• Tel: 858.663.9055
  • SeparatorEmail: info@nsjbio.com
  • Tel: 858.663.9055
  • Email: info@nsjbio.com
Home >> Antibodies >> Growth Hormone Antibody (pituitary)

Growth Hormone Antibody (pituitary) [clone SPM106] (V3379)

  Catalog No Formulation Size Price (USD)  
Image V3379-100UG 0.2 mg/ml in 1X PBS with 0.1 mg/ml BSA (US sourced) and 0.05% sodium azide 100 ug 559
Image
V3379-20UG 0.2 mg/ml in 1X PBS with 0.1 mg/ml BSA (US sourced) and 0.05% sodium azide 20 ug 259
Image
V3379SAF-100UG 1 mg/ml in 1X PBS; BSA free, sodium azide free 100 ug 559
Bulk quote request
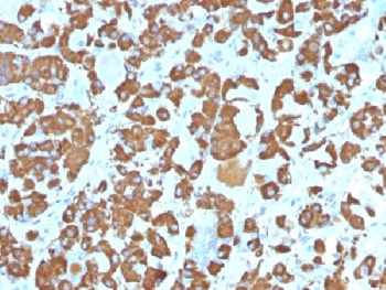
IHC testing of FFPE human pituitary gland with Growth Hormone antibody (clone SPM106). Required HIER: boil tissue sections in pH 9 10mM Tris with 1mM EDTA for 10-20 min.
Species Reactivity Human
Format Purified
Host Mouse
Clonality Monoclonal (mouse origin)
Isotype Mouse IgG2b, kappa
Clone Name SPM106
Purity Protein G affinity chromatography
UniProt P01241
Gene ID 2688
Localization Cytoplasmic
Applications Immunohistochemistry (FFPE) : 1-2ug/ml for 30 min at RT
Limitations This Growth Hormone antibody is available for research use only.
Review this product on BioCompare and get a $20 Amazon gift card

Related Products

Description

Pituitary growth hormone (GH) plays a crucial role in stimulating and controlling the growth, metabolism and differentiation of many mammalian cell types by modulating the synthesis of multiple mRNA species. These effects are mediated by the binding of GH to its membrane-bound receptor, GHR, and involve a phosphorylation cascade that results in the modulation of numerous signaling pathways. GH is synthesized by acidophilic or somatotropic cells of the anterior pituitary gland. Anti-GH is a useful marker in classification of pituitary tumors and the study of pituitary disease (acromegaly).

Application Notes

The concentration stated for each application is a general starting point. Variations in protocols, secondaries and substrates may require the Growth Hormone antibody to be titered up or down for optimal performance.

Immunogen

A human partial recombinant protein corresponding to amino acids 58-187 was used as the immunogen for this Growth Hormone antibody.

Storage

Store the Growth Hormone antibody at 2-8oC (with azide) or aliquot and store at -20oC or colder (without azide).

Cross
Bulk Quote Request Form
Name*:
Organization*:
Email*:
Phone Number*:
Catalog No.*:
Comments and Specifics(amount, formulation, etc.)*:
Validation code: Captchapackage Image


Can't read the image? click here to refresh.
    *required field

Your bulk quote request has been submitted successfully!

Please contact us if you have any questions.