• Tel: 858.663.9055
  • SeparatorEmail: info@nsjbio.com
  • Tel: 858.663.9055
  • Email: info@nsjbio.com
Home >> Antibodies >> GSTM2 Antibody / Glutathione S-transferase Mu 2

GSTM2 Antibody / Glutathione S-transferase Mu 2 (FY12861)

  Catalog No Formulation Size Price (USD)  
Image FY12861 Adding 0.2 ml of distilled water will yield a concentration of 500 ug/ml 100 ug 449
Bulk quote request
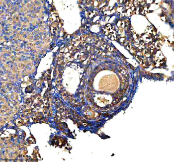
Immunohistochemical staining of GSTM2 using anti-GSTM2 antibody. GSTM2 was detected in a paraffin-embedded section of mouse ovary tissue. Heat mediated antigen retrieval was performed in EDTA buffer (pH 8.0, epitope retrieval solution). The tissue section was blocked with 10% goat serum. The tissue section was then incubated with 2 ug/ml rabbit anti-GSTM2 antibody overnight at 4oC. Peroxidase Conjugated Goat Anti-rabbit IgG was used as secondary antibody and incubated for 30 minutes at 37oC. The tissue section was developed using an HRP secondary and DAB substrate.
Western blot analysis of GSTM2 using anti-GSTM2 antibody. Electrophoresis was performed on a 12% SDS-PAGE gel at 80V (Stacking gel) / 120V (Resolving gel) for 2 hours. Lane 1: rat testis tissue lysates, Lane 2: rat liver tissue lysates, Lane 3: mouse testis tissue lysates. After electrophoresis, proteins were transferred to a nitrocellulose membrane at 150 mA for 50-90 minutes. Blocked the membrane with 5% non-fat milk/TBS for 1.5 hour at RT. The membrane was incubated with rabbit anti-GSTM2 antibody at 0.5 ug/ml overnight at 4oC, then washed with TBS-0.1%Tween 3 times with 5 minutes each and probed with a goat anti-rabbit IgG-HRP secondary antibody at a dilution of 1:5000 for 1.5 hour at RT. The signal was developed using an ECL Plus Western Blotting Substrate. A specific band was detected for GSTM2 at approximately 26 kDa. The expected molecular weight of GSTM2 is ~26 kDa.
Availability 1-2 days
Species Reactivity Mouse, Rat
Format Lyophilized
Host Rabbit
Clonality Polyclonal (rabbit origin)
Isotype Rabbit IgG
Purity Immunogen affinity purified
Buffer Each vial contains 4 mg Trehalose, 0.9 mg NaCl, 0.2 mg Na2HPO4.
UniProt P15626
Localization Cytoplasm
Applications Western Blot : 0.25-0.5ug/ml
Immunohistochemistry : 2-5ug/ml
Limitations This GSTM2 antibody is available for research use only.
Review this product on BioCompare and get a $20 Amazon gift card

Related Products

Description

GSTM2 antibody detects Glutathione S-transferase Mu 2, a detoxification enzyme that catalyzes the conjugation of glutathione to electrophilic compounds, protecting cells from oxidative damage and xenobiotic stress. Encoded by the GSTM2 gene on chromosome 1p13.3, this enzyme belongs to the mu class of cytosolic glutathione S-transferases (GSTs) and plays a critical role in the metabolism of carcinogens, environmental toxins, and therapeutic drugs. GSTM2 is particularly abundant in liver, kidney, and lung tissues, where it contributes to phase II detoxification.

Structurally, GSTM2 forms homodimers, each monomer containing an N-terminal glutathione-binding site (G-site) and a C-terminal hydrophobic substrate-binding site (H-site). This configuration enables GSTM2 to catalyze the conjugation of reduced glutathione (GSH) to electrophilic substrates, rendering them more water-soluble for excretion. GSTM2 also exhibits peroxidase activity, neutralizing reactive oxygen species and maintaining cellular redox balance.

The GSTM2 antibody is widely used in toxicology, pharmacology, and metabolic research to study oxidative stress responses, detoxification pathways, and enzyme induction mechanisms. Western blot analysis identifies a 26 kilodalton band corresponding to GSTM2, while immunohistochemistry reveals strong cytoplasmic staining in hepatocytes and renal tubular cells. This antibody supports investigations into tissue-specific detoxification and metabolic adaptation to stress and xenobiotics.

Genetic polymorphisms in GSTM2 and related GST genes influence susceptibility to environmental toxins, carcinogens, and drug-induced injury. Reduced expression or functional loss of GSTM2 increases oxidative damage and contributes to disorders such as asthma, cancer, and neurodegenerative disease. Conversely, elevated expression is associated with chemoresistance and altered drug metabolism in tumor cells. The GSTM2 antibody provides a reliable tool for quantifying enzyme expression and understanding its contribution to cellular defense systems. NSJ Bioreagents validates this antibody for its applications, ensuring dependable performance for detoxification and redox biology research.

Application Notes

Optimal dilution of the GSTM2 antibody should be determined by the researcher.

Immunogen

A synthetic peptide corresponding to a sequence in the middle region of mouse GSTM2 was used as the immunogen for the GSTM2 antibody.

Storage

After reconstitution, the GSTM2 antibody can be stored for up to one month at 4oC. For long-term, aliquot and store at -20oC. Avoid repeated freezing and thawing.

Cross
Bulk Quote Request Form
Name*:
Organization*:
Email*:
Phone Number*:
Catalog No.*:
Comments and Specifics(amount, formulation, etc.)*:
Validation code: Captchapackage Image


Can't read the image? click here to refresh.
    *required field

Your bulk quote request has been submitted successfully!

Please contact us if you have any questions.