• Tel: 858.663.9055
  • SeparatorEmail: info@nsjbio.com
  • Tel: 858.663.9055
  • Email: info@nsjbio.com
Home >> Antibodies >> GPX1 Antibody / Glutathione Peroxidase 1

GPX1 Antibody / Glutathione Peroxidase 1 (F54263)

  Catalog No Formulation Size Price (USD)  
Image F54263-0.4ML In 1X PBS, pH 7.4, with 0.09% sodium azide 0.4 ml 439
Image
F54263-0.08ML In 1X PBS, pH 7.4, with 0.09% sodium azide 0.08 ml 205
Bulk quote request
Western blot testing of human 1) liver, 2) HepG2, 3) 293T, 4) kidney and 5) ThP-1 lysate with GPX1 antibody. Predicted molecular weight ~22 kDa.
Western blot testing of human 1) ThP-1, 2) 293T, 3) HepG2, 4) SH-SY5Y and 5) human kidney lysate with GPX1 antibody. Predicted molecular weight ~22 kDa.
Western blot testing of 1) human ThP-1, 2) mouse liver and 3) rat liver lysate with GPX1 antibody. Predicted molecular weight ~22 kDa.
Immunofluorescent staining of fixed and permeabilized human HepG2 cells with GPX1 antibody (green) and DAPI nuclear stain (blue).
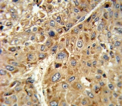
IHC testing of FFPE human hepatocarcinoma tissue with GPX1 antibody. HIER: steam section in pH6 citrate buffer for 20 min and allow to cool prior to staining.
Flow cytometry testing of fixed and permeabilized human HepG2 cells with GPX1 antibody; Blue=isotype control, Green= GPX1 antibody.
Availability 1-3 business days
Species Reactivity Human, Mouse, Rat
Format Purified
Host Rabbit
Clonality Polyclonal (rabbit origin)
Isotype Rabbit Ig
Purity Antigen affinity purified
UniProt P07203
Gene ID 2876
Localization Cytoplasmic
Applications Western Blot : 1:1000-1:2000
Immunohistochemistry (FFPE) : 1:25
Flow Cytometry : 1:25 (1x10e6 cells)
Immunofluorescence : 1:25
Limitations This GPX1 antibody is available for research use only.
Review this product on BioCompare and get a $20 Amazon gift card

Related Products

Description

GPX1 encodes a member of the glutathione peroxidase family. Glutathione peroxidase functions in the detoxification of hydrogen peroxide, and is one of the most important antioxidant enzymes in humans. This protein is one of only a few proteins known in higher vertebrates to contain selenocysteine, which occurs at the active site of glutathione peroxidase and is coded by UGA, that normally functions as a translation termination codon. In addition, this protein is characterized in a polyalanine sequence polymorphism in the N-terminal region, which includes three alleles with five, six or seven alanine (ALA) repeats in this sequence.

Application Notes

The stated application concentrations are suggested starting points. Titration of the GPX1 antibody may be required due to differences in protocols and secondary/substrate sensitivity.

Immunogen

A portion of amino acids 164-193 from the human protein were used as the immunogen for the GPX1 antibody.

Storage

Aliquot the GPX1 antibody and store frozen at -20oC or colder. Avoid repeated freeze-thaw cycles.

Cross
Bulk Quote Request Form
Name*:
Organization*:
Email*:
Phone Number*:
Catalog No.*:
Comments and Specifics(amount, formulation, etc.)*:
Validation code: Captchapackage Image


Can't read the image? click here to refresh.
    *required field

Your bulk quote request has been submitted successfully!

Please contact us if you have any questions.