• Tel: 858.663.9055
  • SeparatorEmail: info@nsjbio.com
  • Tel: 858.663.9055
  • Email: info@nsjbio.com
Home >> Antibodies >> GNG2 Antibody

GNG2 Antibody (RQ6129)

  Catalog No Formulation Size Price (USD)  
Image RQ6129 0.5mg/ml if reconstituted with 0.2ml sterile DI water 100 ug 449
Bulk quote request
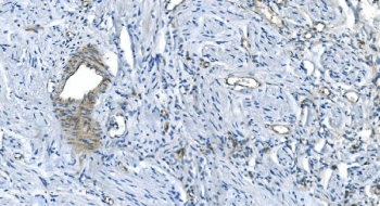
IHC staining of FFPE human lung cancer with GNG2 antibody. HIER: boil tissue sections in pH8 EDTA for 20 min and allow to cool before testing.
IHC staining of FFPE human appendicitis tissue with GNG2 antibody. HIER: boil tissue sections in pH8 EDTA for 20 min and allow to cool before testing.
IHC staining of FFPE human ovarian cancer with GNG2 antibody. HIER: boil tissue sections in pH8 EDTA for 20 min and allow to cool before testing.
IHC staining of FFPE human bladder cancer with GNG2 antibody. HIER: boil tissue sections in pH8 EDTA for 20 min and allow to cool before testing.
IHC staining of FFPE human renal carcinoma with GNG2 antibody. HIER: boil tissue sections in pH8 EDTA for 20 min and allow to cool before testing.
IHC staining of FFPE human placenta with GNG2 antibody. HIER: boil tissue sections in pH8 EDTA for 20 min and allow to cool before testing.
Western blot testing of human 1) placenta, 2) Jurkat, 3) SH-SY5Y, 4) U-87 MG, 5) PC-3, 6) HL60, 7) rat brain, 8) rat C6 and 9) mouse brain lysate with GNG2 antibody. Predicted molecular weight ~12 kDa.
Flow cytometry testing of human U-87 MG cells with GNG2 antibody at 1ug/million cells (blocked with goat sera); Red=cells alone, Green=isotype control, Blue= GNG2 antibody.
Flow cytometry testing of mouse HEPA1-6 cells with GNG2 antibody at 1ug/million cells (blocked with goat sera); Red=cells alone, Green=isotype control, Blue= GNG2 antibody.
Availability 1-3 business days
Species Reactivity Human, Mouse, Rat
Format Antigen affinity purified
Host Rabbit
Clonality Polyclonal (rabbit origin)
Isotype Rabbit IgG
Purity Affinity purified
Buffer Lyophilized from 1X PBS with 2% Trehalose and 0.025% sodium azide
UniProt P59768
Applications Western Blot : 1-2ug/ml
Immunohistochemistry (FFPE) : 2-5ug/ml
Flow Cytometry : 1-3ug/million cells
Direct ELISA : 0.1-0.5ug/ml
Limitations This GNG2 antibody is available for research use only.
Review this product on BioCompare and get a $20 Amazon gift card

Related Products

  • Applications : WB, IHC-P
    Reactivity : Human, Mouse
    Pred. Reactivity : Bovine

Description

Guanine nucleotide-binding protein G(I)/G(S)/G(O) subunit gamma-2 is a protein that in humans is encoded by the GNG2 gene. This gene encodes one of the gamma subunits of a guanine nucleotide-binding protein. Such proteins are involved in signaling mechanisms across membranes. Various subunits forms heterodimers which then interact with the different signal molecules.

Application Notes

Optimal dilution of the GNG2 antibody should be determined by the researcher.

Immunogen

A human recombinant partial protein (amino acids A2-D48) was used as the immunogen for the GNG2 antibody.

Storage

After reconstitution, the GNG2 antibody can be stored for up to one month at 4oC. For long-term, aliquot and store at -20oC. Avoid repeated freezing and thawing.

Cross
Bulk Quote Request Form
Name*:
Organization*:
Email*:
Phone Number*:
Catalog No.*:
Comments and Specifics(amount, formulation, etc.)*:
Validation code: Captchapackage Image


Can't read the image? click here to refresh.
    *required field

Your bulk quote request has been submitted successfully!

Please contact us if you have any questions.