• Tel: 858.663.9055
  • SeparatorEmail: info@nsjbio.com
  • Tel: 858.663.9055
  • Email: info@nsjbio.com
Home >> Antibodies >> GRP78 Antibody / BiP / HSPA5

GRP78 Antibody / BiP / HSPA5 (R31939)

  Catalog No Formulation Size Price (USD)  
Image R31939 0.5mg/ml if reconstituted with 0.2ml sterile DI water 100 ug 449
Bulk quote request
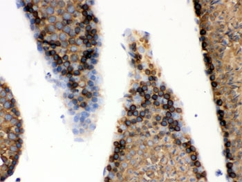
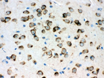
IHC staining of FFPE mouse brain tissue with GRP78 antibody. HIER: boil tissue sections in pH8 EDTA for 20 min and allow to cool before testing.
IHC staining of FFPE rat brain tissue with GRP78 antibody. HIER: boil tissue sections in pH8 EDTA for 20 min and allow to cool before testing.
IHC staining of FFPE rat lung tissue with GRP78 antibody. HIER: boil tissue sections in pH8 EDTA for 20 min and allow to cool before testing.
IHC staining of FFPE rat colon tissue with GRP78 antibody. HIER: boil tissue sections in pH8 EDTA for 20 min and allow to cool before testing.
IHC staining of FFPE human lung adenocarcinoma tissue with GRP78 antibody. HIER: boil tissue sections in pH8 EDTA for 20 min and allow to cool before testing.
Western blot testing of human 1) PC-3, 2) MCF7, 3) HeLa, 4) HepG2, 5) U-87 MG and 6) HaCaT cell lysate with GRP78 antibody. Predicted molecular weight: ~73 kDa, but routinely observed at 70-78 kDa.
Availability 1-3 business days
Species Reactivity Human, Mouse, Rat
Format Antigen affinity purified
Host Rabbit
Clonality Polyclonal (rabbit origin)
Isotype Rabbit IgG
Purity Antigen affinity
Buffer Lyophilized from 1X PBS with 2% Trehalose
UniProt P11021
Localization Cytoplasmic, membrane
Applications Western Blot : 0.5-1ug/ml
Immunohistochemistry (FFPE) : 2-5ug/ml
Limitations This GRP78 antibody is available for research use only.
Review this product on BioCompare and get a $20 Amazon gift card

Related Products

Description

HSPA5 (heat shock 70kDa protein 5), also known as glucose-regulated protein, 78kD (GRP78) or BiP, is a member of the heat-shock protein-70 (HSP70) family and is involved in the folding and assembly of proteins in the endoplasmic reticulum. BiP is also an essential component of the translocation machinery, as well as playing a role in retrograde transport across the ER membrane of aberrant proteins destined for degradation by the proteasome. The HSPA5 gene is mapped on 9q33.3. Shen et al. (2002) concluded that HSPA5 retains ATF6 in the ER by inhibiting its Golgi localization signals and that dissociation of HSPA5 during ER stress allows ATF6 to be transported to the Golgi. The findings of Shen et al. (2002) demonstrated that HSPA5 is a key element in sensing the folding capacity within the ER.

Application Notes

Optimal dilution of the GRP78 antibody should be determined by the researcher.

Immunogen

Amino acids ETMEKAVEEKIEWLESHQDADIEDFKAKKKELE of human GRP78/BiP were used as the immunogen for the GRP78 antibody.

Storage

After reconstitution, the GRP78 antibody can be stored for up to one month at 4oC. For long-term, aliquot and store at -20oC. Avoid repeated freezing and thawing.

Cross
Bulk Quote Request Form
Name*:
Organization*:
Email*:
Phone Number*:
Catalog No.*:
Comments and Specifics(amount, formulation, etc.)*:
Validation code: Captchapackage Image


Can't read the image? click here to refresh.
    *required field

Your bulk quote request has been submitted successfully!

Please contact us if you have any questions.