• Tel: 858.663.9055
  • SeparatorEmail: info@nsjbio.com
  • Tel: 858.663.9055
  • Email: info@nsjbio.com
Home >> Antibodies >> GST pi Antibody / GSTP1

GST pi Antibody / GSTP1 (R30217)

  Catalog No Formulation Size Price (USD)  
Image R30217 0.5mg/ml if reconstituted with 0.2ml sterile DI water 100 ug 449
Bulk quote request
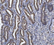
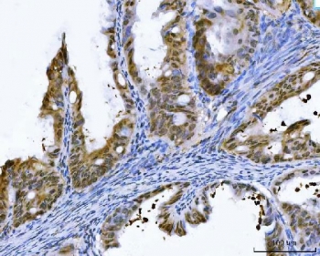
IHC staining of FFPE human ovarian cancer tissue with GST pi antibody. HIER: boil tissue sections in pH8 EDTA for 20 min and allow to cool before testing.
IHC staining of FFPE moderately differentiated human adenocarcinoma of the cervical canal tissue with GST pi antibody. HIER: boil tissue sections in pH8 EDTA for 20 min and allow to cool before testing.
IHC staining of FFPE moderately differentiated highly differentiated human adenocarcinoma of the colon tissue with GST pi antibody. HIER: boil tissue sections in pH8 EDTA for 20 min and allow to cool before testing.
Western blot testing of 1) human HeLa, 2) human 293T, 3) human Jurkat, 4) rat lung 5) mouse lung and 6) mouse liver tissue lysate with GST pi antibody. Predicted molecular weight ~23 kDa.
Availability 1-3 business days
Species Reactivity Human, Mouse, Rat
Format Antigen affinity purified
Host Rabbit
Clonality Polyclonal (rabbit origin)
Isotype Rabbit IgG
Purity Antigen affinity
Buffer Lyophilized from 1X PBS with 2.5% BSA and 0.025% sodium azide/thimerosal
UniProt P09211
Localization Cytoplasmic, nuclear
Applications Western Blot : 0.5-1ug/ml
Immunohistochemistry (FFPE) : 2-5ug/ml
Limitations This GST pi antibody is available for research use only.
Review this product on BioCompare and get a $20 Amazon gift card

Related Products

Description

Glutathione S-transferases pi, also known as GST pi, GSTP1 and GST3, is present in all tissues and cells, with the exception of red cells, in which only erythrocyte GST(GSTe) is observed. The gene has 7 exons and 6 introns contained within approximately 2.8 kilobases. It is mapped to chromosome 11 . Placental glutathione-S-transferase-pi mRNA is abundantly expressed in human skin. GST pi does not contribute in vivo to the formation of glutathione conjugates of acetaminophen but plays a novel and unexpected role in the toxicity of this compound.

Application Notes

The stated application concentrations are suggested starting amounts. Titration of the GST pi antibody may be required due to differences in protocols and secondary/substrate sensitivity.

Immunogen

Amino acids PEYVNLPINGNGKQ were used as the immunogen for this GST pi antibody.

Storage

After reconstitution, the GST pi antibody can be stored for up to one month at 4oC. For long-term, aliquot and store at -20oC. Avoid repeated freezing and thawing.

Cross
Bulk Quote Request Form
Name*:
Organization*:
Email*:
Phone Number*:
Catalog No.*:
Comments and Specifics(amount, formulation, etc.)*:
Validation code: Captchapackage Image


Can't read the image? click here to refresh.
    *required field

Your bulk quote request has been submitted successfully!

Please contact us if you have any questions.