• Tel: 858.663.9055
  • SeparatorEmail: info@nsjbio.com
  • Tel: 858.663.9055
  • Email: info@nsjbio.com
Home >> Antibodies >> GRIA4 Antibody

GRIA4 Antibody (R34495)

  Catalog No Formulation Size Price (USD)  
Image R34495-100UG 0.5 mg/ml in 1X TBS, pH7.3, with 0.5% BSA (US sourced) and 0.02% sodium azide 100 ug 475
Bulk quote request
Western blot testing of human cerebellum lysate with GRIA4 antibody at 0.3ug/ml. Predicted molecular weight: ~101kDa.
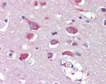
IHC staining of FFPE human cortex with GRIA4 antibody at 5ug/ml. HIER: steamed with pH6 citrate buffer, AP-staining.
Availability 1-3 business days
Species Reactivity Human
Predicted Reactivity Cow, Mouse, Rat
Format Antigen affinity purified
Host Goat
Clonality Polyclonal (goat origin)
Isotype Goat Ig
Purity Antigen affinity
Gene ID 2893
Applications Western Blot : 0.3-1ug/ml
Immunohistochemistry (FFPE) : 5-10ug/ml
ELISA (peptide) LOD : 1:128000
Limitations This GRIA4 antibody is available for research use only.
Review this product on BioCompare and get a $20 Amazon gift card

Related Products

Description

Additional name(s) for this target protein: Glutamate receptor, ionotrophic, AMPA 4; GLUR4, GLURD

Application Notes

Optimal dilution of the GRIA4 antibody should be determined by the researcher.

Immunogen

Amino acids KKLDQREYPGSETP were used as the immunogen for this GRIA4 antibody.

Storage

Aliquot and store the GRIA4 antibody at -20oC.

Cross
Bulk Quote Request Form
Name*:
Organization*:
Email*:
Phone Number*:
Catalog No.*:
Comments and Specifics(amount, formulation, etc.)*:
Validation code: Captchapackage Image


Can't read the image? click here to refresh.
    *required field

Your bulk quote request has been submitted successfully!

Please contact us if you have any questions.