• Tel: 858.663.9055
  • SeparatorEmail: info@nsjbio.com
  • Tel: 858.663.9055
  • Email: info@nsjbio.com
Home >> Antibodies >> GM2A Antibody

GM2A Antibody (R34625)

  Catalog No Formulation Size Price (USD)  
Image R34625-100UG 0.5 mg/ml in 1X TBS, pH7.3, with 0.5% BSA (US sourced) and 0.02% sodium azide 100 ug 475
Bulk quote request
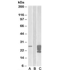
Western blot of HEK293 lysate overexpressing human GM2A-FLAG probed with GMA2 antibody (1ug/ml) in Lane A and anti-FLAG (1/30000) in lane C. Mock-transfected HEK293 probed with GMA2 antibody (1ug/ml) in Lane B. Predicted molecular weight ~22kDa.
Western blot of rat kidney lysate with GM2A antibody at 0.3ug/ml. Predicted molecular weight ~22kDa.
Availability 1-3 business days
Species Reactivity Human, Rat
Predicted Reactivity Dog, Mouse
Format Antigen affinity purified
Host Goat
Clonality Polyclonal (goat origin)
Isotype Goat Ig
Purity Antigen affinity
Gene ID 2760
Applications Western Blot : 1-3ug/ml
ELISA (peptide) LOD : 1:4000
Limitations This GM2A antibody is available for research use only.
Review this product on BioCompare and get a $20 Amazon gift card

Related Products

  • Applications : WB, ELISA (peptide)
    Reactivity : Human, Rat
    Pred. Reactivity : Mouse, Rabbit

Description

Additional name(s) for this target protein: GM2 ganglioside activator, sphingolipid activator protein 3, SAP-3

Application Notes

Optimal dilution of the GM2A antibody should be determined by the researcher.

1. This GM2A antibody is specific for isoform 1.

Immunogen

Amino acids KRLGCIKIAAS were used as the immunogen for this GM2A antibody.

Storage

Aliquot and store the GM2A antibody at -20oC.

Cross
Bulk Quote Request Form
Name*:
Organization*:
Email*:
Phone Number*:
Catalog No.*:
Comments and Specifics(amount, formulation, etc.)*:
Validation code: Captchapackage Image


Can't read the image? click here to refresh.
    *required field

Your bulk quote request has been submitted successfully!

Please contact us if you have any questions.