• Tel: 858.663.9055
  • SeparatorEmail: info@nsjbio.com
  • Tel: 858.663.9055
  • Email: info@nsjbio.com
Home >> Antibodies >> GSTM3 Antibody / Glutathione S-Transferase mu 3

GSTM3 Antibody / Glutathione S-Transferase mu 3 (RQ4127)

  Catalog No Formulation Size Price (USD)  
Image RQ4127 0.5mg/ml if reconstituted with 0.2ml sterile DI water 100 ug 449
Bulk quote request
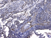
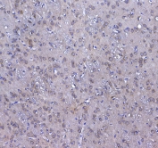
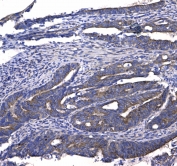
Immunohistochemical staining of FFPE human bladder cancer tissue using GSTM3 antibody. Staining is observed predominantly in tumor epithelial cells, with cytoplasmic localization. Visualization was performed using an HRP-conjugated secondary antibody and DAB substrate, with hematoxylin counterstaining. Heat-induced epitope retrieval was performed using EDTA buffer (pH 8.0).
Western blot testing of 1) human HeLa, 2) human MCF7, 3) human SiHa, 4) human ThP-1 and 5) mouse testis tissue lysate with GSTM3 antibody at 0.5ug/ml. Predicted molecular weight ~26 kDa.
Availability 1-3 business days
Species Reactivity Human, Mouse
Format Antigen affinity purified
Host Rabbit
Clonality Polyclonal (rabbit origin)
Isotype Rabbit IgG
Purity Antigen affinity purified
Buffer Lyophilized from 1X PBS with 2% Trehalose
UniProt P21266
Localization Cytoplasmic
Applications Western Blot : 0.5-1ug/ml
Immunohistochemistry (FFPE) : 2-5ug/ml
Direct ELISA : 0.1-0.5ug/ml
Limitations This GSTM3 antibody is available for research use only.
Review this product on BioCompare and get a $20 Amazon gift card

Related Products

Description

GSTM3 antibody targets Glutathione S-Transferase mu 3, encoded by the GSTM3 gene. Glutathione S-Transferase mu 3 is a member of the mu class of glutathione S-transferases, a family of phase II detoxification enzymes that catalyze the conjugation of reduced glutathione to a wide range of electrophilic compounds. This enzymatic activity supports cellular defense against oxidative stress, xenobiotics, and endogenous toxic metabolites. GSTM3 is primarily localized in the cytoplasm, where it participates directly in cellular detoxification processes.

Functionally, Glutathione S-Transferase mu 3 contributes to the neutralization and elimination of reactive oxygen species-derived products and environmental toxins. By conjugating glutathione to reactive substrates, GSTM3 increases their solubility and facilitates subsequent excretion. In addition to its catalytic role, GSTM3 has been implicated in modulating intracellular signaling pathways related to stress responses and apoptosis, linking detoxification capacity to broader cellular survival mechanisms. A GSTM3 antibody supports studies focused on oxidative stress biology and cellular detoxification pathways.

GSTM3 expression is observed in multiple tissues, with notable expression in liver, lung, kidney, and gastrointestinal tract, organs that are frequently exposed to metabolic byproducts and environmental chemicals. Expression can vary between individuals due to genetic polymorphisms within the GSTM locus, which influence enzyme activity and detoxification efficiency. These variations have been studied extensively in the context of susceptibility to oxidative stress and chemical exposure. The tissue distribution of GSTM3 highlights its importance in maintaining redox balance and cellular protection across organ systems.

From a disease-relevance perspective, Glutathione S-Transferase mu 3 has been investigated in cancer biology, toxicology, and pharmacogenomics. Altered GSTM3 expression or activity has been associated with cancer risk, tumor progression, and response to chemotherapy, reflecting its role in metabolizing carcinogens and therapeutic agents. GSTM3 has also been studied in respiratory and liver diseases, where impaired detoxification and oxidative damage contribute to disease pathogenesis. These associations have made GSTM3 a molecule of interest in studies examining environmental exposure, drug metabolism, and disease susceptibility.

At the molecular level, GSTM3 encodes a protein with an apparent molecular weight of approximately 26 to 28 kDa. The protein contains conserved domains characteristic of the mu class GSTs, including a glutathione-binding site and a substrate-binding region. Enzymatic activity and stability of GSTM3 can be influenced by cellular redox state and post-translational modifications. A GSTM3 antibody supports research applications focused on detoxification enzyme expression, oxidative stress responses, and disease-associated changes in cellular defense mechanisms, with NSJ Bioreagents providing reagents intended for research use.

Application Notes

Optimal dilution of the GSTM3 antibody should be determined by the researcher.

Immunogen

A recombinant human partial protein corresponding to amino acids E93-Q206 was used as the immunogen for the GSTM3 antibody.

Storage

After reconstitution, the GSTM3 antibody can be stored for up to one month at 4oC. For long-term, aliquot and store at -20oC. Avoid repeated freezing and thawing.

Cross
Bulk Quote Request Form
Name*:
Organization*:
Email*:
Phone Number*:
Catalog No.*:
Comments and Specifics(amount, formulation, etc.)*:
Validation code: Captchapackage Image


Can't read the image? click here to refresh.
    *required field

Your bulk quote request has been submitted successfully!

Please contact us if you have any questions.