• Tel: 858.663.9055
  • SeparatorEmail: info@nsjbio.com
  • Tel: 858.663.9055
  • Email: info@nsjbio.com
Home >> Antibodies >> GRP94 Antibody / HSP90B1

GRP94 Antibody / HSP90B1 (R34399)

  Catalog No Formulation Size Price (USD)  
Image R34399-100UG 0.5 mg/ml in 1X TBS, pH7.3, with 0.5% BSA (US sourced) and 0.02% sodium azide 100 ug 475
Bulk quote request
Western blot testing of mouse NIH3T3 lysate with GPR94 antibody at 0.03ug/ml. Predicted molecular weight: ~94 kDa.
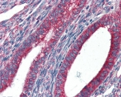
IHC staining of FFPE human uterus with GPR94 antibody at 5ug/ml. HIER: steamed with pH6 citrate buffer, AP-staining.
IHC staining of FFPE human liver with GPR94 antibody at 3.8ug/ml. HIER: steamed with pH6 citrate buffer, AP-staining.
Availability 1-3 business days
Species Reactivity Human, Mouse
Predicted Reactivity Rat, Dog, Pig, Zebrafish, Cow
Format Antigen affinity purified
Host Goat
Clonality Polyclonal (goat origin)
Isotype Goat Ig
Purity Antigen affinity
Gene ID 7184
Localization Cytoplasmic
Applications Western Blot : 0.01-0.03ug/ml
Immunohistochemistry (FFPE) : 3-5ug/ml
ELISA (peptide) LOD : 1:32000
Limitations This GPR94 antibody is available for research use only.
Review this product on BioCompare and get a $20 Amazon gift card

Related Products

Description

Additional name(s) for this target protein: Glucose regulated protein, 94 kDa; TRA1; HSP90B1

Application Notes

Optimal dilution of the GPR94 antibody should be determined by the researcher.

Immunogen

Amino acids KEGVKFDESEKTKE were used as the immunogen for this GPR94 antibody.

Storage

Aliquot and store the GPR94 antibody at -20oC.

Cross
Bulk Quote Request Form
Name*:
Organization*:
Email*:
Phone Number*:
Catalog No.*:
Comments and Specifics(amount, formulation, etc.)*:
Validation code: Captchapackage Image


Can't read the image? click here to refresh.
    *required field

Your bulk quote request has been submitted successfully!

Please contact us if you have any questions.