• Tel: 858.663.9055
  • SeparatorEmail: info@nsjbio.com
  • Tel: 858.663.9055
  • Email: info@nsjbio.com
Home >> Antibodies >> Golgin 97 Antibody / GOLGA1

Golgin 97 Antibody / GOLGA1 (RQ6639)

  Catalog No Formulation Size Price (USD)  
Image RQ6639 0.5mg/ml if reconstituted with 0.2ml sterile DI water 100 ug 449
Bulk quote request
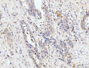
IHC staining of FFPE human breast cancer tissue with Golgin 97 antibody. HIER: boil tissue sections in pH8 EDTA for 20 min and allow to cool before testing.
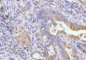
IHC staining of FFPE human colonic adenocarcinoma tissue with Golgin 97 antibody. HIER: boil tissue sections in pH8 EDTA for 20 min and allow to cool before testing.
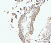
IHC staining of FFPE human gall bladder adenosquamous carcinoma tissue with Golgin 97 antibody. HIER: boil tissue sections in pH8 EDTA for 20 min and allow to cool before testing.
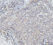
IHC staining of FFPE human appendiceal adenocarcinoma tissue with Golgin 97 antibody. HIER: boil tissue sections in pH8 EDTA for 20 min and allow to cool before testing.
IHC staining of FFPE human lung cancer tissue with Golgin 97 antibody. HIER: boil tissue sections in pH8 EDTA for 20 min and allow to cool before testing.
Immunofluorescent staining of FFPE human SiHa cells with Golgin 97 antibody (green) and DAPI nuclear stain (blue). HIER: steam section in pH6 citrate buffer for 20 min.
Western blot testing of 1) human HepG2, 2) human T-47D, 3) human HACAT, 4) rat testis and 5) mouse testis tissue lysate with Golgin 97 antibody. Expected molecular weight: 88-97 kDa.
Flow cytometry testing of human JK-1 cells with Golgin 97 antibody at 1ug/million cells (blocked with goat sera); Red=cells alone, Green=isotype control, Blue= Golgin 97 antibody.
Availability 1-3 business days
Species Reactivity Human, Mouse, Rat
Format Antigen affinity purified
Host Rabbit
Clonality Polyclonal (rabbit origin)
Isotype Rabbit IgG
Purity Antigen affinity purified
Buffer Lyophilized from 1X PBS with 2% Trehalose
UniProt Q92805
Localization Cytoplasmic (Golgi)
Applications Western Blot : 1-2ug/ml
Immunohistochemistry (FFPE) : 2-5ug/ml
Flow Cytometry : 1-3ug/million cells
Immunofluorescence : 5ug/ml
Direct ELISA : 0.1-0.5ug/ml
Limitations This Golgin 97 antibody is available for research use only.
Review this product on BioCompare and get a $20 Amazon gift card

Related Products

Description

Golgin subfamily A member 1 is a protein that in humans is encoded by the GOLGA1 gene. The Golgi apparatus, which participates in glycosylation and transport of proteins and lipids in the secretory pathway, consists of a series of stacked cisternae (flattened membrane sacs). Interactions between the Golgi and microtubules are thought to be important for the reorganization of the Golgi after it fragments during mitosis. This gene encodes one of the golgins, a family of proteins localized to the Golgi. This encoded protein is associated with Sjogren's syndrome.

Application Notes

Optimal dilution of the Golgin 97 antibody should be determined by the researcher.

Immunogen

Recombinant human protein (amino acids M1-K752) was used as the immunogen for the Golgin 97 antibody.

Storage

After reconstitution, the Golgin 97 antibody can be stored for up to one month at 4oC. For long-term, aliquot and store at -20oC. Avoid repeated freezing and thawing.

Cross
Bulk Quote Request Form
Name*:
Organization*:
Email*:
Phone Number*:
Catalog No.*:
Comments and Specifics(amount, formulation, etc.)*:
Validation code: Captchapackage Image


Can't read the image? click here to refresh.
    *required field

Your bulk quote request has been submitted successfully!

Please contact us if you have any questions.