• Tel: 858.663.9055
  • SeparatorEmail: info@nsjbio.com
  • Tel: 858.663.9055
  • Email: info@nsjbio.com
Home >> Antibodies >> Glutamate Receptor 2 Antibody / GLUR2 / GRIA2

Glutamate Receptor 2 Antibody / GLUR2 / GRIA2 [clone ACIB-7] (FY13416)

  Catalog No Formulation Size Price (USD)  
Image FY13416 Rabbit IgG in phosphate buffered saline, pH 7.4, 150mM NaCl, 0.02% sodium azide and 50% glycerol, 0.4-0.5mg/ml BSA 100 ul 449
Microvalidated Recrabbitmono
Bulk quote request
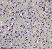
Immunohistochemical staining of FFPE mouse brain tissue with Glutamate Receptor 2 antibody, HRP-secondary and DAB substrate. HIER: boil tissue sections in pH8 EDTA for 20 min and allow to cool before testing.
Immunohistochemical staining of FFPE mouse brain tissue with Glutamate Receptor 2 antibody, HRP-secondary and DAB substrate. HIER: boil tissue sections in pH8 EDTA for 20 min and allow to cool before testing.
Immunohistochemical staining of FFPE rat brain tissue with Glutamate Receptor 2 antibody, HRP-secondary and DAB substrate. HIER: boil tissue sections in pH8 EDTA for 20 min and allow to cool before testing.
Immunohistochemical staining of FFPE rat brain tissue with Glutamate Receptor 2 antibody, HRP-secondary and DAB substrate. HIER: boil tissue sections in pH8 EDTA for 20 min and allow to cool before testing.
Immunohistochemical staining of FFPE pig brain tissue with Glutamate Receptor 2 antibody, HRP-secondary and DAB substrate. HIER: boil tissue sections in pH8 EDTA for 20 min and allow to cool before testing.
Western blot analysis of rat brain and mouse brain tissue lysates using Glutamate Receptor 2 antibody. Predicted molecular weight ~99 kDa.
Availability 1-2 days
Species Reactivity Human, Mouse, Rat, Pig
Format Liquid
Host Rabbit
Clonality Recombinant Rabbit Monoclonal
Isotype Rabbit IgG
Clone Name ACIB-7
Purity Affinity chromatography
Buffer Rabbit IgG in phosphate buffered saline, pH 7.4, 150mM NaCl, 0.02% sodium azide and 50% glycerol, 0.4-0.5mg/ml BSA.
UniProt P42262
Localization Cytoplasm, cell membrane
Applications Western Blot : 1:500-1:2000
Immunohistochemistry : 1:50-1:200
Limitations This Glutamate Receptor 2 antibody is available for research use only.
Review this product on BioCompare and get a $20 Amazon gift card

Related Products

Description

Glutamate Receptor 2 antibody targets Glutamate receptor 2 (GRIA2), also commonly referred to as GLUR2, a ligand-gated ion channel subunit belonging to the AMPA-type glutamate receptor family. GRIA2 is a transmembrane protein predominantly localized to the postsynaptic membrane of excitatory synapses, where it plays a central role in fast synaptic transmission in the central nervous system. AMPA receptors are tetrameric complexes assembled from GRIA1-4 subunits, and the presence of GRIA2 within these complexes critically influences channel properties, including ion permeability and synaptic signaling behavior.

Functionally, GRIA2 is essential for regulating calcium permeability of AMPA receptors. A key feature of GRIA2 is RNA editing at the Q/R site within the channel pore, which renders GRIA2-containing AMPA receptors impermeable to calcium ions. This property distinguishes GRIA2 from other AMPA receptor subunits and has profound effects on neuronal excitability, synaptic plasticity, and protection against excitotoxicity. Through this mechanism, GRIA2 helps maintain neuronal stability while allowing rapid glutamatergic signaling required for learning and memory. A Glutamate Receptor 2 antibody supports studies focused on excitatory neurotransmission and synaptic function.

GRIA2 is widely expressed throughout the brain, including the cortex, hippocampus, cerebellum, and other regions involved in sensory processing and cognition. Its expression is particularly enriched at excitatory synapses, where it contributes to synaptic strength and plasticity. Changes in GRIA2 expression, localization, or subunit composition can alter synaptic signaling dynamics, making GRIA2 an important marker for studies of synaptic remodeling, development, and activity-dependent regulation. Analysis of GRIA2 distribution provides insight into the molecular organization of excitatory synapses.

From a biological and disease-relevance perspective, GRIA2 has been extensively studied in the context of neurological and neurodegenerative disorders. Alterations in GRIA2 expression or RNA editing have been linked to conditions such as epilepsy, ischemic injury, amyotrophic lateral sclerosis, and neurodevelopmental disorders. Dysregulation of GRIA2-containing AMPA receptors can increase calcium influx and contribute to neuronal vulnerability. As a result, GRIA2 is frequently investigated in studies examining mechanisms of excitotoxicity, synaptic dysfunction, and disease-associated neural circuit alterations.

At the molecular level, GRIA2 is encoded by the GRIA2 gene and produces a protein with an apparent molecular weight of approximately 100 kDa, though electrophoretic mobility can vary due to glycosylation and receptor assembly state. The protein contains multiple transmembrane domains and large extracellular regions involved in ligand binding and receptor gating. GRIA2 function is regulated by trafficking, phosphorylation, and interaction with scaffolding proteins at the synapse. A Glutamate Receptor 2 antibody supports research applications focused on synaptic biology, glutamatergic signaling, and nervous system function, with NSJ Bioreagents providing reagents intended for research use.

Application Notes

Optimal dilution of the Glutamate Receptor 2 antibody should be determined by the researcher.

Immunogen

A synthesized peptide derived from human Glutamate Receptor 2 protein was used as the immunogen for the Glutamate Receptor 2 antibody.

Storage

Store the Glutamate Receptor 2 antibody at -20oC.

Cross
Bulk Quote Request Form
Name*:
Organization*:
Email*:
Phone Number*:
Catalog No.*:
Comments and Specifics(amount, formulation, etc.)*:
Validation code: Captchapackage Image


Can't read the image? click here to refresh.
    *required field

Your bulk quote request has been submitted successfully!

Please contact us if you have any questions.