• Tel: 858.663.9055
  • SeparatorEmail: info@nsjbio.com
  • Tel: 858.663.9055
  • Email: info@nsjbio.com
Home >> Antibodies >> GLUT1 Antibody for IF / SLC2A1 Glucose Transporter

GLUT1 Antibody for IF / SLC2A1 Glucose Transporter [clone CGG-19] (RQ5352)

  Catalog No Formulation Size Price (USD)  
Image RQ5352 Antibody in PBS with 0.02% sodium azide, 50% glycerol and 0.4-0.5mg/ml BSA 100 ul 449
Microvalidated Recrabbitmono
Bulk quote request
GLUT1 Antibody for IF staining in human HepG2 cells. Fluorescent staining shows green signal corresponding to GLUT1 (SLC2A1) localization outlining the plasma membrane and cytoplasmic vesicular structures consistent with glucose transporter distribution in metabolically active cells. Membrane-associated fluorescence highlights cell boundaries while punctate cytoplasmic signal reflects intracellular transporter trafficking. Nuclei are counterstained with DAPI (blue). Signal was detected using an immunofluorescence method and visualized by fluorescence microscopy.
IHC staining of FFPE human cervical cancer with GLUT1 antibody. HIER: boil tissue sections in pH6, 10mM citrate buffer, for 10-20 min followed by cooling at RT for 20 min.
Flow cytometry testing of human HeLa cells with GLUT1 antibody; Red=cells alone, Blue= GLUT1 antibody.
Western blot testing of human HepG2 cell lysate with GLUT1 antibody. Predicted molecular weight ~55 kDa.
GLUT1 Antibody for IF staining in human HeLa cells. Immunofluorescence analysis using GLUT1 Antibody for IF at 1:50 dilution shows green fluorescent signal corresponding to GLUT1 (SLC2A1) localization along the plasma membrane and within cytoplasmic vesicular structures consistent with glucose transporter distribution in metabolically active cells. Phalloidin-TRITC (red) labels the actin cytoskeleton and outlines cell morphology, while DAPI (blue) marks cell nuclei. The merged image demonstrates membrane-associated GLUT1 fluorescence outlining individual cells and cytoplasmic transporter localization visualized by fluorescence microscopy.
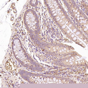
GLUT1 Antibody immunohistochemistry analysis in human colon tissue. FFPE human colon section shows HRP-DAB brown membranous and cytoplasmic staining in epithelial cells lining the colonic glands, consistent with GLUT1 (SLC2A1) localization in metabolically active epithelial cell populations. Stromal cells and surrounding connective tissue show minimal background staining. The section was stained using GLUT1 antibody at 1:200 dilution.
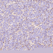
GLUT1 Antibody immunohistochemistry analysis in human thymoma tissue. FFPE human thymoma section shows HRP-DAB brown membranous and cytoplasmic staining in tumor epithelial cells, consistent with GLUT1 (SLC2A1) localization in metabolically active tumor cell populations. Surrounding stromal components display minimal background staining. The section was stained using GLUT1 antibody at 1:200 dilution.
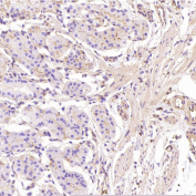
GLUT1 Antibody immunohistochemistry analysis in human stomach tissue. FFPE human stomach section shows HRP-DAB brown membranous and cytoplasmic staining in gastric epithelial cells lining glandular structures, consistent with GLUT1 (SLC2A1) localization in metabolically active epithelial cell populations. Surrounding stromal cells show minimal background staining. The section was stained using GLUT1 antibody at 1:800 dilution.
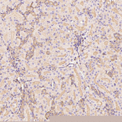
GLUT1 Antibody immunohistochemistry analysis in mouse kidney tissue. FFPE mouse kidney section shows HRP-DAB brown membranous and cytoplasmic staining in renal tubular epithelial cells, consistent with GLUT1 (SLC2A1) localization in metabolically active kidney cell populations. Glomerular structures and surrounding stromal regions show comparatively weaker staining. The section was stained using GLUT1 antibody at 1:300 dilution.
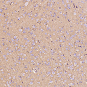
GLUT1 Antibody immunohistochemistry analysis in rat hippocampus tissue. FFPE rat hippocampus section shows HRP-DAB brown cytoplasmic and membranous staining in neuronal and neuropil regions consistent with GLUT1 (SLC2A1) localization in metabolically active brain tissue. The staining highlights cells within hippocampal layers while surrounding background remains minimal. The section was stained using GLUT1 antibody at 1:300 dilution.
Availability 1-2 weeks
Species Reactivity Human
Format Purified
Host Rabbit
Clonality Recombinant Rabbit Monoclonal
Isotype Rabbit IgG
Clone Name CGG-19
Purity Affinity purified
UniProt P11166
Localization Cell membrane
Applications Western Blot : 1:500-1:2000
Immunohistochemistry (FFPE) : 1:50-1:200
Immunofluorescene : 1:50-1:200
Flow Cytometry : 1:50
Limitations This GLUT1 antibody is available for research use only.
Review this product on BioCompare and get a $20 Amazon gift card

Related Products

Description

Glucose transporter 1 (SLC2A1), widely known as GLUT1, is a facilitative glucose transporter responsible for basal glucose uptake in many tissues and plays a key role in cellular energy metabolism. GLUT1 Antibody for IF (clone CGG-19) enables immunofluorescence-based visualization of this membrane-associated glucose transporter and supports fluorescence microscopy analysis of GLUT1 localization in cultured cells and tissue sections. In immunofluorescence staining experiments, GLUT1 typically appears as strong fluorescent labeling along the plasma membrane outlining individual cells, reflecting localization of the transporter at the cell surface where glucose uptake occurs. Because GLUT1 functions primarily at the plasma membrane, immunofluorescence microscopy commonly reveals clear membrane-associated fluorescence that delineates cellular boundaries and highlights glucose transporter distribution within metabolically active cells.

Immunofluorescence analysis of SLC2A1 is widely used to study glucose transport regulation, membrane transporter trafficking, and metabolic signaling pathways. Using fluorescence microscopy, GLUT1 staining often produces a characteristic combination of membrane-associated fluorescence together with punctate cytoplasmic fluorescent structures representing intracellular transporter pools. These vesicular fluorescent signals correspond to transporter trafficking pathways in which GLUT1 cycles between intracellular vesicles and the plasma membrane. A GLUT1 Antibody for IF therefore allows researchers to visualize both membrane-localized glucose transporters and intracellular vesicular compartments involved in transporter recycling.

Confocal immunofluorescence microscopy enables high-resolution analysis of GLUT1 subcellular localization and is frequently used to examine plasma membrane transporter organization in cultured cells. In confocal imaging experiments, GLUT1 immunofluorescence often appears as continuous fluorescent signal outlining the cell membrane combined with vesicular fluorescent puncta distributed throughout the cytoplasm. These imaging patterns reflect dynamic transporter trafficking and membrane insertion events that regulate glucose uptake under different metabolic conditions. Fluorescence microscopy therefore provides a powerful approach for studying the spatial organization of glucose transport systems within cells.

Immunofluorescence detection of GLUT1 can also be incorporated into co-localization studies with plasma membrane markers, endosomal proteins, or metabolic signaling regulators to investigate transporter trafficking and membrane dynamics. Because GLUT1 expression is frequently elevated in rapidly proliferating cells and many tumor cell types, immunofluorescence staining of SLC2A1 is widely used to visualize metabolic adaptation and glucose transporter redistribution during oncogenic signaling and hypoxia-associated responses. Fluorescent labeling of GLUT1 therefore provides insight into metabolic regulation and membrane transporter biology in both normal and cancer cells.

GLUT1 Antibody for IF (clone CGG-19) supports immunofluorescence-based detection of SLC2A1 using fluorescence microscopy and enables detailed visualization of plasma membrane localization, intracellular transporter trafficking, and metabolic transporter distribution. Immunofluorescence imaging using a GLUT1 antibody typically reveals membrane-associated fluorescent signal outlining individual cells together with vesicular cytoplasmic fluorescence, providing a powerful tool for studying glucose transporter localization, cellular metabolism, and glucose uptake pathways.

Application Notes

Optimal dilution of the GLUT1 Antibody for IF should be determined by the researcher.

Immunogen

A synthetic peptide specific to human GLUT1 / SLC2A1 was used as the immunogen for the GLUT1 antibody.

Storage

Store the GLUT1 antibody at -20oC.

Alternate Names

SLC2A1 antibody, Glucose transporter 1 antibody, GLUT-1 antibody, Erythrocyte glucose transporter antibody

Cross
Bulk Quote Request Form
Name*:
Organization*:
Email*:
Phone Number*:
Catalog No.*:
Comments and Specifics(amount, formulation, etc.)*:
Validation code: Captchapackage Image


Can't read the image? click here to refresh.
    *required field

Your bulk quote request has been submitted successfully!

Please contact us if you have any questions.