• Tel: 858.663.9055
  • SeparatorEmail: info@nsjbio.com
  • Tel: 858.663.9055
  • Email: info@nsjbio.com
Home >> Antibodies >> Glycerol kinase 2 Antibody

Glycerol kinase 2 Antibody (F40081)

  Catalog No Formulation Size Price (USD)  
Image F40081-0.4ML In 1X PBS, pH 7.4, with 0.09% sodium azide 0.4 ml 439
Image
F40081-0.08ML In 1X PBS, pH 7.4, with 0.09% sodium azide 0.08 ml 205
Bulk quote request
Glycerol kinase 2 antibody used in western blot to detect GK2 in Jurkat lysate
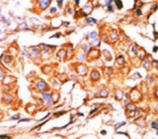
IHC analysis of FFPE human breast carcinoma stained with the Glycerol kinase 2 antibody
Availability 1-3 business days
Species Reactivity Human
Predicted Reactivity Bovine, Primate
Format Purified
Host Rabbit
Clonality Polyclonal (rabbit origin)
Isotype Rabbit Ig
Purity Purified
UniProt Q14410
Applications Western Blot : 1:1000
IHC (Paraffin) : 1:50-1:100
Limitations This Glycerol kinase 2 antibody is available for research use only.
Review this product on BioCompare and get a $20 Amazon gift card

Related Products

Description

The human glycerol kinase gene family consists of at least 3 expressed loci. The GK1 locus on Xp21.3 is the site of mutations (deletions) causing glycerol kinase deficiency. It comprises 19 exons and is probably ancestral to several other genes which, because they are intronless, are suspected of having arisen by reverse transcriptase mediated events. These include 2 genes on chromosome 4. They are expressed as a single mRNA species in testis where expression is at a high level.

Application Notes

Titration of the Glycerol kinase 2 antibody may be required due to differences in protocols and secondary/substrate sensitivity.

Immunogen

A portion of amino acids 487-515 from the human protein was used as the immunogen for this Glycerol kinase 2 antibody.

Storage

Aliquot the Glycerol kinase 2 antibody and store frozen at -20oC or colder. Avoid repeated freeze-thaw cycles.

Cross
Bulk Quote Request Form
Name*:
Organization*:
Email*:
Phone Number*:
Catalog No.*:
Comments and Specifics(amount, formulation, etc.)*:
Validation code: Captchapackage Image


Can't read the image? click here to refresh.
    *required field

Your bulk quote request has been submitted successfully!

Please contact us if you have any questions.