• Tel: 858.663.9055
  • SeparatorEmail: info@nsjbio.com
  • Tel: 858.663.9055
  • Email: info@nsjbio.com
Home >> Antibodies >> GPX3 Antibody

GPX3 Antibody (F54583)

  Catalog No Formulation Size Price (USD)  
Image F54583-0.4ML In 1X PBS, pH 7.4, with 0.09% sodium azide 0.4 ml 439
Image
F54583-0.08ML In 1X PBS, pH 7.4, with 0.09% sodium azide 0.08 ml 205
Bulk quote request
Western blot testing of 1) human kidney, 2) human plasma, 3) mouse kidney, 4) mouse plasma and 5) rat kidney lysate with GPX3 antibody. Expected molecular weight: 23-26 kDa.
Western blot testing of mouse plasma lysate with GPX3 antibody. Expected molecular weight: 23-26 kDa.
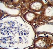
IHC testing of FFPE human kidney tissue with GPX3 antibody. HIER: steam section in pH6 citrate buffer for 20 min and allow to cool prior to staining.
Availability 1-3 business days
Species Reactivity Human, Mouse
Format Purified
Host Rabbit
Clonality Polyclonal (rabbit origin)
Isotype Rabbit Ig
Purity Antigen affinity purified
UniProt P22352
Localization Cytoplasmic, nuclear
Applications Western Blot : 1:500-1:2000
Immunohistochemistry (FFPE) : 1:25
Limitations This GPX3 antibody is available for research use only.
Review this product on BioCompare and get a $20 Amazon gift card

Related Products

  • Applications : WB, IHC, ELISA (peptide)
    Reactivity : Human, Mouse, Pig
    Pred. Reactivity : Rat, Dog
  • Applications : WB
    Reactivity : Mouse, Rat

Description

This gene product belongs to the glutathione peroxidase family, which functions in the detoxification of hydrogen peroxide. It contains a selenocysteine (Sec) residue at its active site. The selenocysteine is encoded by the UGA codon, which normally signals translation termination. The 3' UTR of Sec-containing genes have a common stem-loop structure, the sec insertion sequence (SECIS), which is necessary for the recognition of UGA as a Sec codon rather than as a stop signal.

Application Notes

The stated application concentrations are suggested starting points. Titration of the GPX3 antibody may be required due to differences in protocols and secondary/substrate sensitivity.

Immunogen

A portion of amino acids 93-123 from the human protein was used as the immunogen for the GPX3 antibody.

Storage

Aliquot the GPX3 antibody and store frozen at -20oC or colder. Avoid repeated freeze-thaw cycles.

Cross
Bulk Quote Request Form
Name*:
Organization*:
Email*:
Phone Number*:
Catalog No.*:
Comments and Specifics(amount, formulation, etc.)*:
Validation code: Captchapackage Image


Can't read the image? click here to refresh.
    *required field

Your bulk quote request has been submitted successfully!

Please contact us if you have any questions.