• Tel: 858.663.9055
  • SeparatorEmail: info@nsjbio.com
  • Tel: 858.663.9055
  • Email: info@nsjbio.com
Home >> Antibodies >> GRM2 Antibody / Metabotropic Glutamate Receptor 2

GRM2 Antibody / Metabotropic Glutamate Receptor 2 (RQ5579)

  Catalog No Formulation Size Price (USD)  
Image RQ5579 0.5mg/ml if reconstituted with 0.2ml sterile DI water 100 ug 439
Bulk quote request
Western blot testing of 1) rat brain and 2) mouse brain lysate with GRM2 antibody. Predicted molecular weight ~96 kDa, routinely observed at 110-120 kDa (monomer) and 220-240 kDa (dimer).
Western blot testing of 1) rat brain and 2) mouse brain lysate with GRM2 antibody. Predicted molecular weight ~96 kDa, routinely observed at 110-120 kDa (monomer) and 220-240 kDa (dimer).
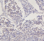
IHC staining of FFPE human glioma tissue with GRM2 antibody. HIER: boil tissue sections in pH8 EDTA for 20 min and allow to cool before testing.
Flow cytometry testing of fixed and permeabilized human HepG2 cells with GRM2 antibody at 1ug/million cells (blocked with goat sera); Red=cells alone, Green=isotype control, Blue= GRM2 antibody.
Availability 1-3 business days
Species Reactivity Human, Mouse, Rat
Format Antigen affinity purified
Clonality Polyclonal (rabbit origin)
Isotype Rabbit IgG
Purity Affinity purified
Buffer Lyophilized from 1X PBS with 2% Trehalose and 0.025% sodium azide
UniProt Q14416
Applications Western Blot : 0.25-0.5ug/ml
Flow Cytometry : 1-3ug/million cells
Immunohistochemistry (FFPE) : 2-5ug/ml
Direct ELISA : 0.1-0.5ug/ml
Limitations This GRM2 antibody is available for research use only.
Review this product on BioCompare and get a $20 Amazon gift card

Related Products

Description

Metabotropic glutamate receptor 2 (mGluR2) is a protein that, in humans, is encoded by the GRM2 gene. It is mapped to 3p21.2. L-glutamate is the major excitatory neurotransmitter in the central nervous system and activates both ionotropic and metabotropic glutamate receptors. Glutamatergic neurotransmission is involved in most aspects of normal brain function and can be perturbed in many neuropathologic conditions. The metabotropic glutamate receptors are a family of G protein-coupled receptors, that have been divided into 3 groups on the basis of sequence homology, putative signal transduction mechanisms, and pharmacologic properties. Group I includes GRM1 and GRM5 and these receptors have been shown to activate phospholipase C. Group II includes GRM2 and GRM3 while Group III includes GRM4, GRM6, GRM7 and GRM8. Group II and III receptors are linked to the inhibition of the cyclic AMP cascade but differ in their agonist selectivities. Several transcript variants encoding different isoforms have been found for this gene.

Application Notes

Optimal dilution of the GRM2 antibody should be determined by the researcher.

Immunogen

A human recombinant protein (amino acids N439-A710) was used as the immunogen for the GRM2 antibody.

Storage

After reconstitution, the GRM2 antibody can be stored for up to one month at 4oC. For long-term, aliquot and store at -20oC. Avoid repeated freezing and thawing.

Cross
Bulk Quote Request Form
Name*:
Organization*:
Email*:
Phone Number*:
Catalog No.*:
Comments and Specifics(amount, formulation, etc.)*:
Validation code: Captchapackage Image


Can't read the image? click here to refresh.
    *required field

Your bulk quote request has been submitted successfully!

Please contact us if you have any questions.