• Tel: 858.663.9055
  • SeparatorEmail: info@nsjbio.com
  • Tel: 858.663.9055
  • Email: info@nsjbio.com
Home >> Antibodies >> GLUL Antibody Rabbit Polyclonal / Glutamine Synthetase

GLUL Antibody Rabbit Polyclonal / Glutamine Synthetase (RQ6636)

  Catalog No Formulation Size Price (USD)  
Image RQ6636 0.5mg/ml if reconstituted with 0.2ml sterile DI water 100 ug 449
Bulk quote request
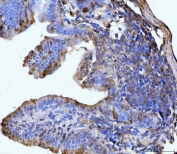
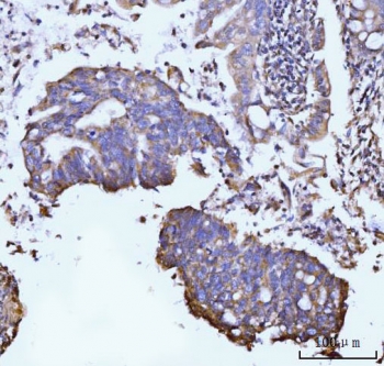
Immunohistochemistry of GLUL Antibody Rabbit Polyclonal in human gastric adenocarcinoma tissue. Formalin-fixed, paraffin-embedded human gastric adenocarcinoma sections demonstrate cytoplasmic HRP-DAB brown staining in malignant gland-forming epithelial cells consistent with Glutamate-ammonia ligase (Glutamine synthetase) expression. Tumor epithelial cells show moderate to strong cytoplasmic staining, while surrounding stromal cells display comparatively weaker signal. Heat-induced epitope retrieval was performed by boiling tissue sections in pH 8 EDTA for 20 min followed by cooling prior to antibody incubation.
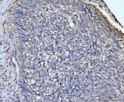
IHC staining of FFPE human lung cancer tissue with GLUL antibody. HIER: boil tissue sections in pH8 EDTA for 20 min and allow to cool before testing.
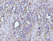
IHC staining of FFPE human liver cancer tissue with GLUL antibody. HIER: boil tissue sections in pH8 EDTA for 20 min and allow to cool before testing.
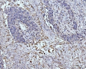
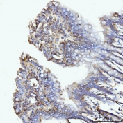
IHC staining of FFPE human appendiceal adenocarcinoma tissue with the rabbit polyclonal GLUL antibody. HIER: boil tissue sections in pH8 EDTA for 20 min and allow to cool before testing.
IHC staining of FFPE mouse colon tissue with GLUL antibody. HIER: boil tissue sections in pH8 EDTA for 20 min and allow to cool before testing.
IHC staining of FFPE rat colon tissue with GLUL antibody. HIER: boil tissue sections in pH8 EDTA for 20 min and allow to cool before testing.
Immunofluorescence analysis of GLUL Antibody Rabbit Polyclonal in human A431 cells. Formalin-fixed, paraffin-embedded A431 cells show cytoplasmic fluorescence signal consistent with Glutamate-ammonia ligase (Glutamine synthetase) localization. GLUL antibody staining appears in the cytoplasm (green), while nuclei are counterstained with DAPI (blue). The fluorescence pattern surrounds but does not overlap with nuclear staining, supporting cytoplasmic distribution of GLUL. Heat-induced epitope retrieval was performed by steaming sections in pH 6 citrate buffer for 20 min prior to antibody incubation.
Western blot testing of 1) human K562, 2) rat brain and 3) mouse brain tissue lysate with GLUL antibody. Predicted molecular weight ~42 kDa.
Flow cytometry testing of human ThP-1 cells with GLUL antibody at 1ug/million cells (blocked with goat sera); Red=cells alone, Green=isotype control, Blue= GLUL antibody.
Availability 1-3 business days
Species Reactivity Human, Mouse, Rat
Format Antigen affinity purified
Host Rabbit
Clonality Polyclonal (rabbit origin)
Isotype Rabbit IgG
Purity Antigen affinity purified
Buffer Lyophilized from 1X PBS with 2% Trehalose
UniProt P15104
Localization Cytoplasmic
Applications Western Blot : 1-2ug/ml
Immunohistochemistry (FFPE) : 2-5ug/ml
Immunofluorescence (FFPE) : 5ug/ml
Flow Cytometry : 1-3ug/million cells
Direct ELISA : 0.1-0.5ug/ml
Limitations This GLUL antibody is available for research use only.
Review this product on BioCompare and get a $20 Amazon gift card

Related Products

Description

Glutamate-ammonia ligase is a cytosolic enzyme encoded by the GLUL gene and widely known as Glutamine synthetase. GLUL Antibody Rabbit Polyclonal is developed to detect this key metabolic enzyme, which catalyzes the ATP-dependent conversion of glutamate and ammonia into glutamine. This reaction is essential for nitrogen metabolism, ammonia detoxification, and regulation of intracellular glutamine pools. The GLUL gene is located on chromosome 1q31.3 and demonstrates regulated, tissue-specific expression patterns that reflect metabolic demand and cellular specialization.

Glutamine synthetase displays highly characteristic distribution across multiple tissues. In the liver, GLUL expression is largely restricted to pericentral hepatocytes surrounding central veins, forming a sharply defined zonal staining pattern within hepatic lobules. This pattern reflects metabolic compartmentalization in the liver and is frequently used in research evaluating hepatic architecture, metabolic regulation, and tumor-associated signaling pathways. In the central nervous system, the enzyme is highly enriched in astrocytes where it participates in the glutamate-glutamine cycle and supports neurotransmitter recycling. In these glial cells, GLUL localizes to the cytoplasm and extends throughout the astrocytic processes within the neuropil.

Expression can also be observed in kidney, skeletal muscle, and selected epithelial tissues depending on physiological context. In cancer research, altered glutamine synthetase levels have been reported in hepatocellular carcinoma and other malignancies where GLUL upregulation may be associated with metabolic reprogramming and pathway activation. These biologically distinct expression patterns make GLUL a valuable marker for studies examining metabolic zonation, astrocyte biology, and tumor-associated metabolic adaptation.

As a rabbit polyclonal reagent, GLUL Antibody Rabbit Polyclonal recognizes glutamine synthetase and supports investigation of cytoplasmic GLUL expression in normal tissues and disease-associated contexts. Positive cells typically demonstrate diffuse to granular cytoplasmic staining consistent with the known intracellular distribution of glutamine synthetase, enabling analysis of metabolic regulation and tissue-specific expression patterns.

Application Notes

Optimal dilution of the GLUL antibody rabbit polyclonal should be determined by the researcher.

Immunogen

Recombinant human protein (amino acids N74-N373) was used as the immunogen for the GLUL antibody.

Storage

After reconstitution, the GLUL antibody can be stored for up to one month at 4oC. For long-term, aliquot and store at -20oC. Avoid repeated freezing and thawing.

Cross
Bulk Quote Request Form
Name*:
Organization*:
Email*:
Phone Number*:
Catalog No.*:
Comments and Specifics(amount, formulation, etc.)*:
Validation code: Captchapackage Image


Can't read the image? click here to refresh.
    *required field

Your bulk quote request has been submitted successfully!

Please contact us if you have any questions.