• Tel: 858.663.9055
  • SeparatorEmail: info@nsjbio.com
  • Tel: 858.663.9055
  • Email: info@nsjbio.com
Home >> Antibodies >> GRP78 Antibody / BiP / HSPA5

GRP78 Antibody / BiP / HSPA5 (R36416)

  Catalog No Formulation Size Price (USD)  
Image R36416-100UG 0.5 mg/ml in 1X TBS, pH7.3, with 0.5% BSA (US sourced) and 0.02% sodium azide 100 ug 475
Bulk quote request
Western blot testing of A) HepG2 and B) MCF7 cell lysate with GRP78 antibody at 0.1ug/ml. Predicted molecular weight: ~73 kDa, but routinely observed at 70-78 kDa.
Western blot testing of 1) mouse liver and 2) mouse testis lysate with GRP78 antibody at 0.3ug/ml and 3) rat brain lysate with GRP78 antibody at 0.5ug/ml. Expected molecular weight: 70-78 kDa.
IF/ICC testing of fixed and permeabilized human HeLa cells with GRP78 antibody (green) at 5ug/ml and DAPI nuclear stain (blue).
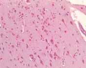
IHC testing of FFPE human cortex tissue with GRP78 antibody at 5ug/ml. Required HIER: steamed antigen retrieval with pH6 citrate buffer; AP-staining.
Availability 1-3 business days
Species Reactivity Human, Mouse, Rat
Format Antigen affinity purified
Host Goat
Clonality Polyclonal (goat origin)
Isotype Goat Ig
Purity Antigen affinity
Gene ID 3309
Applications Western Blot : 1-3ug/ml
IF/ICC : 5ug/ml
IHC (FFPE) : 5ug/ml
ELISA (peptide) LOD : 1:16000
Limitations This GRP78 antibody is available for research use only.
Review this product on BioCompare and get a $20 Amazon gift card

Related Products

Description

Additional name(s) for this target protein: HSPA5; Heat shock 70kDa protein 5; glucose-regulated protein 78

Application Notes

Optimal dilution of the GRP78 antibody should be determined by the researcher.

Immunogen

Amino acids ESHQDADIEDFK were used as the immunogen for this GRP78 antibody.

Storage

Aliquot and store the GRP78 antibody at -20oC.

Cross
Bulk Quote Request Form
Name*:
Organization*:
Email*:
Phone Number*:
Catalog No.*:
Comments and Specifics(amount, formulation, etc.)*:
Validation code: Captchapackage Image


Can't read the image? click here to refresh.
    *required field

Your bulk quote request has been submitted successfully!

Please contact us if you have any questions.