• Tel: 858.663.9055
  • SeparatorEmail: info@nsjbio.com
  • Tel: 858.663.9055
  • Email: info@nsjbio.com
Home >> Antibodies >> GNAI2 Antibody / Guanine nucleotide-binding protein alpha-2

GNAI2 Antibody / Guanine nucleotide-binding protein alpha-2 (FY12740)

  Catalog No Formulation Size Price (USD)  
Image FY12740 Adding 0.2 ml of distilled water will yield a concentration of 500 ug/ml 100 ug 449
Bulk quote request
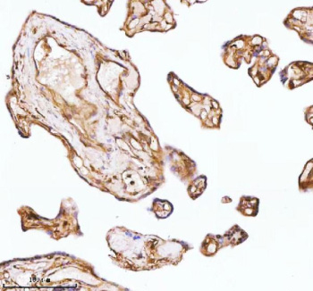
Immunohistochemical staining of GNAI2 using anti-GNAI2 antibody. GNAI2 was detected in a paraffin-embedded section of human placenta tissue. Heat mediated antigen retrieval was performed in EDTA buffer (pH 8.0, epitope retrieval solution). The tissue section was blocked with 10% goat serum. The tissue section was then incubated with 2 ug/ml rabbit anti-GNAI2 antibody overnight at 4oC. Peroxidase Conjugated Goat Anti-rabbit IgG was used as secondary antibody and incubated for 30 minutes at 37oC. The tissue section was developed using an HRP secondary and DAB substrate.
Western blot analysis of GNAI2 using anti-GNAI2 antibody. Lane 1: human U-87MG whole cell lysates, Lane 2: human HEL whole cell lysates. After electrophoresis, proteins were transferred to a nitrocellulose membrane at 150 mA for 50-90 minutes. Blocked the membrane with 5% non-fat milk/TBS for 1.5 hour at RT. The membrane was incubated with rabbit anti-GNAI2 antibody at 0.25 ug/ml overnight at 4oC, then washed with TBS-0.1%Tween 3 times with 5 minutes each and probed with a goat anti-rabbit IgG-HRP secondary antibody at a dilution of 1:5000 for 1.5 hour at RT. The signal was developed using enhanced chemiluminescent. A specific band was detected for GNAI2 at approximately 40 kDa. The expected molecular weight of GNAI2 is ~40 kDa.
Immunohistochemical staining of GNAI2 using anti-GNAI2 antibody. GNAI2 was detected in a paraffin-embedded section of human liver cancer tissue. Heat mediated antigen retrieval was performed in EDTA buffer (pH 8.0, epitope retrieval solution). The tissue section was blocked with 10% goat serum. The tissue section was then incubated with 2 ug/ml rabbit anti-GNAI2 antibody overnight at 4oC. Peroxidase Conjugated Goat Anti-rabbit IgG was used as secondary antibody and incubated for 30 minutes at 37oC. The tissue section was developed using an HRP secondary and DAB substrate.
Immunohistochemical staining of GNAI2 using anti-GNAI2 antibody. GNAI2 was detected in a paraffin-embedded section of human endometrioid adenocarcinoma tissue. Heat mediated antigen retrieval was performed in EDTA buffer (pH 8.0, epitope retrieval solution). The tissue section was blocked with 10% goat serum. The tissue section was then incubated with 2 ug/ml rabbit anti-GNAI2 antibody overnight at 4oC. Peroxidase Conjugated Goat Anti-rabbit IgG was used as secondary antibody and incubated for 30 minutes at 37oC. The tissue section was developed using an HRP secondary and DAB substrate.
Immunohistochemical staining of GNAI2 using anti-GNAI2 antibody. GNAI2 was detected in a paraffin-embedded section of mouse brain tissue. Heat mediated antigen retrieval was performed in EDTA buffer (pH 8.0, epitope retrieval solution). The tissue section was blocked with 10% goat serum. The tissue section was then incubated with 2 ug/ml rabbit anti-GNAI2 antibody overnight at 4oC. Peroxidase Conjugated Goat Anti-rabbit IgG was used as secondary antibody and incubated for 30 minutes at 37oC. The tissue section was developed using an HRP secondary and DAB substrate.
Immunohistochemical staining of GNAI2 using anti-GNAI2 antibody. GNAI2 was detected in a paraffin-embedded section of rat brain tissue. Heat mediated antigen retrieval was performed in EDTA buffer (pH 8.0, epitope retrieval solution). The tissue section was blocked with 10% goat serum. The tissue section was then incubated with 2 ug/ml rabbit anti-GNAI2 antibody overnight at 4oC. Peroxidase Conjugated Goat Anti-rabbit IgG was used as secondary antibody and incubated for 30 minutes at 37oC. The tissue section was developed using an HRP secondary and DAB substrate.
Immunohistochemical staining of GNAI2 using anti-GNAI2 antibody. GNAI2 was detected in a paraffin-embedded section of rat brain tissue. Heat mediated antigen retrieval was performed in EDTA buffer (pH 8.0, epitope retrieval solution). The tissue section was blocked with 10% goat serum. The tissue section was then incubated with 2 ug/ml rabbit anti-GNAI2 antibody overnight at 4oC. Peroxidase Conjugated Goat Anti-rabbit IgG was used as secondary antibody and incubated for 30 minutes at 37oC. The tissue section was developed using an HRP secondary and DAB substrate.
Immunofluorescent staining of GNAI2 using anti-GNAI2 antibody (red). GNAI2 was detected in an immunocytochemical section of HELA cells. Enzyme antigen retrieval was performed using IHC enzyme antigen retrieval reagent for 15 mins. The cells were blocked with 10% goat serum. And then incubated with 5 ug/ml rabbit anti-GNAI2 antibody overnight at 4oC. Cy3 Conjugated Goat Anti-Rabbit IgG was used as secondary antibody at 1:500 dilution and incubated for 30 minutes at 37oC. The section was counterstained with DAPI nuclear stain (blue). Visualize using a fluorescence microscope and filter sets appropriate for the label used.
Flow Cytometry analysis of HEL cells using anti-GNAI2 antibody. Overlay histogram showing HEL cells stained with (Blue line). To facilitate intracellular staining, cells were fixed with 4% paraformaldehyde and permeabilized with permeabilization buffer. The cells were blocked with 10% normal goat serum. And then incubated with rabbit anti-GNAI2 antibody (1 ug/million cells) for 30 min at 20oC. DyLight 488 conjugated goat anti-rabbit IgG (5-10 ug/million cells) was used as secondary antibody for 30 minutes at 20oC. Isotype control antibody (Green line) was rabbit IgG (1 ug/million cells) used under the same conditions. Unlabelled sample (Red line) was also used as a control.
Availability 1-2 days
Species Reactivity Human, Mouse, Rat
Format Lyophilized
Host Rabbit
Clonality Polyclonal (rabbit origin)
Isotype Rabbit IgG
Purity Immunogen affinity purified
Buffer Each vial contains 4 mg Trehalose, 0.9 mg NaCl, 0.2 mg Na2HPO4.
UniProt P04899
Localization Cytoplasm, cell membrane
Applications Western Blot : 0.25-0.5ug/ml
Immunohistochemistry : 2-5ug/ml
Immunocytochemistry : 5ug/ml
Immunofluorescence : 5ug/ml
Flow Cytometry : 1-3ug/million cells
ELISA : 0.1-0.5ug/ml
Limitations This GNAI2 antibody is available for research use only.
Review this product on BioCompare and get a $20 Amazon gift card

Related Products

Description

GNAI2 antibody detects Guanine nucleotide-binding protein G(i) subunit alpha-2, a critical component of heterotrimeric G proteins that mediate signal transduction between G protein-coupled receptors (GPCRs) and intracellular effectors. Encoded by the GNAI2 gene on chromosome 3p21.31, this protein belongs to the G alpha inhibitory (Galphai) family, which suppresses adenylyl cyclase activity and thereby reduces cyclic AMP (cAMP) production. GNAI2 acts as a molecular switch, cycling between active GTP-bound and inactive GDP-bound forms to control pathways regulating cell growth, motility, and differentiation.

GNAI2 is widely expressed in most tissues, including brain, heart, and immune cells, where it plays diverse physiological roles. Upon receptor activation, GNAI2 dissociates from the G beta gamma subunits, allowing each component to activate distinct downstream signaling molecules. Through this mechanism, GNAI2 influences pathways controlling calcium mobilization, ion channel regulation, and MAPK activation. It is particularly important in immune cells, where it mediates chemokine-induced migration and adhesion, and in the nervous system, where it modulates neurotransmitter signaling.

The GNAI2 antibody is widely used in signal transduction, cardiovascular, and neurobiology research. Western blot analysis typically detects a 40 kilodalton band corresponding to the alpha subunit, while immunofluorescence reveals cytoplasmic and membrane localization. In cancer research, altered expression of GNAI2 has been linked to cell proliferation, epithelial-mesenchymal transition, and metastasis. Overexpression or constitutive activation of GNAI2 can promote oncogenic signaling, whereas loss-of-function mutations may disrupt normal G protein signaling dynamics.

Mechanistically, GNAI2 regulates adenylyl cyclase inhibition, phosphatidylinositol 3-kinase (PI3K) activation, and small GTPase modulation. It also interacts with receptor kinases and scaffolding proteins to fine-tune receptor responsiveness. Dysregulation of GNAI2 signaling contributes to cardiovascular dysfunction, immune dysregulation, and tumorigenesis. The GNAI2 antibody enables detailed study of these pathways, supporting analyses of GPCR signaling fidelity and receptor desensitization mechanisms. NSJ Bioreagents provides this antibody validated for its applications, ensuring consistent performance in diverse experimental systems.

Application Notes

Optimal dilution of the GNAI2 antibody should be determined by the researcher.

Immunogen

E.coli-derived human GNAI2 recombinant protein (Position: R67-N312) was used as the immunogen for the GNAI2 antibody.

Storage

After reconstitution, the GNAI2 antibody can be stored for up to one month at 4oC. For long-term, aliquot and store at -20oC. Avoid repeated freezing and thawing.

Cross
Bulk Quote Request Form
Name*:
Organization*:
Email*:
Phone Number*:
Catalog No.*:
Comments and Specifics(amount, formulation, etc.)*:
Validation code: Captchapackage Image


Can't read the image? click here to refresh.
    *required field

Your bulk quote request has been submitted successfully!

Please contact us if you have any questions.