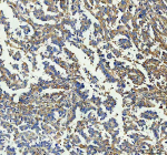
Guanylate Binding Protein 1 Antibody Lymph Node IHC. Immunohistochemistry analysis of FFPE human lymph node tissue stained with Guanylate Binding Protein 1 Antibody clone GBP1/7617 demonstrates strong membranous and cytoplasmic HRP-DAB brown staining throughout dense lymphoid cellular populations, consistent with the role of Guanylate binding protein 1 / GBP1 in interferon-responsive immune activation and inflammatory signaling pathways. The widespread staining pattern aligns with the established function of GBP1 as an interferon-inducible GTPase associated with innate immune defense and cytokine-responsive cellular activation. The negative control inset using PBS in place of primary antibody demonstrates minimal background secondary antibody binding. HIER: boil tissue sections in pH 9 10mM Tris with 1mM EDTA for 20 min and allow to cool before testing.
Guanylate Binding Protein 1 Antibody Liver IHC. Immunohistochemistry analysis of FFPE human liver tissue stained with Guanylate Binding Protein 1 Antibody clone GBP1/7617 demonstrates diffuse cytoplasmic and membranous HRP-DAB brown staining within hepatocyte-associated cellular populations, consistent with the role of Guanylate binding protein 1 / GBP1 in interferon-responsive inflammatory signaling and innate immune-associated stress response pathways. The observed staining pattern aligns with the function of GBP1 as an interferon-inducible GTPase involved in cytokine-responsive host defense and inflammatory activation. HIER: boil tissue sections in pH 9 10mM Tris with 1mM EDTA for 20 min and allow to cool before testing.
SDS-PAGE analysis of purified, BSA-free Guanylate binding protein 1 antibody (clone GBP1/7617) as confirmation of integrity and purity.
Availability 1-3 business days
Species Reactivity Human
Format Purified
Host Mouse
Clonality Monoclonal (mouse origin)
Isotype Mouse IgG1, kappa
Clone Name GBP1/7617
Purity Protein A/G affinity
UniProt P32455
Localization Cytoplasm, Cell membrane, Secreted
Applications Immunohistochemistry (FFPE) : 1-2ug/ml for 30 min at RT
Limitations This Guanylate Binding Protein 1 Antibody / Interferon Signaling Marker Antibody is available for research use only.
Review this product on BioCompare and get a $20 Amazon gift card

Related Products

Description

Guanylate binding protein 1 (GBP1) is a large interferon-inducible GTPase involved in innate immune activation, inflammatory signaling, and antimicrobial host defense pathways. The Guanylate Binding Protein 1 Antibody / Interferon Signaling Marker Antibody clone GBP1/7617 is designed for detection of GBP1 expression in studies involving interferon-gamma signaling, cytokine-responsive immune activation, and inflammatory tissue-associated responses.

GBP1 is encoded by the GBP1 gene on chromosome 1p22 and belongs to the guanylate-binding protein family of dynamin-related large GTPases. Expression of GBP1 is strongly induced by interferon-gamma and additional inflammatory cytokine-associated signaling pathways. The protein localizes primarily within the cytoplasm and may associate with intracellular membrane compartments, pathogen-containing vacuoles, and immune-associated signaling complexes during activated inflammatory states.

GBP1 contributes to innate immune defense mechanisms directed against intracellular bacterial, viral, and protozoan pathogens. The protein participates in pathways involving pathogen restriction, inflammatory signaling amplification, and immune-associated membrane remodeling. GBP1 has also been implicated in inflammasome-associated signaling and regulation of host defense responses activated during infection and cytokine-mediated immune stimulation.

In addition to infectious disease biology, GBP1 has emerged as an important marker within tumor-associated immune microenvironment studies and chronic inflammatory signaling research. Elevated GBP1 expression has been reported in interferon-responsive tumor states, activated stromal environments, and cytokine-associated inflammatory tissue compartments. Because GBP1 expression frequently reflects active interferon pathway signaling, the protein is commonly evaluated alongside markers of immune activation, inflammatory infiltration, and cytokine-responsive transcriptional programs.

The clone GBP1/7617 monoclonal antibody supports research applications involving interferon signaling, innate immunity, inflammatory activation, and host-pathogen interaction biology. Immunohistochemical and western blot analyses using GBP1 antibodies commonly demonstrate cytoplasmic expression patterns within activated epithelial, endothelial, stromal, and immune-associated cellular populations consistent with interferon-responsive signaling states.

GBP1 continues to serve as an important target in studies involving innate immune defense, inflammatory disease biology, antimicrobial signaling pathways, and tumor-associated immune regulation.

For studies requiring analysis of interferon-responsive innate immune signaling and inflammatory host defense pathways, see our GBP1 Antibody / Interferon-Induced Immune Response Marker.

Application Notes

Optimal dilution of the Guanylate Binding Protein 1 Antibody / Interferon Signaling Marker Antibody should be determined by the researcher.

Immunogen

A recombinant partial protein sequence (within amino acids 400-592) from the human protein was used as the immunogen for the Guanylate binding protein 1 antibody.

Storage

Aliquot the Guanylate binding protein 1 antibody and store frozen at -20oC or colder. Avoid repeated freeze-thaw cycles.

Alternate Names

Guanylate binding protein 1 antibody, GBP1 antibody, Interferon signaling marker antibody, Interferon-inducible GTPase antibody, Innate immunity marker antibody

Cross
Bulk Quote Request Form
Name*:
Organization*:
Email*:
Phone Number*:
Catalog No.*:
Comments and Specifics(amount, formulation, etc.)*:
Validation code: Captchapackage Image


Can't read the image? click here to refresh.
    *required field

Your bulk quote request has been submitted successfully!

Please contact us if you have any questions.