• Tel: 858.663.9055
  • SeparatorEmail: info@nsjbio.com
  • Tel: 858.663.9055
  • Email: info@nsjbio.com
Home >> Antibodies >> GSTP1 Antibody / GST pi

GSTP1 Antibody / GST pi (R31598)

  Catalog No Formulation Size Price (USD)  
Image R31598 0.5mg/ml if reconstituted with 0.2ml sterile DI water 100 ug 449
Bulk quote request
Immunofluorescent staining of FFPE human SH-SY5Y cells with GSTP1 antibody (green) and DAPI nuclear stain (blue). HIER: steam section in pH6 citrate buffer for 20 min.
Flow cytometry testing of fixed and permeabilized human A549 cells with GSTP1 antibody at 1ug/million cells (blocked with goat sera); Red=cells alone, Green=isotype control, Blue= GSTP1 antibody.
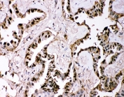
IHC-P: GSTP1 antibody testing of human lung cancer tissue. HIER: boil tissue sections in pH8 EDTA for 20 min and allow to cool before testing.
IHC-P: GSTP1 antibody testing of rat lung tissue. HIER: boil tissue sections in pH8 EDTA for 20 min and allow to cool before testing.
Western blot testing of 1) human HeLa, 2) human 293T, 3) human Jurkat and 4) mouse liver tissue lysate with GST pi antibody. Predicted molecular weight ~23 kDa.
Availability 1-3 business days
Species Reactivity Human, Mouse, Rat
Format Antigen affinity purified
Host Rabbit
Clonality Polyclonal (rabbit origin)
Isotype Rabbit IgG
Purity Antigen affinity
Buffer Lyophilized from 1X PBS with 2.5% BSA and 0.025% sodium azide
Gene ID 2950
Localization Cytoplasmic, nuclear
Applications Western Blot : 0.5-1ug/ml
Immunohistochemistry (FFPE) : 2-5ug/ml
Immunofluorescence (FFPE) : 5ug/ml
Flow Cytometry : 1-3ug/million cells
Limitations This GST pi antibody is available for research use only.
Review this product on BioCompare and get a $20 Amazon gift card

Related Products

Description

Glutathione S-transferases pi, also known as GST3, is an enzyme that in humans is encoded by the GSTP1 gene. This gene is mapped to 11q13.2. GSTP1 has 7 exons and 6 introns contained within approximately 2.8 kilobases. It belongs to Glutathione S-transferases (GSTs) which are a family of enzymes that play an important role in detoxification by catalyzing the conjugation of many hydrophobic and electrophilic compounds with reduced glutathione. It is present in all tissues and cells, with the exception of red cells, in which only erythrocyte GST(GSTe) is observed. GSTP1 is a polymorphic gene encoding active, functionally different variant proteins that are thought to function in xenobiotic metabolism and play a role in susceptibility to cancer, and other diseases.

Application Notes

The stated application concentrations are suggested starting amounts. Titration of the GSTP1 antibody may be required due to differences in protocols and secondary/substrate sensitivity.

Immunogen

Human partial recombinant protein (AA 2-210) was used as the immunogen for this GSTP1 antibody.

Storage

After reconstitution, the GSTP1 antibody can be stored for up to one month at 4oC. For long-term, aliquot and store at -20oC. Avoid repeated freezing and thawing.

Cross
Bulk Quote Request Form
Name*:
Organization*:
Email*:
Phone Number*:
Catalog No.*:
Comments and Specifics(amount, formulation, etc.)*:
Validation code: Captchapackage Image


Can't read the image? click here to refresh.
    *required field

Your bulk quote request has been submitted successfully!

Please contact us if you have any questions.