• Tel: 858.663.9055
  • SeparatorEmail: info@nsjbio.com
  • Tel: 858.663.9055
  • Email: info@nsjbio.com
Home >> Antibodies >> GSTO1 Antibody / Glutathione S-transferase omega 1

GSTO1 Antibody / Glutathione S-transferase omega 1 (FY12525)

  Catalog No Formulation Size Price (USD)  
Image FY12525 Adding 0.2 ml of distilled water will yield a concentration of 500 ug/ml 100 ug 449
Bulk quote request
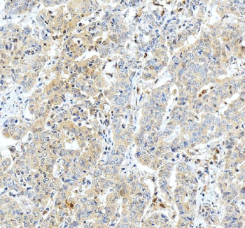
Immunohistochemical staining of GSTO1 using anti-GSTO1 antibody. GSTO1 was detected in a paraffin-embedded section of human liver cancer tissue. Heat mediated antigen retrieval was performed in EDTA buffer (pH 8.0, epitope retrieval solution). The tissue section was blocked with 10% goat serum. The tissue section was then incubated with 2 ug/ml rabbit anti-GSTO1 antibody overnight at 4oC. Peroxidase Conjugated Goat Anti-rabbit IgG was used as secondary antibody and incubated for 30 minutes at 37oC. The tissue section was developed using an HRP secondary and DAB substrate.
Immunohistochemical staining of GSTO1 using anti-GSTO1 antibody. GSTO1 was detected in a paraffin-embedded section of rat brain tissue. Heat mediated antigen retrieval was performed in EDTA buffer (pH 8.0, epitope retrieval solution). The tissue section was blocked with 10% goat serum. The tissue section was then incubated with 2 ug/ml rabbit anti-GSTO1 antibody overnight at 4oC. Peroxidase Conjugated Goat Anti-rabbit IgG was used as secondary antibody and incubated for 30 minutes at 37oC. The tissue section was developed using an HRP secondary and DAB substrate.
Western blot analysis of GSTO1 using anti-GSTO1 antibody. Electrophoresis was performed on a 12% SDS-PAGE gel at 80V (Stacking gel) / 120V (Resolving gel) for 2 hours. Lane 1: rat brain tissue lysates, Lane 2: rat liver tissue lysates, Lane 3: mouse brain tissue lysates, Lane 4: mouse liver tissue lysates. After electrophoresis, proteins were transferred to a nitrocellulose membrane at 150 mA for 50-90 minutes. Blocked the membrane with 5% non-fat milk/TBS for 1.5 hour at RT. The membrane was incubated with rabbit anti-GSTO1 antibody at 0.5 ug/ml overnight at 4oC, then washed with TBS-0.1%Tween 3 times with 5 minutes each and probed with a goat anti-rabbit IgG-HRP secondary antibody at a dilution of 1:5000 for 1.5 hour at RT. The signal was developed using an ECL Plus Western Blotting Substrate. The expected molecular weight of GSTO1 is ~28 kDa.
Flow Cytometry analysis of C2C12 cells using anti-GSTO1 antibody. Overlay histogram showing C2C12 cells stained with (Blue line). To facilitate intracellular staining, cells were fixed with 4% paraformaldehyde and permeabilized with permeabilization buffer. The cells were blocked with 10% normal goat serum. And then incubated with rabbit anti-GSTO1 antibody (1 ug/million cells) for 30 min at 20oC. DyLight 488 conjugated goat anti-rabbit IgG (5-10 ug/million cells) was used as secondary antibody for 30 minutes at 20oC. Isotype control antibody (Green line) was rabbit IgG (1 ug/million cells) used under the same conditions. Unlabelled sample without incubation with primary antibody and secondary antibody (Red line) was used as a blank control.
Availability 1-2 days
Species Reactivity Mouse, Rat
Format Lyophilized
Host Rabbit
Clonality Polyclonal (rabbit origin)
Isotype Rabbit IgG
Purity Immunogen affinity purified
Buffer Each vial contains 4 mg Trehalose, 0.9 mg NaCl, 0.2 mg Na2HPO4.
UniProt O09131
Localization Cytoplasm
Applications Western Blot : 0.25-0.5ug/ml
Immunohistochemistry : 2-5ug/ml
Flow Cytometry : 1-3ug/million cells
ELISA : 0.1-0.5ug/ml
Limitations This GSTO1 antibody is available for research use only.
Review this product on BioCompare and get a $20 Amazon gift card

Related Products

  • Applications : WB, ELISA (peptide)
    Reactivity : Human
  • Applications : WB, FACS, IHC-P
    Reactivity : Human

Description

GSTO1 antibody detects Glutathione S-transferase omega-1, an enzyme belonging to the omega class of the glutathione transferase family. GSTO1 catalyzes reduction reactions and participates in antioxidant defense, detoxification, and redox homeostasis. Unlike classical GSTs, GSTO1 possesses dehydroascorbate reductase and deglutathionylase activities, enabling control of oxidative stress and protein thiol status. The GSTO1 antibody is widely used to study redox signaling, neurodegeneration, and inflammation.

GSTO1 is encoded by the GSTO1 gene located on human chromosome 10q25.1. The protein is approximately 28 kilodaltons and features a cysteine residue in the active site instead of the usual serine or tyrosine found in other GSTs. This cysteine enables formation of mixed disulfides with substrates, granting GSTO1 unique catalytic and regulatory properties. The enzyme is mainly cytosolic but can associate with mitochondria and the endoplasmic reticulum during oxidative stress.

The GSTO1 antibody identifies a 28 kilodalton band in western blot analysis and shows cytoplasmic distribution with enrichment in stress-responsive cells. GSTO1 reduces dehydroascorbate to ascorbic acid, maintaining vitamin C pools, and catalyzes deglutathionylation of oxidized proteins to restore function. It also contributes to mercury detoxification and participates in inflammatory signaling through modulation of interleukin-1beta processing.

Variants in GSTO1 have been associated with altered susceptibility to Alzheimer's disease, Parkinson's disease, and certain cancers. By regulating redox balance and apoptosis, GSTO1 influences cellular survival and aging processes. Elevated expression is often observed in tumors and immune cells undergoing oxidative stress, whereas inhibition sensitizes cells to reactive oxygen species-induced death.

GSTO1 is an important biomarker for antioxidant capacity and inflammatory regulation. Its enzymatic versatility links metabolism, detoxification, and immunity. NSJ Bioreagents provides a validated GSTO1 antibody optimized for its applications, supporting research into redox signaling, metabolic adaptation, and neuroinflammation.

Application Notes

Optimal dilution of the GSTO1 antibody should be determined by the researcher.

Immunogen

E.coli-derived mouse GSTO1 recombinant protein (Position: E91-L240) was used as the immunogen for the GSTO1 antibody.

Storage

After reconstitution, the GSTO1 antibody can be stored for up to one month at 4oC. For long-term, aliquot and store at -20oC. Avoid repeated freezing and thawing.

Cross
Bulk Quote Request Form
Name*:
Organization*:
Email*:
Phone Number*:
Catalog No.*:
Comments and Specifics(amount, formulation, etc.)*:
Validation code: Captchapackage Image


Can't read the image? click here to refresh.
    *required field

Your bulk quote request has been submitted successfully!

Please contact us if you have any questions.