• Tel: 858.663.9055
  • SeparatorEmail: info@nsjbio.com
  • Tel: 858.663.9055
  • Email: info@nsjbio.com
Home >> Antibodies >> GSTP1 Antibody Knockdown Validated / Glutathione S-Transferase Pi 1 Antibody

GSTP1 Antibody Knockdown Validated / Glutathione S-Transferase Pi 1 Antibody [clone GSTP1/12956R] (V5908)

  Catalog No Formulation Size Price (USD)  
Image V5908-100UG 0.2 mg/ml in 1X PBS with 0.05% BSA, 0.05% sodium azide 100 ug 559
Image
V5908-20UG 0.2 mg/ml in 1X PBS with 0.05% BSA, 0.05% sodium azide 20 ug 259
Image
V5908SAF-100UG 1 mg/ml in 1X PBS; BSA free, sodium azide free 100 ug 559
Microvalidated Recrabbitmono
Bulk quote request
GSTP1 Antibody HeLa Knockdown Western Blot. Knockdown validation of GSTP1 expression in human HeLa cells using GSTP1 antibody clone GSTP1/12956R. Lane 1: wild-type cells, Lane 2: GSTP1 shRNA knockdown cells. A marked reduction in band intensity at approximately 23-25 kDa is observed in knockdown samples compared to wild-type controls, confirming specific detection of endogenous GSTP1. Hsp90 alpha is used as a loading control.
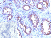
GSTP1 Antibody Breast Carcinoma Cytoplasmic IHC. Immunohistochemistry analysis of GSTP1 expression in FFPE human breast carcinoma using GSTP1 antibody clone GSTP1/12956R. Tumor epithelial cells show strong HRP-DAB brown cytoplasmic staining, while surrounding stromal cells display minimal signal. An inset negative control using PBS in place of primary antibody shows no specific staining, confirming low background and assay specificity. Heat induced epitope retrieval was performed using appropriate buffer conditions prior to staining.
GSTP1 Antibody Brain and Heart and Lung Multi-Tissue Western Blot. Western blot analysis of GSTP1 expression across multiple species and tissues using GSTP1 antibody clone GSTP1/12956R. A consistent band at approximately 23-25 kDa is detected, supporting recognition of GSTP1 across tested samples.
GSTP1 Antibody SDS-PAGE Integrity NR vs R. SDS-PAGE analysis of antibody integrity under non-reducing (NR) and reducing (R) conditions using GSTP1 antibody clone GSTP1/12956R. Under reducing conditions, bands corresponding to antibody heavy and light chains are observed, consistent with expected antibody structure.
Species Reactivity Human
Format Purified
Host Rabbit
Clonality Recombinant Rabbit Monoclonal
Isotype Rabbit IgG, kappa
Clone Name GSTP1/12956R
Purity Protein A affinity
UniProt P09211
Localization Cytoplasm, Mitochondrion, Nucleus
Applications Immunohistochemistry (FFPE) : 1-2ug/ml
Western Blot : 2-4ug/ml
Limitations This GSTP1 Antibody Knockdown Validated / Glutathione S-Transferase Pi 1 Antibody is available for research use only.
Review this product on BioCompare and get a $20 Amazon gift card

Related Products

Description

Glutathione S-Transferase Pi 1 (GSTP1) is a cytoplasmic detoxification enzyme that belongs to the pi class of glutathione S-transferases, a family of phase II metabolic enzymes that catalyze the conjugation of reduced glutathione to electrophilic substrates. GSTP1 (GSTP1) plays a central role in cellular defense against oxidative stress, xenobiotics, and chemotherapeutic agents by facilitating detoxification and maintaining intracellular redox balance. The GSTP1 Antibody Knockdown Validated / Glutathione S-Transferase Pi 1 Antibody is designed to detect this enzyme with high specificity, supported by functional gene silencing validation that directly links signal to target expression. It is part of a collection of knockdown validated antibodies that have been functionally assessed using gene silencing approaches to support target-specific detection.

GSTP1 antibody, also referred to as Glutathione S-transferase pi 1 antibody and GST pi antibody, recognizes a predominantly cytoplasmic protein that is widely expressed in epithelial tissues and frequently elevated in malignancies. Immunohistochemistry analysis of formalin-fixed, paraffin-embedded human breast carcinoma demonstrates strong HRP-DAB brown cytoplasmic staining in tumor epithelial cells, consistent with the known intracellular localization of GSTP1. The staining pattern highlights clusters of malignant epithelial cells with enhanced metabolic activity, while surrounding stromal components show minimal signal. A negative control inset using PBS in place of primary antibody shows no specific staining, confirming low background and supporting assay specificity.

Western blot analysis reveals a distinct band at approximately 23-25 kDa in human cell lysates, consistent with the expected molecular weight of GSTP1. The signal is sharp and reproducible, supporting reliable detection of endogenous protein across tested samples. Importantly, knockdown validation using GSTP1-targeted shRNA in HeLa cells results in a clear reduction in band intensity compared to wild-type controls, confirming that the detected signal corresponds specifically to GSTP1. This knockdown-based validation provides direct functional evidence of specificity and distinguishes this clone from antibodies validated solely by molecular weight or expression pattern.

Functionally, GSTP1 contributes to detoxification pathways by conjugating glutathione to reactive electrophiles, thereby neutralizing potentially harmful compounds and facilitating their elimination. In addition to its enzymatic role, GSTP1 has been shown to regulate signaling pathways involved in cellular stress responses, including interactions with kinases that influence apoptosis and survival. These dual roles position GSTP1 as both a metabolic enzyme and a modulator of stress-related signaling networks.

In cancer biology, GSTP1 is frequently overexpressed and has been associated with tumor progression, resistance to chemotherapy, and adaptation to oxidative stress. Elevated GSTP1 levels in tumor epithelial cells reflect enhanced detoxification capacity and survival advantage under cytotoxic conditions. Its cytoplasmic accumulation in carcinoma tissues provides a clear readout of metabolic reprogramming and therapeutic resistance mechanisms. Detection of GSTP1 therefore supports studies of drug resistance, tumor metabolism, and oxidative stress biology in cancer models.

The combination of strong cytoplasmic immunohistochemical staining in tumor tissue, clear molecular weight detection by western blot, and functional knockdown validation supports the use of clone GSTP1/12956R for studies of detoxification pathways, redox regulation, and cancer biology. These complementary validation approaches provide confidence in target specificity and make this antibody well-suited for applications requiring robust and reproducible detection.

This antibody is part of a broader antibody panel offered by NSJ Bioreagents.

Application Notes

Optimal dilution of the GSTP1 Antibody Knockdown Validated / Glutathione S-Transferase Pi 1 Antibody should be determined by the researcher.

Immunogen

A recombinant fragment (around amino acids 19-206) of human full-length GSTP1 protein (exact sequence is proprietary) was used as the immunogen for the GSTP1/Glutathione S-transferase pi 1 antibody.

Storage

GSTP1/Glutathione S-transferase pi 1 antibody with sodium azide - store at 2 to 8oC; antibody without sodium azide - store at -20 to -80oC.

Alternate Names

GSTP1 antibody, GSTP1 knockdown validated antibody, Glutathione S-transferase pi 1 antibody, Glutathione S-transferase pi 1 knockdown validated antibody, GST pi antibody, GSTP antibody

Cross
Bulk Quote Request Form
Name*:
Organization*:
Email*:
Phone Number*:
Catalog No.*:
Comments and Specifics(amount, formulation, etc.)*:
Validation code: Captchapackage Image


Can't read the image? click here to refresh.
    *required field

Your bulk quote request has been submitted successfully!

Please contact us if you have any questions.