• Tel: 858.663.9055
  • SeparatorEmail: info@nsjbio.com
  • Tel: 858.663.9055
  • Email: info@nsjbio.com
Home >> Antibodies >> GM130 Antibody / GOLGA2

GM130 Antibody / GOLGA2 (RQ4570)

  Catalog No Formulation Size Price (USD)  
Image RQ4570 0.5mg/ml if reconstituted with 0.2ml sterile DI water 100 ug 449
Bulk quote request
Immunofluorescent staining of FFPE human U-2 OS cells with GM130 antibody (green) and DAPI nuclear stain (blue). HIER: steam section in pH6 citrate buffer for 20 min.
IHC staining of FFPE human esophagus squama cancer with GM130 antibody at 0.5ug/ml. HIER: boil tissue sections in pH6, 10mM citrate buffer, for 10-20 min followed by cooling at RT for 20 min.
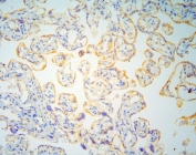
IHC staining of FFPE human placenta with GM130 antibody at 0.5ug/ml. HIER: boil tissue sections in pH6, 10mM citrate buffer, for 10-20 min followed by cooling at RT for 20 min.
IHC staining of FFPE human tonsil with GM130 antibody at 0.5ug/ml. HIER: boil tissue sections in pH6, 10mM citrate buffer, for 10-20 min followed by cooling at RT for 20 min.
IHC staining of frozen human placental tissue with GM130 antibody.
Western blot testing of human 1) placenta, 2) A549, 3) K562, 4) HL-60, 5) MCF-7 and 6) Caco-2 cell lysate with GM130 antibody at 0.5ug/ml. Predicted molecular weight ~130 kDa.
Flow cytometry testing of human PC-3 cells with GM130 antibody at 1ug/10^6 cells (blocked with goat sera); Red=cells alone, Green=isotype control, Blue= GM130 antibody.
Flow cytometry testing of human U-2 OS cells with GM130 antibody at 1ug/10^6 cells (blocked with goat sera); Red=cells alone, Green=isotype control, Blue= GM130 antibody.
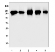
Western blot testing of human 1) HEK293, 2) Jurkat, 3) HeLa, 4) U-87 MG and 5) PC-3 cell lysate with GM130 antibody at 0.5ug/ml. Predicted molecular weight ~130 kDa.
Availability 1-3 business days
Species Reactivity Human
Format Antigen affinity purified
Host Rabbit
Clonality Polyclonal (rabbit origin)
Isotype Rabbit IgG
Purity Antigen affinity purified
Buffer Lyophilized from 1X PBS with 2% Trehalose and 0.025% sodium azide
UniProt Q08379
Localization Cytoplasmic
Applications Western Blot : 0.5-1ug/ml
Immunohistochemistry (FFPE & Frozen) : 1-2ug/ml
Immunofluorescence : 2-5ug/ml
Flow Cytometry : 1-3ug/million cells
Direct ELISA : 0.1-0.5ug/ml (recombinant human protein)
Limitations This GM130 antibody is available for research use only.
Review this product on BioCompare and get a $20 Amazon gift card

Related Products

Description

Golgin subfamily A member 2 is a protein that in humans is encoded by the GOLGA2 gene. The Golgi apparatus, which participates in glycosylation and transport of proteins and lipids in the secretory pathway, consists of a series of stacked cisternae (flattened membrane sacs). Interactions between the Golgi and microtubules are thought to be important for the reorganization of the Golgi after it fragments during mitosis. This gene encodes one of the golgins, a family of proteins localized to the Golgi. This encoded protein has been postulated to play roles in the stacking of Golgi cisternae and in vesicular transport. Several alternatively spliced transcript variants of this gene have been described, but the full-length nature of these variants has not been determined.

Application Notes

Optimal dilution of the GM130 antibody should be determined by the researcher.

Immunogen

Amino acids E796-E913 from the human protein were used as the immunogen for the GM130 antibody.

Storage

After reconstitution, the GM130 antibody can be stored for up to one month at 4oC. For long-term, aliquot and store at -20oC. Avoid repeated freezing and thawing.

Cross
Bulk Quote Request Form
Name*:
Organization*:
Email*:
Phone Number*:
Catalog No.*:
Comments and Specifics(amount, formulation, etc.)*:
Validation code: Captchapackage Image


Can't read the image? click here to refresh.
    *required field

Your bulk quote request has been submitted successfully!

Please contact us if you have any questions.