- Tel: 858.663.9055
- 
									 Email: info@nsjbio.com Email: info@nsjbio.com
- Tel: 858.663.9055
- Email: info@nsjbio.com
 Email: info@nsjbio.com
Email: info@nsjbio.com
								Related Products
| 
 | 
gp100, also known as PMEL17 or Melanoma gp100, is a melanocyte-specific transmembrane glycoprotein that plays a central role in melanosome formation and pigmentation. It is a structural component of premelanosomes, where it contributes to the formation of fibrillar matrices that serve as scaffolds for melanin deposition. Researchers frequently use a gp100 antibody to investigate melanocyte biology, pigmentation pathways, and melanoma progression.
As a lineage-specific marker, gp100 is highly expressed in melanocytes and melanoma cells, making it a valuable biomarker for diagnostic and research applications. It has been widely employed in immunohistochemistry for the detection of melanocytic lesions, where a gp100 antibody helps distinguish melanoma from other tumor types. Because of its restricted expression pattern, gp100 is also a prominent target in immunotherapy, particularly in vaccine and T-cell-based strategies designed to target melanoma cells.
Beyond oncology, gp100 contributes to the understanding of pigmentation disorders and normal melanosome biology. It is required for the proper maturation of melanosomes and has been studied in conditions affecting skin, hair, and eye pigmentation. Using a gp100 antibody allows researchers to track expression, localization, and function of this protein in both developmental and disease contexts.
NSJ Bioreagents offers a high-quality gp100 antibody validated for applications including immunohistochemistry, western blot, and flow cytometry. Selecting a gp100 antibody from NSJ Bioreagents ensures reliable performance and reproducible results in studies of melanoma, pigmentation, and immunotherapy.
The optimal dilution of the gp100 antibody for each application should be determined by the researcher.
1. Staining of formalin-fixed tissues requires boiling tissue sections in pH 9 10mM Tris with 1mM EDTA for 10-20 min followed by cooling at RT for 20 minutes.
2. The prediluted format is supplied in a dropper bottle and is optimized for use in IHC. After epitope retrieval step (if required), drip mAb solution onto the tissue section and incubate at RT for 30 min.
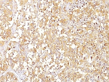
Extract of pigmented melanoma metastases from lymph nodes was used as the immunogen for this gp100 antibody.
Store the gp100 antibody at 2-8oC (with azide) or aliquot and store at -20oC or colder (without azide).
 
Your bulk quote request has been submitted successfully!
Please contact us if you have any questions.