• Tel: 858.663.9055
  • SeparatorEmail: info@nsjbio.com
  • Tel: 858.663.9055
  • Email: info@nsjbio.com
Home >> Antibodies >> Glutamic-oxaloacetic transaminase 1 Antibody / GOT1

Glutamic-oxaloacetic transaminase 1 Antibody / GOT1 (RQ6423)

  Catalog No Formulation Size Price (USD)  
Image RQ6423 0.5mg/ml if reconstituted with 0.2ml sterile DI water 100 ug 449
Bulk quote request
Immunofluorescent staining of FFPE human T-47D cells with Glutamic-oxaloacetic transaminase 1 antibody (green) and DAPI nuclear stain (blue). HIER: steam section in pH6 citrate buffer for 20 min.
IHC staining of FFPE mouse brain tissue with Glutamic-oxaloacetic transaminase 1 antibody. HIER: boil tissue sections in pH8 EDTA for 20 min and allow to cool before testing.
IHC staining of FFPE rat brain tissue with Glutamic-oxaloacetic transaminase 1 antibody. HIER: boil tissue sections in pH8 EDTA for 20 min and allow to cool before testing.
Western blot testing of human 1) placenta, 2) T-47D, 3) HepG2, 4) Caco-2, 5) HL60, 6) K562, 7) HeLa, 8) rat brain, 9) mouse brain and 10) mouse liver tissue lysate with Glutamic-oxaloacetic transaminase 1 antibody. Predicted molecular weight ~41 kDa.
Flow cytometry testing of fixed and permeabilized human HepG2 cells with Glutamic-oxaloacetic transaminase 1 antibody at 1ug/million cells (blocked with goat sera); Red=cells alone, Green=isotype control, Blue= Glutamic-oxaloacetic transaminase 1 antibody.
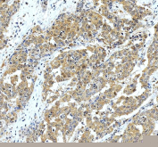
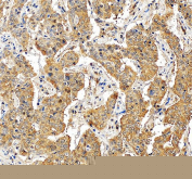
IHC staining of FFPE human liver cancer tissue with Glutamic-oxaloacetic transaminase 1 antibody, HRP-secondary and DAB substrate. HIER: boil tissue sections in pH8 EDTA for 20 min and allow to cool before testing.
IHC staining of FFPE human liver cancer tissue with Glutamic-oxaloacetic transaminase 1 antibody, HRP-secondary and DAB substrate. HIER: boil tissue sections in pH8 EDTA for 20 min and allow to cool before testing.
IHC staining of FFPE human stomach cancer tissue with Glutamic-oxaloacetic transaminase 1 antibody, HRP-secondary and DAB substrate. HIER: boil tissue sections in pH8 EDTA for 20 min and allow to cool before testing.
IHC staining of FFPE human bladder cancer tissue with Glutamic-oxaloacetic transaminase 1 antibody, HRP-secondary and DAB substrate. HIER: boil tissue sections in pH8 EDTA for 20 min and allow to cool before testing.
IHC staining of FFPE human colon cancer tissue with Glutamic-oxaloacetic transaminase 1 antibody, HRP-secondary and DAB substrate. HIER: boil tissue sections in pH8 EDTA for 20 min and allow to cool before testing.
Immunofluorescent staining of FFPE human pancreas cancer tissue with Glutamic-oxaloacetic transaminase 1 antibody (red) and DAPI nuclear stain (blue). HIER: steam section in pH8 EDTA buffer for 20 min.
Immunofluorescent staining of FFPE human rat kidney tissue with Glutamic-oxaloacetic transaminase 1 antibody (red) and DAPI nuclear stain (blue). HIER: steam section in pH8 EDTA buffer for 20 min.
Availability 1-3 business days
Species Reactivity Human, Mouse, Rat
Format Purified
Host Rabbit
Clonality Polyclonal (rabbit origin)
Isotype Rabbit IgG
Purity Antigen affinity purified
Buffer Lyophilized from 1X PBS with 2% Trehalose
UniProt P17174
Localization Cytoplasmic
Applications Western Blot : 0.5-1ug/ml
Immunohistochemistry (FFPE) : 2-5ug/ml
Immunofluorescence (FFPE) : 5ug/ml
Flow Cytometry : 1-3ug/million cells
Direct ELISA : 0.1-0.5ug/ml
Limitations This Glutamic-oxaloacetic transaminase 1 antibody is available for research use only.
Review this product on BioCompare and get a $20 Amazon gift card

Related Products

Description

Glutamic-oxaloacetic transaminase 1 (GOT1), also known as cytosolic aspartate aminotransferase, is a pyridoxal phosphate-dependent enzyme that catalyzes the reversible transamination between aspartate and alpha-ketoglutarate to generate oxaloacetate and glutamate. GOT1 plays a central role in amino acid metabolism, the malate-aspartate shuttle, and the coordination of cellular redox balance.

GOT1 is broadly expressed across tissues and contributes to linking nitrogen metabolism with energy production. Its activity supports mitochondrial function indirectly through shuttling reducing equivalents, making it an important enzyme in bioenergetics and metabolic regulation. GOT1 levels and activity are frequently measured in biochemical studies focused on cellular metabolism and enzymatic pathway integration.

The Glutamic-oxaloacetic transaminase 1 antibody is a reliable reagent for detecting endogenous GOT1 in applications such as western blot, immunohistochemistry, and immunofluorescence. Researchers use the Glutamic-oxaloacetic transaminase 1 antibody from NSJ Bioreagents to quantify protein abundance, determine subcellular localization, and assess metabolic changes under defined experimental conditions. With high specificity and consistent performance, the Glutamic-oxaloacetic transaminase 1 antibody supports rigorous studies in enzymology, metabolic flux analysis, and amino acid pathway research.

Application Notes

Optimal dilution of the Glutamic-oxaloacetic transaminase 1 antibody should be determined by the researcher.

Immunogen

Recombinant human protein (amino acids S5-Q413) was used as the immunogen for the Glutamic-oxaloacetic transaminase 1 antibody.

Storage

After reconstitution, the Glutamic-oxaloacetic transaminase 1 antibody can be stored for up to one month at 4oC. For long-term, aliquot and store at -20oC. Avoid repeated freezing and thawing.

Cross
Bulk Quote Request Form
Name*:
Organization*:
Email*:
Phone Number*:
Catalog No.*:
Comments and Specifics(amount, formulation, etc.)*:
Validation code: Captchapackage Image


Can't read the image? click here to refresh.
    *required field

Your bulk quote request has been submitted successfully!

Please contact us if you have any questions.