• Tel: 858.663.9055
  • SeparatorEmail: info@nsjbio.com
  • Tel: 858.663.9055
  • Email: info@nsjbio.com
Home >> Antibodies >> GPNMB Antibody / Transmembrane glycoprotein NMB / HGFN

GPNMB Antibody / Transmembrane glycoprotein NMB / HGFN (FY13098)

  Catalog No Formulation Size Price (USD)  
Image FY13098 Adding 0.2 ml of distilled water will yield a concentration of 500 ug/ml 100 ug 449
Bulk quote request
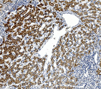
Immunohistochemical staining of GPNMB using anti-GPNMB antibody. GPNMB was detected in paraffin-embedded section of human liver cancer. Heat mediated antigen retrieval was performed in EDTA buffer (pH 8.0, epitope retrieval solution). The tissue section was blocked with 10% goat serum. The tissue section was then incubated with 1ug/ml rabbit anti-GPNMB antibody overnight at 4oC. Biotinylated goat anti-rabbit IgG was used as secondary antibody and incubated for 30 minutes at 37oC. The tissue section was developed using Strepavidin-Biotin-Complex (SABC) with DAB as the chromogen.
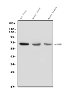
Western blot analysis of GPNMB using anti-GPNMB antibody. The sample well of each lane was loaded with 30ug of sample under reducing conditions. Lane 1: rat liver tissue lysates, Lane 2: mouse liver tissue lysates, Lane 3: mouse kidney tissue lysates. After Electrophoresis, proteins were transferred to a Nitrocellulose membrane at 150mA for 50-90 minutes. Blocked the membrane with 5% Non-fat Milk/ TBS for 1.5 hour at RT. The membrane was incubated with rabbit anti-GPNMB antibody at 0.5 ug/ml overnight at 4oC, then washed with TBS-0.1%Tween 3 times with 5 minutes each and probed with a goat anti-rabbit IgG-HRP secondary antibody at a dilution of 1:5000 for 1.5 hour at RT. The signal was developed using enhanced chemiluminescent. The expected molecular weight of unglycosylated GPNMB is at ~64 kDa.
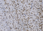
Immunohistochemical staining of GPNMB using anti-GPNMB antibody. GPNMB was detected in paraffin-embedded section of mouse brain tissue. Heat mediated antigen retrieval was performed in EDTA buffer (pH 8.0, epitope retrieval solution). The tissue section was blocked with 10% goat serum. The tissue section was then incubated with 1ug/ml rabbit anti-GPNMB antibody overnight at 4oC. Biotinylated goat anti-rabbit IgG was used as secondary antibody and incubated for 30 minutes at 37oC. The tissue section was developed using Strepavidin-Biotin-Complex (SABC) with DAB as the chromogen.
Immunofluorescent staining of GPNMB using anti-GPNMB antibody (green). GPNMB was detected in immunocytochemical section of cells. Enzyme antigen retrieval was performed using IHC enzyme antigen retrieval reagent for 15 mins. The cells were blocked with 10% goat serum. And then incubated with 2ug/ml rabbit anti-GPNMB antibody overnight at 4oC. DyLight 488 conjugated Goat Anti-Rabbit IgG was used as secondary antibody at 1:100 dilution and incubated for 30 minutes at 37oC. The section was counterstained with DAPI nuclear stain (blue). Visualize using a fluorescence microscope and filter sets appropriate for the label used.
Flow Cytometry analysis of U87 cells using anti-GPNMB antibody. Overlay histogram showing U87 cells stained with (Blue line). To facilitate intracellular staining, cells were fixed with 4% paraformaldehyde and permeabilized with permeabilization buffer. The cells were blocked with 10% normal goat serum. And then incubated with rabbit anti-GPNMB antibody (1ug/million cells) for 30 min at 20oC. DyLight 488 conjugated goat anti-rabbit IgG (5-10ug/million cells) was used as secondary antibody for 30 minutes at 20oC. Isotype control antibody (Green line) was rabbit IgG (1ug/million) used under the same conditions. Unlabelled sample without incubation with primary antibody and secondary antibody (Red line) was used as a blank control.
Flow Cytometry analysis of HEPA1-6 cells using anti-GPNMB antibody. Overlay histogram showing HEPA1-6 cells stained with (Blue line). To facilitate intracellular staining, cells were fixed with 4% paraformaldehyde and permeabilized with permeabilization buffer. The cells were blocked with 10% normal goat serum. And then incubated with rabbit anti-GPNMB antibody (1ug/million cells) for 30 min at 20oC. DyLight 488 conjugated goat anti-rabbit IgG (5-10ug/million cells) was used as secondary antibody for 30 minutes at 20oC. Isotype control antibody (Green line) was rabbit IgG (1ug/million) used under the same conditions. Unlabelled sample without incubation with primary antibody and secondary antibody (Red line) was used as a blank control.
Availability 1-2 days
Species Reactivity Human, Mouse, Rat
Format Lyophilized
Host Rabbit
Clonality Polyclonal (rabbit origin)
Isotype Rabbit IgG
Purity Immunogen affinity purified
Buffer Each vial contains 4mg Trehalose, 0.9mg NaCl, 0.2mg Na2HPO4, 0.05mg NaN3.
UniProt Q99P91
Localization Cytoplasm, cell membrane
Applications Western Blot : 0.25-0.5ug/ml
Immunohistochemistry : 2-5ug/ml
Immunocytochemistry : 5ug/ml
Immunofluorescence : 5ug/ml
Flow Cytometry : 1-3ug/million cells
ELISA : 0.1-0.5ug/ml
Limitations This GPNMB antibody is available for research use only.
Review this product on BioCompare and get a $20 Amazon gift card

Related Products

  • Applications : WB, ELISA
    Reactivity : Human

Description

GPNMB antibody detects Transmembrane glycoprotein NMB, a type I membrane protein involved in cell adhesion, differentiation, and tissue repair. The UniProt recommended name is Transmembrane glycoprotein NMB (GPNMB). Also known as Osteoactivin or HGFN, this glycoprotein is expressed in osteoclasts, melanocytes, macrophages, and tumor cells, where it contributes to cell signaling and microenvironment remodeling.

Functionally, GPNMB antibody identifies a 560-amino-acid glycoprotein with an extracellular domain containing an RGD-like integrin-binding motif, a transmembrane helix, and a short cytoplasmic tail with a tyrosine-based sorting signal. GPNMB facilitates cell-matrix interaction and promotes osteoblast differentiation, pigment cell function, and immune modulation. It is also upregulated during tissue repair and inflammation, reflecting its role in regeneration and immune regulation.

The GPNMB gene is located on chromosome 7p15.2 and encodes a protein expressed in bone, skin, brain, and immune cells. In macrophages and dendritic cells, GPNMB modulates cytokine release and antigen presentation, while in osteoclasts it contributes to bone resorption and remodeling. The protein undergoes ectodomain shedding, releasing soluble fragments that influence neighboring cells.

Pathologically, GPNMB is overexpressed in several cancers, including melanoma, breast, and glioma, where it promotes migration, invasion, and angiogenesis. It also plays roles in neurodegenerative diseases and inflammation. Because of its surface localization, GPNMB serves as a potential therapeutic target and biomarker. Research using GPNMB antibody supports studies of tumor biology, osteogenesis, and immune signaling.

GPNMB antibody is suitable for western blotting, immunohistochemistry, and flow cytometry to detect membrane-associated and soluble GPNMB. NSJ Bioreagents offers validated GPNMB antibody reagents designed for research in cell adhesion, tumor biology, and tissue regeneration.

Structurally, Transmembrane glycoprotein NMB features multiple N-glycosylation sites contributing to stability and cell-surface expression. The cytoplasmic domain interacts with intracellular adaptors, linking extracellular signals to intracellular pathways. This antibody enables detection of GPNMB in studies of cell communication, repair, and disease progression.

Application Notes

Optimal dilution of the GPNMB antibody should be determined by the researcher.

Immunogen

E.coli-derived mouse GPNMB recombinant protein (Position: R164-D564) was used as the immunogen for the GPNMB antibody.

Storage

After reconstitution, the GPNMB antibody can be stored for up to one month at 4oC. For long-term, aliquot and store at -20oC. Avoid repeated freezing and thawing.

Cross
Bulk Quote Request Form
Name*:
Organization*:
Email*:
Phone Number*:
Catalog No.*:
Comments and Specifics(amount, formulation, etc.)*:
Validation code: Captchapackage Image


Can't read the image? click here to refresh.
    *required field

Your bulk quote request has been submitted successfully!

Please contact us if you have any questions.