• Tel: 858.663.9055
  • SeparatorEmail: info@nsjbio.com
  • Tel: 858.663.9055
  • Email: info@nsjbio.com
Home >> Antibodies >> GPX3 Antibody / Glutathione peroxidase 3

GPX3 Antibody / Glutathione peroxidase 3 (FY13096)

  Catalog No Formulation Size Price (USD)  
Image FY13096 Adding 0.2 ml of distilled water will yield a concentration of 500 ug/ml 100 ug 449
Bulk quote request
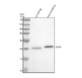
Western blot analysis of GPX3 using anti-GPX3 antibody. Electrophoresis was performed on a 12% SDS-PAGE gel at 80V (Stacking gel) / 120V (Resolving gel) for 2 hours. Lane 1: rat kidney tissue lysates, Lane 2: mouse kidney tissue lysates. After electrophoresis, proteins were transferred to a nitrocellulose membrane at 150 mA for 50-90 minutes. Blocked the membrane with 5% non-fat milk/TBS for 1.5 hour at RT. The membrane was incubated with rabbit anti-GPX3 antibody at 0.5 ug/ml overnight at 4oC, then washed with TBS-0.1%Tween 3 times with 5 minutes each and probed with a goat anti-rabbit IgG-HRP secondary antibody at a dilution of 1:5000 for 1.5 hour at RT. The signal was developed using an ECL Plus Western Blotting Substrate. GPX3 antibody detects a prominent band in rat and mouse kidney lysates at ~21 kDa. GPX3 is a secreted, N-glycosylated selenoprotein whose monomer typically migrates at ~23-26 kDa; the slightly lower mobility observed here is consistent with reduced N-glycosylation or processing differences in kidney tissue.
Availability 1-2 days
Species Reactivity Mouse, Rat
Format Lyophilized
Host Rabbit
Clonality Polyclonal (rabbit origin)
Isotype Rabbit IgG
Purity Immunogen affinity purified
Buffer Each vial contains 4 mg Trehalose, 0.9 mg NaCl, 0.2 mg Na2HPO4.
UniProt P22352
Applications Western Blot : 0.25-0.5ug/ml
Limitations This GPX3 antibody is available for research use only.
Review this product on BioCompare and get a $20 Amazon gift card

Related Products

  • Applications : WB, IHC, ELISA (peptide)
    Reactivity : Human, Mouse, Pig
    Pred. Reactivity : Rat, Dog
  • Applications : WB, IHC-P
    Reactivity : Human, Mouse

Description

GPX3 antibody detects Glutathione peroxidase 3, a secreted antioxidant enzyme that catalyzes the reduction of hydrogen peroxide and organic hydroperoxides using glutathione. The UniProt recommended name is Glutathione peroxidase 3 (GPX3). This selenoprotein plays a key role in extracellular redox homeostasis and protection against oxidative damage in plasma and other biological fluids.

Functionally, GPX3 antibody identifies a 226-amino-acid glycoprotein containing a selenocysteine residue at its active site. GPX3 is primarily synthesized in the kidney proximal tubules and secreted into the plasma, where it scavenges peroxides to prevent oxidative injury to lipids, proteins, and DNA. Its catalytic activity depends on the presence of glutathione as a reducing cofactor and selenium availability for selenocysteine biosynthesis.

The GPX3 gene is located on chromosome 5q33.1 and encodes the only extracellular form among the glutathione peroxidase family. It is expressed in kidney, lung, liver, and several endocrine tissues, contributing to systemic antioxidant defense. GPX3 levels fluctuate with oxidative stress, inflammation, and selenium intake, making it a biomarker of redox status.

Pathologically, reduced GPX3 expression has been linked to cancer, diabetes, and cardiovascular diseases. Loss of GPX3 activity enhances oxidative DNA damage and supports tumor growth through redox imbalance. Conversely, elevated GPX3 expression in response to stress reflects a protective adaptation. Research with GPX3 antibody aids studies in oxidative stress, redox biology, and disease biomarker development.

GPX3 antibody is suitable for western blotting, immunohistochemistry, and ELISA to measure GPX3 protein in serum, plasma, and tissues. NSJ Bioreagents provides validated GPX3 antibody reagents optimized for oxidative stress, metabolism, and antioxidant pathway research.

Structurally, Glutathione peroxidase 3 forms a homotetramer with each subunit containing a conserved catalytic triad for peroxide reduction. The enzyme�s secretion signal sequence directs it to the extracellular space, where it complements intracellular antioxidant systems. This antibody enables quantitative and qualitative analysis of GPX3 in health and disease contexts.

Application Notes

Optimal dilution of the GPX3 antibody should be determined by the researcher.

Immunogen

A synthetic peptide corresponding to a sequence at the C-terminus of human GPX3 was used as the immunogen for the GPX3 antibody.

Storage

After reconstitution, the GPX3 antibody can be stored for up to one month at 4oC. For long-term, aliquot and store at -20oC. Avoid repeated freezing and thawing.

Cross
Bulk Quote Request Form
Name*:
Organization*:
Email*:
Phone Number*:
Catalog No.*:
Comments and Specifics(amount, formulation, etc.)*:
Validation code: Captchapackage Image


Can't read the image? click here to refresh.
    *required field

Your bulk quote request has been submitted successfully!

Please contact us if you have any questions.