• Tel: 858.663.9055
  • SeparatorEmail: info@nsjbio.com
  • Tel: 858.663.9055
  • Email: info@nsjbio.com
Home >> Antibodies >> GPC3 Antibody / Glypican-3

GPC3 Antibody / Glypican-3 [clone GPC3/12698] (V5906)

  Catalog No Formulation Size Price (USD)  
Image V5906-100UG 0.2 mg/ml in 1X PBS with 0.05% BSA, 0.05% sodium azide 100 ug 559
Image
V5906-20UG 0.2 mg/ml in 1X PBS with 0.05% BSA, 0.05% sodium azide 20 ug 259
Image
V5906SAF-100UG 1 mg/ml in 1X PBS; BSA free, sodium azide free 100 ug 559
Bulk quote request
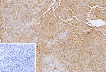
Formalin-fixed, paraffin-embedded human melanoma stained with GPC3/Glypican-3 antibody (clone GPC3/12698). Tumor cells show diffuse cytoplasmic and membranous brown chromogenic staining, consistent with Glypican-3 expression in melanoma cells, while nuclei are counterstained blue. Inset shows a PBS-only negative control processed without primary antibody, demonstrating minimal non-specific background staining.
Western blot analysis of human liver tissue lysate and human HepG2 cell lysate probed with GPC3/Glypican-3 antibody (clone GPC3/12698). A clear band is detected in HepG2 cells near the predicted molecular weight of approximately 70 kDa, consistent with Glypican-3. In contrast, no detectable band is observed in normal human liver tissue under the same conditions, consistent with low or absent Glypican-3 expression in non-malignant adult liver. The observed migration pattern is consistent with reported post-translational processing and glycosylation of this glycosylphosphatidylinositol-anchored proteoglycan.
SDS-PAGE Analysis of purified GPC3/Glypican-3 antibody (clone GPC3/12698). Confirmation of Purity and Integrity of Antibody. Confirmation of Purity and Integrity of Antibody.
Species Reactivity Human, Mouse
Format Purified
Host Mouse
Clonality Monoclonal (mouse origin)
Isotype Mouse IgG1, kappa
Clone Name GPC3/12698
UniProt P51654
Localization Cell membrane
Applications Immunohistochemistry (FFPE) : 1-2ug/ml
Western Blot : 2-4ug/ml
Limitations This GPC3/Glypican-3 antibody is available for research use only.
Review this product on BioCompare and get a $20 Amazon gift card

Related Products

Description

GPC3 antibody targets Glypican-3, a cell surface heparan sulfate proteoglycan encoded by the GPC3 gene and anchored to the plasma membrane through a glycosylphosphatidylinositol linkage. Glypican-3 is a member of the glypican family, which consists of extracellular matrix-associated proteoglycans that regulate growth factor signaling at the cell surface. Under normal physiological conditions, Glypican-3 expression is developmentally regulated and prominent during embryogenesis, where it contributes to tissue patterning, cell proliferation, and organ growth.

Glypican-3 plays a key modulatory role in several major signaling pathways, including Wnt, Hedgehog, fibroblast growth factor, and insulin-like growth factor signaling. By binding growth factors and morphogens through its heparan sulfate chains, Glypican-3 influences ligand availability and receptor activation at the cell membrane. This regulatory function positions Glypican-3 as an important determinant of cell fate decisions and proliferative capacity during development. A Glypican-3 antibody is therefore useful for studying cell surface signaling regulation and developmental biology mechanisms.

In adult tissues, Glypican-3 expression is typically low or absent, but it becomes strongly re-expressed in specific disease contexts. Most notably, Glypican-3 is highly expressed in hepatocellular carcinoma, where it is considered a hallmark oncofetal protein. Elevated Glypican-3 levels are also reported in certain pediatric tumors and germ cell-derived malignancies. Because of this restricted expression pattern, GPC3 antibody reagents are widely used in cancer research to study tumor cell identity, differentiation state, and aberrant growth signaling.

Glypican-3 is synthesized as a precursor protein that undergoes post-translational processing, including proteolytic cleavage and heparan sulfate chain modification. These processing steps generate multiple Glypican-3 species that may differ in apparent molecular size and biological activity. Use of a Glypican-3 antibody enables investigation of these processing events and their relationship to tumor-associated signaling changes. In tissue sections, Glypican-3 is typically detected at the cell surface and within the cytoplasm, reflecting biosynthetic trafficking and membrane localization dynamics.

From a research and diagnostic perspective, Glypican-3 has become one of the most extensively studied biomarkers in liver cancer biology. GPC3 antibody staining is commonly used to distinguish hepatocellular carcinoma from benign hepatic lesions and metastatic tumors in experimental and translational studies. In addition, Glypican-3 has attracted interest as a therapeutic target, further increasing the importance of well-characterized antibodies for mechanistic and preclinical research.

Clone GPC3/12698 is designed to recognize Glypican-3 and supports detection of this oncofetal proteoglycan in research applications. NSJ Bioreagents offers this GPC3 antibody to support investigations into liver cancer biology, developmental signaling pathways, and cell surface proteoglycan function.

Application Notes

Optimal dilution of the GPC3/Glypican-3 antibody should be determined by the researcher.

Immunogen

A recombinant fragment (around amino acids 32-170) of human GPC3 protein (exact sequence is proprietary) was used as the immunogen for the GPC3/Glypican-3 antibody.

Storage

GPC3/Glypican-3 antibody with sodium azide - store at 2 to 8oC; antibody without sodium azide - store at -20 to -80oC.

Cross
Bulk Quote Request Form
Name*:
Organization*:
Email*:
Phone Number*:
Catalog No.*:
Comments and Specifics(amount, formulation, etc.)*:
Validation code: Captchapackage Image


Can't read the image? click here to refresh.
    *required field

Your bulk quote request has been submitted successfully!

Please contact us if you have any questions.