• Tel: 858.663.9055
  • SeparatorEmail: info@nsjbio.com
  • Tel: 858.663.9055
  • Email: info@nsjbio.com
Home >> Antibodies >> GNAQ Antibody / Guanine nucleotide binding protein Gq subunit alpha

GNAQ Antibody / Guanine nucleotide binding protein Gq subunit alpha [clone 13H4] (FY13427)

  Catalog No Formulation Size Price (USD)  
Image FY13427 0.5mg/ml if reconstituted with 0.2ml sterile DI water 100 ug 449
Bulk quote request
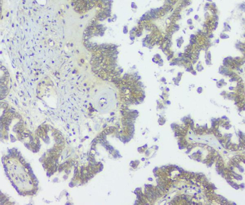
Immunohistochemical staining of FFPE human ovarian cancer tissue using GNAQ antibody, HRP-secondary and DAB substrate. HIER: boil tissue sections in pH8 EDTA for 20 min and allow to cool before testing. Guanine nucleotide binding protein Gq subunit alpha shows cytoplasmic staining in tumor epithelial cells, with comparatively lower signal in surrounding stromal regions.
Immunohistochemical staining of FFPE human ovarian cancer tissue using GNAQ antibody, HRP-secondary and DAB substrate. HIER: boil tissue sections in pH8 EDTA for 20 min and allow to cool before testing. Guanine nucleotide binding protein Gq subunit alpha is detected with diffuse cytoplasmic staining across malignant glandular structures, while adjacent non-neoplastic tissue shows reduced signal intensity.
Immunohistochemical staining of FFPE mouse testis tissue with GNAQ antibody, HRP-secondary and DAB substrate. HIER: boil tissue sections in pH8 EDTA for 20 min and allow to cool before testing.
Western blot analysis of GNAQ using anti-GNAQ antibody. Samples include human Jurkat, HeLa, A549, A431, MCF-7, K562, and monkey COS7 cell lysates, as well as rat brain tissue lysate, rat lung tissue lysate, mouse brain tissue lysate, and mouse lung tissue lysate. Guanine nucleotide binding protein Gq subunit alpha has a predicted molecular weight of approximately 42 kDa and is observed as a primary band at approximately 42 kDa across all samples. In some lysates, GNAQ appears as a closely spaced doublet, which can be attributed to differential post-translational modifications such as phosphorylation or variable lipid modification states that alter electrophoretic mobility without changing core protein size.
Flow cytometry analysis of fixed and permeabilized human U-2 OS cells with GNAQ antibody at 1ug/million cells (blocked with goat sera); Red=cells alone, Green=isotype control, Blue= GNAQ antibody.
Availability 1-2 days
Species Reactivity Human, Mouse, Rat, Monkey
Format Purified
Host Mouse
Clonality Monoclonal (mouse origin)
Isotype Mouse IgG2b
Clone Name 13H4
Purity Purified
Buffer Lyophilized from 1X PBS with 2% Trehalose and 0.025% sodium azide
UniProt P50148
Localization Nucleus, Cytoplasm (Golgi), Cell membrane
Applications Western Blot : 0.5-1ug/ml
Immunohistochemistry (FFPE) : 1-2ug/ml
Flow Cytometry : 1-3ug/million cells
Limitations This GNAQ antibody is available for research use only.
Review this product on BioCompare and get a $20 Amazon gift card

Related Products

Description

GNAQ Antibody targets Guanine nucleotide binding protein Gq subunit alpha, a heterotrimeric G protein alpha subunit encoded by the GNAQ gene. GNAQ is a member of the Gq family of G proteins that couple activated G protein-coupled receptors to downstream intracellular signaling pathways. Upon receptor stimulation, GNAQ exchanges GDP for GTP and dissociates from the beta-gamma complex, allowing it to activate effector enzymes that regulate second messenger production. This signaling mechanism plays a central role in transducing extracellular cues into coordinated cellular responses.

Guanine nucleotide binding protein Gq subunit alpha primarily functions by activating phospholipase C beta isoforms. Activation of phospholipase C beta leads to hydrolysis of phosphatidylinositol 4,5-bisphosphate, generating inositol 1,4,5-trisphosphate and diacylglycerol. These second messengers promote intracellular calcium release and activation of protein kinase C, respectively. Through this pathway, GNAQ influences diverse biological processes including cell proliferation, differentiation, secretion, and cytoskeletal dynamics. A short functional summary is that GNAQ serves as a molecular switch linking receptor activation to calcium-dependent and protein kinase C-mediated signaling cascades.

GNAQ is broadly expressed across many tissues and cell types, reflecting its involvement in multiple physiological systems. It is found in epithelial cells, endothelial cells, immune cells, and neurons, with localization predominantly at the cytoplasmic face of the plasma membrane where G protein-coupled receptors reside. Expression and activity of GNAQ are dynamically regulated in response to extracellular ligands such as hormones, neurotransmitters, and growth factors, enabling precise control of signal amplitude and duration.

From a disease relevance perspective, dysregulation of GNAQ signaling has been associated with several pathological conditions. Somatic activating mutations in GNAQ have been identified in uveal melanoma and other vascular and melanocytic disorders, where constitutive activation of downstream signaling promotes abnormal cell growth and survival. Altered GNAQ-mediated signaling has also been examined in cardiovascular disease, inflammatory responses, and neurological signaling pathways. These findings underscore the importance of tightly regulated GNAQ activity for maintaining cellular homeostasis.

A GNAQ Antibody is a useful research tool for detecting guanine nucleotide binding protein Gq subunit alpha expression and studying its regulation in cellular and tissue-based systems. Detection of GNAQ supports investigations into G protein-coupled receptor signaling, calcium-mediated signal transduction, and disease-associated alterations in Gq pathway activity. This antibody targets guanine nucleotide binding protein Gq subunit alpha for use in research applications focused on signal transduction and cell communication biology.

Application Notes

Optimal dilution of the GNAQ antibody should be determined by the researcher.

Immunogen

Amino acids KYEHNKAHAQLVREVDVEKVSAFENPYVDAIKSLWND from the human protein were used as the immunogen for the GNAQ antibody.

Storage

After reconstitution, the GNAQ antibody can be stored for up to one month at 4oC. For long-term, aliquot and store at -20oC. Avoid repeated freezing and thawing.

Cross
Bulk Quote Request Form
Name*:
Organization*:
Email*:
Phone Number*:
Catalog No.*:
Comments and Specifics(amount, formulation, etc.)*:
Validation code: Captchapackage Image


Can't read the image? click here to refresh.
    *required field

Your bulk quote request has been submitted successfully!

Please contact us if you have any questions.