• Tel: 858.663.9055
  • SeparatorEmail: info@nsjbio.com
  • Tel: 858.663.9055
  • Email: info@nsjbio.com
Home >> Antibodies >> Gro gamma Antibody / Cxcl3

Gro gamma Antibody / Cxcl3 (R32424)

  Catalog No Formulation Size Price (USD)  
Image R32424 0.5mg/ml if reconstituted with 0.2ml sterile DI water 100 ug 449
Bulk quote request
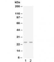
Western blot testing of 1) mouse lung and 2) mouse spleen lysate with Gro gamma antibody. Predicted molecular weight ~11 kDa, observed here at ~25 kDa.
Availability 1-3 business days
Species Reactivity Mouse
Format Antigen affinity purified
Host Rabbit
Clonality Polyclonal (rabbit origin)
Isotype Rabbit IgG
Purity Antigen affinity
Buffer Lyophilized from 1X PBS with 2.5% BSA and 0.025% sodium azide
UniProt Q6W5C0
Applications Western Blot : 0.1-0.5ug/ml
ELISA : 0.1-0.5ug/ml (mouse protein tested); request BSA-free format for coating
Limitations This Gro gamma antibody is available for research use only.
Review this product on BioCompare and get a $20 Amazon gift card

Description

Chemokine (C-X-C motif) ligand 3 (CXCL3), also known as GRO protein gamma (GROg) and macrophage inflammatory protein-2-beta (MIP2b), is a small cytokine belonging to the CXC chemokine family. It is mapped to 14p2. CXCL3 controls migration and adhesion of monocytes and mediates its effects on its target cell by interacting with a cell surface chemokine receptor. It has been shown that CXCL3 regulates cell autonomously the migration of the precursors of cerebellar granule neurons toward the internal layers of cerebellum, during the morphogenesis of cerebellum. CXCL3 also play fundamental roles in the development, homeostasis and it has effects on cells of the central nervous system as well as on endothelial cells involved in angiogenesis or angiostasis.

Application Notes

Optimal dilution of the GRO gamma antibody should be determined by the researcher.

Immunogen

Amino acids S32-S100 from the mouse protein were used as the immunogen for the Gro gamma antibody.

Storage

After reconstitution, the Gro gamma antibody can be stored for up to one month at 4oC. For long-term, aliquot and store at -20oC. Avoid repeated freezing and thawing.

Cross
Bulk Quote Request Form
Name*:
Organization*:
Email*:
Phone Number*:
Catalog No.*:
Comments and Specifics(amount, formulation, etc.)*:
Validation code: Captchapackage Image


Can't read the image? click here to refresh.
    *required field

Your bulk quote request has been submitted successfully!

Please contact us if you have any questions.