• Tel: 858.663.9055
  • SeparatorEmail: info@nsjbio.com
  • Tel: 858.663.9055
  • Email: info@nsjbio.com
Home >> Antibodies >> GPR120 Antibody / FFAR4

GPR120 Antibody / FFAR4 (R36483)

  Catalog No Formulation Size Price (USD)  
Image R36483-100UG 0.5 mg/ml in 1X TBS, pH7.3, with 0.5% BSA (US sourced) and 0.02% sodium azide 100 ug 475
Bulk quote request
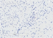
IHC testing of FFPE human colon tissue with GPR120 antibody at 2ug/ml. Specific staining of lymphoid aggregates is seen. HIER: steam section in pH6 citrate buffer for 20 min.
IHC testing of FFPE human colon tissue without GPR120 antibody (negative control). HIER: steam section in pH6 citrate buffer for 20 min.
Availability 1-3 business days
Species Reactivity Human, Mouse, Rat
Format Antigen affinity purified
Host Goat
Clonality Polyclonal (goat origin)
Isotype Goat Ig
Purity Antigen affinity
UniProt Q5NUL3
Applications IHC (FFPE) : 2-4ug/ml
ELISA (peptide) LOD : 1:16000
Limitations This GPR120 antibody is available for research use only.
Review this product on BioCompare and get a $20 Amazon gift card

Related Products

  • Applications : WB, ELISA
    Reactivity : Human

Description

G-protein coupled receptor 120, also called Free fatty acid receptor 4 (FFAR4) acts as a receptor for omega-3 fatty acids and mediates robust anti-inflammatory effects, particularly in macrophages and fat cells. [UniProt]

Application Notes

Optimal dilution of the GPR120 antibody should be determined by the researcher.

Immunogen

Amino acids YSESHQIRVSQQD were used as the immunogen for this FFAR4 / GPR120 antibody.

Storage

Aliquot and store the GPR120 antibody at -20oC.

Cross
Bulk Quote Request Form
Name*:
Organization*:
Email*:
Phone Number*:
Catalog No.*:
Comments and Specifics(amount, formulation, etc.)*:
Validation code: Captchapackage Image


Can't read the image? click here to refresh.
    *required field

Your bulk quote request has been submitted successfully!

Please contact us if you have any questions.