• Tel: 858.663.9055
  • SeparatorEmail: info@nsjbio.com
  • Tel: 858.663.9055
  • Email: info@nsjbio.com
Home >> Antibodies >> GPX1 Antibody / Glutathione Peroxidase 1

GPX1 Antibody / Glutathione Peroxidase 1 [clone IHO-7] (RQ5171)

  Catalog No Formulation Size Price (USD)  
Image RQ5171 Antibody in PBS with 0.02% sodium azide, 50% glycerol and 0.4-0.5mg/ml BSA 100 ul 449
Microvalidated Rab Mono Image
Bulk quote request
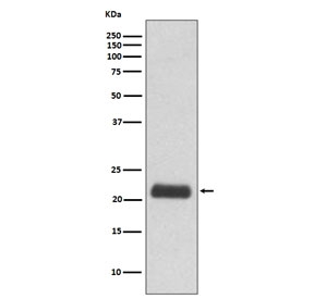
Western blot testing of human 293T cell lysate with GPX1 antibody. Predicted molecular weight ~22 kDa.
Western blot testing of 1) human 293T, 2) human ThP-1, 3) human HepG2, 4) rat liver and 5) mouse liver tissue lysate with GPX1 antibody. Predicted molecular weight ~22 kDa.
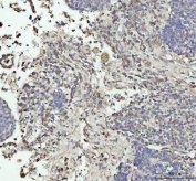
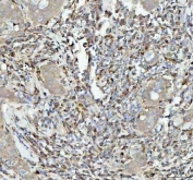
IHC staining of FFPE human breast cancer tissue with GPX1 antibody. HIER: boil tissue sections in pH8 EDTA for 20 min and allow to cool before testing.
IHC staining of FFPE human spleen tissue with GPX1 antibody. HIER: boil tissue sections in pH8 EDTA for 20 min and allow to cool before testing.
IHC staining of FFPE human lung squamous cell carcinoma tissue with GPX1 antibody. HIER: boil tissue sections in pH8 EDTA for 20 min and allow to cool before testing.
Availability 1-2 weeks
Species Reactivity Human
Format Purified
Host Rabbit
Clonality Rabbit Monoclonal
Isotype Rabbit IgG
Clone Name IHO-7
Purity Affinity purified
UniProt P07203
Applications Western Blot : 1:500-1:2000
Immunohistochemistry (FFPE) : 1:50-1:200
Limitations This GPX1 antibody is available for research use only.
Review this product on BioCompare and get a $20 Amazon gift card

Related Products

Description

The protein encoded by the GPX1 gene belongs to the glutathione peroxidase family, members of which catalyze the reduction of organic hydroperoxides and hydrogen peroxide (H2O2) by glutathione, and thereby protect cells against oxidative damage. Other studies indicate that H2O2 is also essential for growth-factor mediated signal transduction, mitochondrial function, and maintenance of thiol redox-balance; therefore, by limiting H2O2 accumulation, glutathione peroxidases are also involved in modulating these processes. Several isozymes of this gene family exist in vertebrates, which vary in cellular location and substrate specificity. This isozyme is the most abundant, is ubiquitously expressed and localized in the cytoplasm, and whose preferred substrate is hydrogen peroxide. It is also a selenoprotein, containing the rare amino acid selenocysteine (Sec) at its active site. [RefSeq]

Application Notes

Optimal dilution of the GPX1 antibody should be determined by the researcher.

Immunogen

A synthetic peptide specific to human Glutathione Peroxidase 1 / GPX1 was used as the immunogen for the GPX1 antibody.

Storage

Store the GPX1 antibody at -20oC.

Cross
Bulk Quote Request Form
Name*:
Organization*:
Email*:
Phone Number*:
Catalog No.*:
Comments and Specifics(amount, formulation, etc.)*:
Validation code: Captchapackage Image


Can't read the image? click here to refresh.
    *required field

Your bulk quote request has been submitted successfully!

Please contact us if you have any questions.