• Tel: 858.663.9055
  • SeparatorEmail: info@nsjbio.com
  • Tel: 858.663.9055
  • Email: info@nsjbio.com
Home >> Antibodies >> GSTK1 Antibody / Glutathione S-transferase kappa 1

GSTK1 Antibody / Glutathione S-transferase kappa 1 (FY13143)

  Catalog No Formulation Size Price (USD)  
Image FY13143 Adding 0.2 ml of distilled water will yield a concentration of 500 ug/ml 100 ug 449
Bulk quote request
Immunofluorescent staining of GSTK1 using anti-GSTK1 antibody (red). GSTK1 was detected in a paraffin-embedded section of human breast cancer tissue. Heat mediated antigen retrieval was performed in EDTA buffer (pH 8.0, epitope retrieval solution). The tissue section was blocked with 10% goat serum. The tissue section was then incubated with 5 ug/ml rabbit anti-GSTK1 antibody overnight at 4oC. Cy3 Conjugated Goat Anti-Rabbit IgG was used as secondary antibody at 1:500 dilution and incubated for 30 minutes at 37oC. The section was counterstained with DAPI nuclear stain (blue). Visualize using a fluorescence microscope and filter sets appropriate for the label used.
Western blot analysis of GSTK1 using anti-GSTK1 antibody. Electrophoresis was performed on a 12% SDS-PAGE gel at 80V (Stacking gel) / 120V (Resolving gel) for 2 hours. Lane 1: human HepG2 whole cell lysates, Lane 2: human Raji whole cell lysates, Lane 3: human 293T whole cell lysates, Lane 4: human Hela whole cell lysates. After electrophoresis, proteins were transferred to a nitrocellulose membrane at 150 mA for 50-90 minutes. Blocked the membrane with 5% non-fat milk/TBS for 1.5 hour at RT. The membrane was incubated with rabbit anti-GSTK1 antibody at 0.5 ug/ml overnight at 4oC, then washed with TBS-0.1%Tween 3 times with 5 minutes each and probed with a goat anti-rabbit IgG-HRP secondary antibody at a dilution of 1:5000 for 1.5 hour at RT. The signal was developed using an ECL Plus Western Blotting Substrate. The expected molecular weight of GSTK1 is ~25 kDa.
Immunohistochemical staining of GSTK1 using anti-GSTK1 antibody. GSTK1 was detected in a paraffin-embedded section of mouse heart tissue. Heat mediated antigen retrieval was performed in EDTA buffer (pH 8.0, epitope retrieval solution). The tissue section was blocked with 10% goat serum. The tissue section was then incubated with 2 ug/ml rabbit anti-GSTK1 antibody overnight at 4oC. Peroxidase Conjugated Goat Anti-rabbit IgG was used as secondary antibody and incubated for 30 minutes at 37oC. The tissue section was developed using an HRP secondary and DAB substrate.
Immunohistochemical staining of GSTK1 using anti-GSTK1 antibody. GSTK1 was detected in a paraffin-embedded section of rat heart tissue. Heat mediated antigen retrieval was performed in EDTA buffer (pH 8.0, epitope retrieval solution). The tissue section was blocked with 10% goat serum. The tissue section was then incubated with 2 ug/ml rabbit anti-GSTK1 antibody overnight at 4oC. Peroxidase Conjugated Goat Anti-rabbit IgG was used as secondary antibody and incubated for 30 minutes at 37oC. The tissue section was developed using an HRP secondary and DAB substrate.
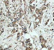
Immunohistochemical staining of GSTK1 using anti-GSTK1 antibody. GSTK1 was detected in a paraffin-embedded section of human breast cancer tissue. Heat mediated antigen retrieval was performed in EDTA buffer (pH 8.0, epitope retrieval solution). The tissue section was blocked with 10% goat serum. The tissue section was then incubated with 2 ug/ml rabbit anti-GSTK1 antibody overnight at 4oC. Peroxidase Conjugated Goat Anti-rabbit IgG was used as secondary antibody and incubated for 30 minutes at 37oC. The tissue section was developed using an HRP secondary and DAB substrate.
Immunoprecipitating GSTK1 in 293T whole cell lysate. Western blot analysis of GSTK1 using anti-GSTK1 antibody. Lane 1: 293T whole cell lysates (30ug), Lane 2: Rabbit control IgG instead of anti-GSTK1 antibody in 293T whole cell lysate, Lane 3: anti-GSTK1 antibody (2ug) + 293T whole cell lysate (500ug). After electrophoresis, proteins were transferred to a membrane. Then the membrane was incubated with rabbit anti-GSTK1 antibody at a dilution of 0.5 ug/ml and probed with a goat anti-rabbit IgG-HRP secondary antibody. The signal is developed using ECL Plus Western Blotting Substrate. A specific band was detected for GSTK1 at approximately 26 kDa. The expected molecular weight of GSTK1 is at 25 kDa.
Flow Cytometry analysis of HepG2 cells using anti-GSTK1 antibody. Overlay histogram showing HepG2 cells stained with (Blue line). To facilitate intracellular staining, cells were fixed with 4% paraformaldehyde and permeabilized with permeabilization buffer. The cells were blocked with 10% normal goat serum. And then incubated with rabbit anti-GSTK1 antibody (1 ug/million cells) for 30 min at 20oC. DyLight 488 conjugated goat anti-rabbit IgG (5-10 ug/million cells) was used as secondary antibody for 30 minutes at 20oC. Isotype control antibody (Green line) was rabbit IgG (1 ug/million cells) used under the same conditions. Unlabelled sample without incubation with primary antibody and secondary antibody (Red line) was used as a blank control.
Availability 1-2 days
Species Reactivity Human, Mouse, Rat
Format Lyophilized
Host Rabbit
Clonality Polyclonal (rabbit origin)
Isotype Rabbit IgG
Purity Immunogen affinity purified
Buffer Each vial contains 4 mg Trehalose, 0.9 mg NaCl, 0.2 mg Na2HPO4.
UniProt Q9Y2Q3
Localization Cytoplasm (Peroxisome)
Applications Western Blot : 0.25-0.5ug/ml
Immunohistochemistry : 2-5ug/ml
Immunofluorescence : 5ug/ml
Immunoprecipitation : 2-4ug/500ug of lysate
Flow Cytometry : 1-3ug/million cells
ELISA : 0.1-0.5ug/ml
Limitations This GSTK1 antibody is available for research use only.
Review this product on BioCompare and get a $20 Amazon gift card

Description

GSTK1 antibody detects Glutathione S-transferase kappa 1, a mitochondrial and peroxisomal enzyme that catalyzes the conjugation of glutathione to reactive electrophilic compounds for detoxification and redox regulation. The UniProt recommended name is Glutathione S-transferase kappa 1 (GSTK1). This enzyme belongs to the kappa class of glutathione S-transferases, distinct from the cytosolic and microsomal families by its localization and substrate specificity.

Functionally, GSTK1 antibody identifies a 226-amino-acid enzyme that forms homodimers with catalytic sites capable of binding glutathione and a broad range of electrophilic substrates. GSTK1 participates in lipid peroxidation repair, oxidative stress defense, and metabolic detoxification within mitochondria and peroxisomes. It also contributes to cellular protection against reactive oxygen species and lipid-derived aldehydes.

The GSTK1 gene is located on chromosome 7q34 and is expressed in liver, kidney, and adipose tissue, with additional expression in metabolically active organs. GSTK1 is involved in maintaining mitochondrial redox balance and may influence energy metabolism and apoptotic signaling under oxidative stress conditions.

Pathologically, altered GSTK1 expression has been associated with obesity, diabetes, and cancer. Reduced GSTK1 levels compromise antioxidant defense, while overexpression may enhance cellular detoxification capacity. Research using GSTK1 antibody supports studies in oxidative stress, metabolism, and mitochondrial function.

GSTK1 antibody is used in western blotting, immunohistochemistry, and enzyme assays to detect glutathione S-transferases in subcellular compartments. NSJ Bioreagents provides GSTK1 antibody reagents optimized for research in redox biology, metabolism, and cellular detoxification.

Structurally, Glutathione S-transferase kappa 1 contains a thioredoxin-like fold and a conserved GSH-binding domain typical of GSTs, but features unique peroxisomal targeting signals. This antibody enables detailed analysis of GSTK1's enzymatic function and role in cellular defense mechanisms.

Application Notes

Optimal dilution of the GSTK1 antibody should be determined by the researcher.

Immunogen

E.coli-derived human GSTK1 recombinant protein (Position: N53-K213) was used as the immunogen for the GSTK1 antibody.

Storage

After reconstitution, the GSTK1 antibody can be stored for up to one month at 4oC. For long-term, aliquot and store at -20oC. Avoid repeated freezing and thawing.

Cross
Bulk Quote Request Form
Name*:
Organization*:
Email*:
Phone Number*:
Catalog No.*:
Comments and Specifics(amount, formulation, etc.)*:
Validation code: Captchapackage Image


Can't read the image? click here to refresh.
    *required field

Your bulk quote request has been submitted successfully!

Please contact us if you have any questions.