• Tel: 858.663.9055
  • SeparatorEmail: info@nsjbio.com
  • Tel: 858.663.9055
  • Email: info@nsjbio.com
Home >> Antibodies >> GPX4 Antibody (isoforms a and c)

GPX4 Antibody (isoforms a and c) (R33756)

  Catalog No Formulation Size Price (USD)  
Image R33756-100UG 0.5 mg/ml in 1X TBS, pH7.3, with 0.5% BSA (US sourced) and 0.02% sodium azide 100 ug 475
Bulk quote request
Western blot testing of human testis lysate with GPX4 antibody at 0.1ug/ml. Predicted molecular weight: ~22kDa.
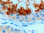
IHC staining of FFPE human testis with GPX4 antibody at 0.3ug/ml. HIER: microwaved with pH6 citrate buffer, HRP-staining.
Availability 1-3 business days
Species Reactivity Human
Predicted Reactivity Cow, Mouse, Pig, Rat
Format Antigen affinity purified
Host Goat
Clonality Polyclonal (goat origin)
Isotype Goat Ig
Purity Antigen affinity
Gene ID 2879
Localization Nuclear, cytoplasmic, membrane
Applications Western Blot : 0.1-0.3ug/ml
Immunohistochemistry (FFPE) : 0.5-1ug/ml
ELISA (peptide) LOD : 1:16000
Limitations This GPX4 antibody is available for research use only.
Review this product on BioCompare and get a $20 Amazon gift card

Related Products

Description

Additional name(s) for this target protein: Glutathione peroxidase 4

Application Notes

Optimal dilution of the GPX4 antibody should be determined by the researcher.

1. This GPX4 antibody is specific for isoforms a and c.

Immunogen

Amino acids EEPLVIEKDLPHY were used as the immunogen for this GPX4 antibody.

Storage

Aliquot and store the GPX4 antibody at -20oC.

Cross
Bulk Quote Request Form
Name*:
Organization*:
Email*:
Phone Number*:
Catalog No.*:
Comments and Specifics(amount, formulation, etc.)*:
Validation code: Captchapackage Image


Can't read the image? click here to refresh.
    *required field

Your bulk quote request has been submitted successfully!

Please contact us if you have any questions.