• Tel: 858.663.9055
  • SeparatorEmail: info@nsjbio.com
  • Tel: 858.663.9055
  • Email: info@nsjbio.com
Home >> Antibodies >> GluR2/GluR3 Antibody / GRIA2/GRIA3

GluR2/GluR3 Antibody / GRIA2/GRIA3 [clone 18G36] (FY13417)

  Catalog No Formulation Size Price (USD)  
Image FY13417 Rabbit IgG in phosphate buffered saline, pH 7.4, 150mM NaCl, 0.02% sodium azide and 50% glycerol, 0.4-0.5mg/ml BSA 100 ul 449
Microvalidated Recrabbitmono
Bulk quote request
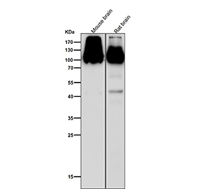
Western blot analysis of GluR2/GluR3 (GRIA2/GRIA3) expression in mouse brain and rat brain lysates using GluR2/GluR3 antibody. A predominant band is detected at approximately 99 kDa, consistent with GluR2 and GluR3. Additional higher molecular weight bands are observed around 130 kDa and above 170 kDa, which may reflect glycosylated and/or complex-associated receptor forms. A weaker lower band of approximately 45 kDa is observed in rat brain, which may represent a fragment.
Western blot analysis of GluR2+GluR3 expression in (1) human fetal brain lysate; (2) mouse brain lysate using GluR2/GluR3 antibody. Predicted molecular weight ~99 kDa.
Availability 1-2 days
Species Reactivity Human, Mouse, Rat
Format Liquid
Host Rabbit
Clonality Recombinant Rabbit Monoclonal
Isotype Rabbit IgG
Clone Name 18G36
Purity Affinity chromatography
Buffer Rabbit IgG in phosphate buffered saline, pH 7.4, 150mM NaCl, 0.02% sodium azide and 50% glycerol, 0.4-0.5mg/ml BSA.
UniProt P42262 , P42263
Localization Cytoplasm, cell membrane
Applications Western Blot : 1:500-1:2000
Limitations This GluR2/GluR3 antibody is available for research use only.
Review this product on BioCompare and get a $20 Amazon gift card

Related Products

Description

GluR2/GluR3 antibody targets Glutamate receptor 2 and Glutamate receptor 3, encoded by the GRIA2 and GRIA3 genes, respectively. These proteins are ligand-gated ion channel subunits of the AMPA-type glutamate receptor family and are key mediators of fast excitatory synaptic transmission in the central nervous system. GluR2 and GluR3 are transmembrane proteins that assemble as tetrameric receptor complexes at the postsynaptic membrane, either as homomeric or heteromeric assemblies with other AMPA receptor subunits. Their localization to excitatory synapses underlies their essential role in rapid neurotransmission and synaptic signaling.

Functionally, GluR2 and GluR3 contribute to the formation and regulation of AMPA receptor channels that mediate sodium influx in response to glutamate binding. A defining feature of GluR2 is RNA editing at the Q/R site within the channel pore, which renders GluR2-containing AMPA receptors impermeable to calcium. This property has a major impact on neuronal excitability and synaptic stability. GluR3, while structurally similar, does not undergo the same editing and can influence receptor kinetics, trafficking, and synaptic plasticity when incorporated into receptor complexes. A GluR2/GluR3 antibody supports studies focused on excitatory neurotransmission and receptor composition.

Expression of GRIA2 and GRIA3 is widespread throughout the brain, including cortex, hippocampus, cerebellum, and other regions involved in learning, memory, and sensory processing. These subunits are enriched at postsynaptic densities of excitatory synapses and are dynamically regulated in response to neuronal activity. Changes in GluR2 and GluR3 expression or synaptic localization are associated with synaptic strengthening or weakening, making them important markers for studies of synaptic plasticity and circuit remodeling. Analysis of GluR2/GluR3 distribution provides insight into how excitatory synapses adapt during development and experience-dependent processes.

From a biological and disease-relevance perspective, GluR2 and GluR3 have been extensively studied in neurological and neuropsychiatric disorders. Alterations in AMPA receptor subunit composition, including changes in GluR2 or GluR3 expression, have been linked to epilepsy, ischemic brain injury, neurodegenerative diseases, and psychiatric conditions. Dysregulation of GluR2-containing receptors can increase calcium permeability and contribute to excitotoxic neuronal damage. As a result, GluR2/GluR3 is frequently investigated in research examining synaptic dysfunction and disease-associated changes in excitatory signaling.

At the molecular level, GRIA2 and GRIA3 encode proteins with apparent molecular weights of approximately 100 kDa, though electrophoretic mobility can vary due to glycosylation and receptor assembly state. Each subunit contains multiple transmembrane domains and large extracellular regions involved in ligand binding and channel gating. Receptor function is regulated by phosphorylation, trafficking, and interaction with scaffolding proteins at the synapse. A GluR2/GluR3 antibody supports research applications focused on synaptic biology, glutamatergic signaling, and nervous system research, with NSJ Bioreagents providing reagents intended for research use.

Application Notes

Optimal dilution of the GluR2/GluR3 antibody should be determined by the researcher.

Immunogen

A synthesized peptide derived from a sequence common to human Glutamate Receptor 2/3 protein was used as the immunogen for the GluR2/GluR3 antibody.

Storage

Store the GluR2/GluR3 antibody at -20oC.

Cross
Bulk Quote Request Form
Name*:
Organization*:
Email*:
Phone Number*:
Catalog No.*:
Comments and Specifics(amount, formulation, etc.)*:
Validation code: Captchapackage Image


Can't read the image? click here to refresh.
    *required field

Your bulk quote request has been submitted successfully!

Please contact us if you have any questions.