• Tel: 858.663.9055
  • SeparatorEmail: info@nsjbio.com
  • Tel: 858.663.9055
  • Email: info@nsjbio.com
Home >> Antibodies >> Glutathione Reductase Antibody / GSR

Glutathione Reductase Antibody / GSR (RQ4305)

  Catalog No Formulation Size Price (USD)  
Image RQ4305 0.5mg/ml if reconstituted with 0.2ml sterile DI water 100 ug 449
Bulk quote request
Western blot testing of human 1) HeLa, 2) HepG2, 3) A549 and 4) 22RV1 cell lysate with Glutathione Reductase antibody at 0.5ug/ml. Predicted molecular weight ~55 kDa.
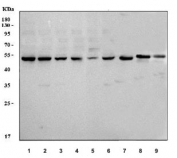
Western blot testing of rat 1) spleen, 2) lung, 3) liver, 4) kidney and mouse 5) spleen, 6) lung, 7) liver, 8) kidney and 9) testis lysate with Glutathione Reductase antibody at 0.5ug/ml. Predicted molecular weight ~55 kDa.
Western blot testing of 1) human HepG2, 2) human A549, 3) human MOLT4, 4) human RT4, 5) human Daudi, 6) human K562, 7) rat kidney, 8) mouse kidney and 9) mouse colon tissue lysate with Glutathione Reductase antibody. Predicted molecular weight ~55 kDa.
Immunofluorescent staining of FFPE human A549 cells with Glutathione Reductase antibody (red) and DAPI nuclear stain (blue). HIER: steam section in pH6 citrate buffer for 20 min.
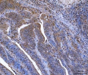
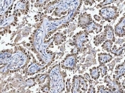
IHC staining of FFPE human rectal cancer tissue with Glutathione Reductase antibody. HIER: boil tissue sections in pH8 EDTA for 20 min and allow to cool before testing.
IHC staining of FFPE human tonsil tissue with Glutathione Reductase antibody. HIER: boil tissue sections in pH8 EDTA for 20 min and allow to cool before testing.
IHC staining of FFPE human thyroid cancer tissue with Glutathione Reductase antibody. HIER: boil tissue sections in pH8 EDTA for 20 min and allow to cool before testing.
IHC staining of FFPE human lung cancer tissue with Glutathione Reductase antibody. HIER: boil tissue sections in pH8 EDTA for 20 min and allow to cool before testing.
Flow cytometry testing of fixed and permeabilized human HL60 cells with Glutathione Reductase antibody at 1ug/10^6 cells (blocked with goat sera); Red=cells alone, Green=isotype control, Blue=Glutathione Reductase antibody.
Availability 1-3 business days
Species Reactivity Human, Mouse, Rat
Format Antigen affinity purified
Host Rabbit
Clonality Polyclonal (rabbit origin)
Isotype Rabbit IgG
Purity Antigen affinity purified
Buffer Lyophilized from 1X PBS with 2% Trehalose
UniProt P00390
Localization Cytoplasm
Applications Western Blot : 0.5-1ug/ml
Immunofluorescence (FFPE) : 5ug/ml
Immunohistochemistry (FFPE) : 2-5ug/ml
Flow Cytometry : 1-3ug/10^6 cells
Direct ELISA : 0.1-0.5ug/ml
Limitations This Glutathione Reductase antibody is available for research use only.
Review this product on BioCompare and get a $20 Amazon gift card

Related Products

Description

Glutathione reductase (GR), also known as glutathione-disulfide reductase (GSR), is an enzyme that in humans is encoded by the GSR gene. This gene encodes a member of the class-I pyridine nucleotide-disulfide oxidoreductase family. This enzyme is a homodimeric flavoprotein. It is a central enzyme of cellular antioxidant defense, and reduces oxidized glutathione disulfide (GSSG) to the sulfhydryl form GSH, which is an important cellular antioxidant. Rare mutations in this gene result in hereditary glutathione reductase deficiency. Multiple alternatively spliced transcript variants encoding different isoforms have been found.

Application Notes

Optimal dilution of the Glutathione Reductase antibody should be determined by the researcher.

Immunogen

A recombinant human protein corresponding to amino acids K256-R522 was used as the immunogen for the Glutathione Reductase antibody.

Storage

After reconstitution, the Glutathione Reductase antibody can be stored for up to one month at 4oC. For long-term, aliquot and store at -20oC. Avoid repeated freezing and thawing.

Cross
Bulk Quote Request Form
Name*:
Organization*:
Email*:
Phone Number*:
Catalog No.*:
Comments and Specifics(amount, formulation, etc.)*:
Validation code: Captchapackage Image


Can't read the image? click here to refresh.
    *required field

Your bulk quote request has been submitted successfully!

Please contact us if you have any questions.