• Tel: 858.663.9055
  • SeparatorEmail: info@nsjbio.com
  • Tel: 858.663.9055
  • Email: info@nsjbio.com
Home >> Antibodies >> GPD1 Antibody / Glycerol-3-phosphate dehydrogenase 1

GPD1 Antibody / Glycerol-3-phosphate dehydrogenase 1 (FY12648)

  Catalog No Formulation Size Price (USD)  
Image FY12648 Adding 0.2 ml of distilled water will yield a concentration of 500 ug/ml 100 ug 449
Bulk quote request
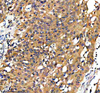
Immunohistochemical staining of GPD1 using anti-GPD1 antibody. GPD1 was detected in a paraffin-embedded section of human bladder cancer tissue. Heat mediated antigen retrieval was performed in EDTA buffer (pH 8.0, epitope retrieval solution). The tissue section was blocked with 10% goat serum. The tissue section was then incubated with 2 ug/ml rabbit anti-GPD1 antibody overnight at 4oC. Peroxidase Conjugated Goat Anti-rabbit IgG was used as secondary antibody and incubated for 30 minutes at 37oC. The tissue section was developed using an HRP secondary and DAB substrate.
Western blot analysis of GPD1 using anti-GPD1 antibody. Electrophoresis was performed on a 10% SDS-PAGE gel at 80V (Stacking gel) / 120V (Resolving gel) for 2 hours. Lane 1: rat liver tissue lysates, Lane 2: rat RH35 whole cell lysates, Lane 3: mouse liver tissue lysates. After electrophoresis, proteins were transferred to a nitrocellulose membrane at 150 mA for 50-90 minutes. Blocked the membrane with 5% non-fat milk/TBS for 1.5 hour at RT. The membrane was incubated with rabbit anti-GPD1 antibody at 0.5 ug/ml overnight at 4oC, then washed with TBS-0.1%Tween 3 times with 5 minutes each and probed with a goat anti-rabbit IgG-HRP secondary antibody at a dilution of 1:5000 for 1.5 hour at RT. The signal was developed using an ECL Plus Western Blotting Substrate. The expected molecular weight of GPD1 is ~38 kDa.
Flow Cytometry analysis of HepG2 cells using anti-GPD1 antibody. Overlay histogram showing HepG2 cells stained with (Blue line). To facilitate intracellular staining, cells were fixed with 4% paraformaldehyde and permeabilized with permeabilization buffer. The cells were blocked with 10% normal goat serum. And then incubated with rabbit anti-GPD1 antibody (1 ug/million cells) for 30 min at 20oC. DyLight 488 conjugated goat anti-rabbit IgG (5-10 ug/million cells) was used as secondary antibody for 30 minutes at 20oC. Isotype control antibody (Green line) was rabbit IgG (1 ug/million cells) used under the same conditions. Unlabelled sample without incubation with primary antibody and secondary antibody (Red line) was used as a blank control.
Availability 1-2 days
Species Reactivity Human, Mouse, Rat
Format Lyophilized
Host Rabbit
Clonality Polyclonal (rabbit origin)
Isotype Rabbit IgG
Purity Immunogen affinity purified
Buffer Each vial contains 4 mg Trehalose, 0.9 mg NaCl, 0.2 mg Na2HPO4.
UniProt P21695
Localization Cytoplasm
Applications Western Blot : 0.25-0.5ug/ml
Immunohistochemistry : 2-5ug/ml
Flow Cytometry : 1-3ug/million cells
Limitations This GPD1 antibody is available for research use only.
Review this product on BioCompare and get a $20 Amazon gift card

Description

GPD1 antibody detects Glycerol-3-phosphate dehydrogenase 1, a cytosolic enzyme that catalyzes the reversible conversion of dihydroxyacetone phosphate to glycerol-3-phosphate, linking carbohydrate metabolism with lipid biosynthesis and energy regulation. GPD1 plays a crucial role in maintaining redox balance and metabolic flexibility. The GPD1 antibody is widely used in metabolic, biochemical, and endocrinological research to study lipid metabolism, redox cycling, and adipocyte differentiation.

GPD1 is encoded by the GPD1 gene located on human chromosome 12q13.12. The protein is approximately 349 amino acids long and localizes primarily in the cytoplasm. GPD1 functions in concert with its mitochondrial counterpart, GPD2, as part of the glycerophosphate shuttle that transfers reducing equivalents from NADH in the cytosol to the mitochondria for oxidative phosphorylation.

The GPD1 antibody detects a 37 kilodalton protein by western blot and shows cytosolic localization under immunofluorescence microscopy. GPD1 activity supports triglyceride synthesis in adipocytes and provides glycerol-3-phosphate as a substrate for lipid esterification. In muscle and liver, GPD1 contributes to energy metabolism by linking glycolysis to oxidative phosphorylation. Its regulation is sensitive to hormonal cues, including insulin and glucagon, and is modulated by redox state and nutrient availability.

Deficiency of GPD1 results in transient hypertriglyceridemia and hepatic steatosis due to impaired lipid processing. Genetic mutations have been associated with congenital lipodystrophy and metabolic syndrome. Increased GPD1 expression in adipose tissue correlates with obesity and insulin resistance, highlighting its importance in metabolic homeostasis.

Beyond energy metabolism, GPD1 influences cell signaling through regulation of NAD+/NADH balance and oxidative stress. It plays roles in thermogenesis, adipocyte differentiation, and lipid droplet biogenesis. NSJ Bioreagents provides a validated GPD1 antibody optimized for its applications, supporting studies into redox regulation, lipid metabolism, and energy homeostasis.

Application Notes

Optimal dilution of the GPD1 antibody should be determined by the researcher.

Immunogen

A synthetic peptide corresponding to a sequence at the N-terminus of human GPD1 was used as the immunogen for the GPD1 antibody.

Storage

After reconstitution, the GPD1 antibody can be stored for up to one month at 4oC. For long-term, aliquot and store at -20oC. Avoid repeated freezing and thawing.

Cross
Bulk Quote Request Form
Name*:
Organization*:
Email*:
Phone Number*:
Catalog No.*:
Comments and Specifics(amount, formulation, etc.)*:
Validation code: Captchapackage Image


Can't read the image? click here to refresh.
    *required field

Your bulk quote request has been submitted successfully!

Please contact us if you have any questions.