• Tel: 858.663.9055
  • SeparatorEmail: info@nsjbio.com
  • Tel: 858.663.9055
  • Email: info@nsjbio.com
Home >> Antibodies >> Glutamine Synthetase Antibody Mouse Monoclonal / GLUL

Glutamine Synthetase Antibody Mouse Monoclonal / GLUL [clone GLUL/6600] (V8915)

  Catalog No Formulation Size Price (USD)  
Image V8915-100UG 0.2 mg/ml in 1X PBS with 0.1 mg/ml BSA (US sourced), 0.05% sodium azide 100 ug 559
Image
V8915-20UG 0.2 mg/ml in 1X PBS with 0.1 mg/ml BSA (US sourced), 0.05% sodium azide 20 ug 259
Image
V8915SAF-100UG 1 mg/ml in 1X PBS; BSA free, sodium azide free 100 ug 559
Bulk quote request
GLUL Antibody Multi-Tissue WB. Western blot analysis of human liver, mouse liver, rat liver, human brain, mouse brain, rat brain, and Y79 cell lysates using Glutamine synthetase Antibody mouse monoclonal clone GLUL/6600. A prominent band is detected at approximately 42-45 kDa across liver, brain, and Y79 samples, consistent with the predicted molecular weight of Glutamate-ammonia ligase / GLUL, an enzyme that catalyzes glutamine synthesis and plays a central role in nitrogen metabolism and neurotransmitter homeostasis. The broader and more intense signal observed in mouse liver lysate may reflect elevated GLUL expression and/or tissue-specific post-translational heterogeneity commonly observed in metabolically active hepatic tissue.
Western blot testing of human Y79 cell lysate using Glutamine Synthetase antibody (clone GLUL/6600). Predicted molecular weight ~42 kDa.
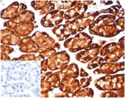
Immunohistochemistry of Glutamine Synthetase Antibody Mouse Monoclonal in human stomach tissue. Formalin-fixed, paraffin-embedded human gastric mucosa demonstrates strong cytoplasmic HRP-DAB brown staining in glandular epithelial cells consistent with Glutamate-ammonia ligase (GLUL) expression. Adjacent stromal components show comparatively weaker staining. The antibody (clone GLUL/6600) was applied at 2 ug/ml. The inset panel shows PBS used in place of primary antibody as a negative control, demonstrating minimal background signal. Heat-induced epitope retrieval was performed by boiling tissue sections in pH 9 10 mM Tris with 1 mM EDTA for 20 min followed by cooling prior to antibody incubation.
Western blot testing of human liver tissue lysate using Glutamine Synthetase antibody (clone GLUL/6600). Predicted molecular weight ~42 kDa.
Western blot testing of human Y79 cell lysate using Glutamine Synthetase antibody (clone GLUL/6600). Predicted molecular weight ~42 kDa.
Availability 1-3 business days
Species Reactivity Human, Mouse, Rat
Format Purified
Host Mouse
Clonality Monoclonal (mouse origin)
Isotype Mouse IgG2c, kappa
Clone Name GLUL/6600
Purity Protein A/G affinity
UniProt P15104
Localization Cytoplasm
Applications Western Blot : 1-2ug/ml
Immunohistochemistry (FFPE) : 1-2ug/ml
Limitations This Glutamine Synthetase antibody is available for research use only.
Review this product on BioCompare and get a $20 Amazon gift card

Related Products

Description

Glutamate-ammonia ligase is a cytosolic enzyme encoded by the GLUL gene and widely known as Glutamine synthetase. Glutamine Synthetase Antibody Mouse Monoclonal is developed to detect this key metabolic enzyme, which catalyzes the ATP-dependent conversion of glutamate and ammonia into glutamine. This reaction is central to nitrogen metabolism, ammonia detoxification, and regulation of intracellular glutamine pools. The GLUL gene is located on chromosome 1q31.3 and exhibits distinct tissue-specific expression patterns that reflect metabolic demand and cellular specialization.

Glutamine synthetase demonstrates highly characteristic distribution in normal tissues. In the liver, GLUL expression is typically restricted to pericentral hepatocytes surrounding central veins, forming a sharply demarcated zonal pattern that mirrors hepatic metabolic compartmentalization. This zonation is widely used in research studies evaluating liver architecture, regeneration, and tumor-associated pathway activation. In the central nervous system, GLUL is enriched in astrocytes, where it participates in the glutamate-glutamine cycle and supports neurotransmitter recycling. In these glial cells, the enzyme localizes to the cytoplasm and is distributed throughout the cell body and processes within the neuropil.

Expression can also be observed in kidney, skeletal muscle, and selected epithelial tissues depending on physiological context. In oncology research, altered glutamine synthetase expression has been reported in hepatocellular carcinoma and other malignancies, where GLUL upregulation may correlate with metabolic reprogramming and signaling pathway activation. These biologically distinct expression patterns make GLUL a valuable marker in studies examining tissue differentiation, metabolic zonation, and cancer-associated metabolic adaptation.

As a mouse monoclonal reagent, Glutamine Synthetase Antibody Mouse Monoclonal provides defined target recognition suitable for research applications assessing cytoplasmic localization and relative expression levels. Positive cells typically demonstrate diffuse to granular cytoplasmic staining consistent with the known intracellular distribution of glutamine synthetase. This antibody supports investigation of GLUL expression in normal tissues and disease-associated contexts.

Application Notes

Optimal dilution of the Glutamine Synthetase antibody mouse monoclonal should be determined by the researcher.

Immunogen

A portion of amino acids 50-250 was used as the immunogen for the Glutamine Synthetase antibody.

Storage

Aliquot the Glutamine Synthetase antibody and store frozen at -20oC or colder. Avoid repeated freeze-thaw cycles.

Cross
Bulk Quote Request Form
Name*:
Organization*:
Email*:
Phone Number*:
Catalog No.*:
Comments and Specifics(amount, formulation, etc.)*:
Validation code: Captchapackage Image


Can't read the image? click here to refresh.
    *required field

Your bulk quote request has been submitted successfully!

Please contact us if you have any questions.