• Tel: 858.663.9055
  • SeparatorEmail: info@nsjbio.com
  • Tel: 858.663.9055
  • Email: info@nsjbio.com
Home >> Antibodies >> GLUT5 Antibody / Glucose transporter 5

GLUT5 Antibody / Glucose transporter 5 (R30827)

  Catalog No Formulation Size Price (USD)  
Image R30827 0.5mg/ml if reconstituted with 0.2ml sterile DI water 100 ug 449
Bulk quote request
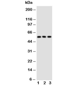
Western blot testing of GLUT5 antibody and Lane 1: rat kidney; 2: rat liver; 3: mouse kidney tissue lysate. Expected/observed molecular weight ~55 kDa.
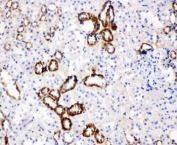
IHC-P: GLUT5 antibody testing of rat kidney tissue
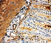
IHC-F: GLUT5 antibody testing of rat intestine tissue
Availability 1-3 business days
Species Reactivity Mouse, Rat
Format Antigen affinity purified
Host Rabbit
Clonality Polyclonal (rabbit origin)
Isotype Rabbit IgG
Purity Antigen affinity
Buffer Lyophilized from 1X PBS with 2.5% BSA and 0.025% sodium azide/thimerosal
UniProt Q9WV38
Localization Cytoplasmic, membranous
Applications Western Blot : 0.5-1ug/ml
IHC (FFPE) : 0.5-1ug/ml
IHC (Frozen) : 0.5-1ug/ml
Limitations This GLUT5 antibody is available for research use only.
Review this product on BioCompare and get a $20 Amazon gift card

Related Products

  • Applications : WB
    Reactivity : Human
    Citation  Citations(1)
  • Applications : WB, IHC-P
    Reactivity : Human, Rat

Description

GLUT5 antibody recognizes Glucose transporter 5, a facilitative hexose transporter encoded by the SLC2A5 gene and commonly referred to as GLUT5. Glucose transporter 5 belongs to the solute carrier 2 (SLC2) family of membrane transport proteins and functions primarily as a fructose transporter rather than a glucose transporter. GLUT5 antibody, also referred to as SLC2A5 antibody and fructose transporter antibody in the literature, detects a multi-pass transmembrane protein predominantly localized to the plasma membrane of epithelial cells in tissues specialized for fructose absorption and metabolism.

Glucose transporter 5 is highly expressed in the small intestine, particularly in enterocytes of the jejunum, where it mediates dietary fructose uptake across the apical membrane. Expression is also observed in kidney, spermatozoa, skeletal muscle, adipose tissue, and certain regions of the brain. In intestinal epithelium, GLUT5 plays a critical role in fructose handling, contributing to systemic carbohydrate metabolism and energy balance.

Structurally, GLUT5 contains twelve predicted transmembrane helices characteristic of the facilitative glucose transporter family. Unlike GLUT1 and other glucose-preferring transporters, GLUT5 exhibits strong substrate specificity for fructose. Regulation of SLC2A5 expression is influenced by dietary fructose intake, metabolic state, and hormonal signaling pathways that coordinate nutrient absorption and utilization.

Altered GLUT5 expression has been reported in metabolic disorders and in several malignancies, including colorectal, breast, and pancreatic cancers, where enhanced fructose uptake may support tumor growth and metabolic reprogramming. Because fructose metabolism can contribute to anabolic pathways and redox balance, SLC2A5 has attracted interest in cancer metabolism research.

GLUT5 antibody is suitable for research applications focused on analysis of fructose transport, intestinal physiology, metabolic regulation, and disease-associated changes in SLC2A5 expression.

Application Notes

Titration of the GLUT5 antibody may be required due to differences in protocols and secondary/substrate sensitivity.

Immunogen

An amino acid sequence from the middle region of mouse Glucose Transporter 5 (ALQTLRGWKDVHLEMEEIRK) was used as the immunogen for this GLUT5 antibody.

Storage

The lyophilized GLUT5 antibody can be stored at 4oC. After reconstitution, aliquot and store at -20oC. Avoid repeated freezing and thawing.

Cross
Bulk Quote Request Form
Name*:
Organization*:
Email*:
Phone Number*:
Catalog No.*:
Comments and Specifics(amount, formulation, etc.)*:
Validation code: Captchapackage Image


Can't read the image? click here to refresh.
    *required field

Your bulk quote request has been submitted successfully!

Please contact us if you have any questions.