- Tel: 858.663.9055
- 
									 Email: info@nsjbio.com Email: info@nsjbio.com
- Tel: 858.663.9055
- Email: info@nsjbio.com
 Email: info@nsjbio.com
Email: info@nsjbio.com
								Related Products
| 
 | 
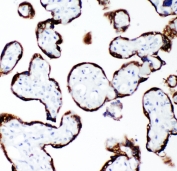
Growth hormone (GH) is mapped to 17q22-q24. GH is synthesized by acidophilic or somatotropic cells of the anterior pituitary gland. Human Growth hormone has a molecular mass of 22,005 and contains 191 amino acid residues with 2 disulfide bridges. It binds two receptor molecules and thereby induces signal transduction through receptor dimerization. At high concentrations, GH acts as an antagonist because of a large difference in affinities at the respective binding sites.
The stated application concentrations are suggested starting points. Titration of the Growth Hormone antibody may be required due to differences in protocols and secondary/substrate sensitivity.
Human partial recombinant protein (AA 27-217) was used as the immunogen for this Growth Hormone antibody.
After reconstitution, the Growth Hormone antibody can be stored for up to one month at 4oC. For long-term, aliquot and store at -20oC. Avoid repeated freezing and thawing.
 
Your bulk quote request has been submitted successfully!
Please contact us if you have any questions.