• Tel: 858.663.9055
  • SeparatorEmail: info@nsjbio.com
  • Tel: 858.663.9055
  • Email: info@nsjbio.com
Home >> Antibodies >> GPANK1 Antibody / BAT4

GPANK1 Antibody / BAT4 (F54995)

  Catalog No Formulation Size Price (USD)  
Image F54995-0.4ML In 1X PBS, pH 7.4, with 0.09% sodium azide 0.4 ml 439
Image
F54995-0.08ML In 1X PBS, pH 7.4, with 0.09% sodium azide 0.08 ml 205
Bulk quote request
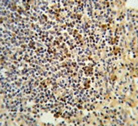
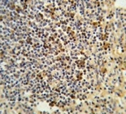
IHC testing of FFPE human spleen tissue with GPANK1 antibody. HIER: steam section in pH6 citrate buffer for 20 min and allow to cool prior to staining.
Western blot testing of mouse spleen tissue lysate with GPANK1 antibody. Predicted molecular weight ~39 kDa.
Western blot testing of 1) non-transfected and 2) transfected 293 cell lysate with GPANK1 antibody.
Flow cytometry testing of human CCRF-CEM cells with GPANK1 antibody; Blue=isotype control, Green= GPANK1 antibody.
Availability 1-3 business days
Species Reactivity Human
Format Purified
Host Rabbit
Clonality Polyclonal (rabbit origin)
Isotype Rabbit Ig
Purity Antigen affinity purified
UniProt O95872
Applications Western Blot : 1:500-1:1000
Flow Cytometry : 1:10-1:50 (1x10e6 cells)
Immunohistochemistry (FFPE) : 1:50-1:100
Limitations This GPANK1 antibody is available for research use only.
Review this product on BioCompare and get a $20 Amazon gift card

Description

BAT4 / GPANK1 is thought to be involved in some aspects of immunity.

Application Notes

The stated application concentrations are suggested starting points. Titration of the GPANK1 antibody may be required due to differences in protocols and secondary/substrate sensitivity.

Immunogen

A portion of amino acids 275-302 from the human protein was used as the immunogen for the GPANK1 antibody.

Storage

Aliquot the GPANK1 antibody and store frozen at -20oC or colder. Avoid repeated freeze-thaw cycles.

Cross
Bulk Quote Request Form
Name*:
Organization*:
Email*:
Phone Number*:
Catalog No.*:
Comments and Specifics(amount, formulation, etc.)*:
Validation code: Captchapackage Image


Can't read the image? click here to refresh.
    *required field

Your bulk quote request has been submitted successfully!

Please contact us if you have any questions.