• Tel: 858.663.9055
  • SeparatorEmail: info@nsjbio.com
  • Tel: 858.663.9055
  • Email: info@nsjbio.com
Home >> Antibodies >> GLUL Antibody Mouse Monoclonal GLUL/6604 / Glutamine Synthetase

GLUL Antibody Mouse Monoclonal GLUL/6604 / Glutamine Synthetase [clone GLUL/6604] (V8954)

  Catalog No Formulation Size Price (USD)  
Image V8954-100UG 0.2 mg/ml in 1X PBS with 0.1 mg/ml BSA (US sourced), 0.05% sodium azide 100 ug 559
Image
V8954-20UG 0.2 mg/ml in 1X PBS with 0.1 mg/ml BSA (US sourced), 0.05% sodium azide 20 ug 259
Image
V8954SAF-100UG 1 mg/ml in 1X PBS; BSA free, sodium azide free 100 ug 559
Bulk quote request
Western blot testing of human Y79 cell lysate using mouse monoclonal GLUL antibody (clone GLUL/6604). Predicted molecular weight ~42 kDa.
Western blot testing of human liver tissue using monoclonal GLUL antibody (clone GLUL/6604). Predicted molecular weight ~42 kDa.
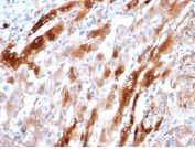
Immunohistochemistry of GLUL Antibody Mouse Monoclonal GLUL/6604 in human liver tissue. Formalin-fixed, paraffin-embedded human liver sections demonstrate strong cytoplasmic HRP-DAB brown staining in hepatocytes, with accentuation in pericentral regions consistent with the characteristic zonal expression pattern of Glutamate-ammonia ligase (Glutamine synthetase). Periportal hepatocytes show comparatively weaker staining. The antibody was applied at 2 ug/ml. Heat-induced epitope retrieval was performed by boiling tissue sections in pH 9 10 mM Tris with 1 mM EDTA for 20 min followed by cooling prior to antibody incubation.
SDS-PAGE analysis of purified, BSA-free GLUL antibody (GLUL/6604) as confirmation of integrity and purity.
Availability 1-3 business days
Species Reactivity Human
Format Purified
Host Mouse
Clonality Monoclonal (mouse origin)
Isotype Mouse IgG2b, kappa
Clone Name GLUL/6604
Purity Protein A/G affinity
UniProt P15104
Localization Cytoplasm
Applications Western Blot : 1-2ug/ml
Immunohistochemistry (FFPE) : 1-2ug/ml
Limitations This GLUL antibody is available for research use only.
Review this product on BioCompare and get a $20 Amazon gift card

Related Products

Description

Glutamate-ammonia ligase is a cytosolic enzyme encoded by the GLUL gene and widely known as Glutamine synthetase. GLUL Antibody Mouse Monoclonal GLUL/6604 is developed to detect this key metabolic enzyme, which catalyzes the ATP-dependent conversion of glutamate and ammonia into glutamine. This reaction is central to nitrogen metabolism, ammonia detoxification, and regulation of intracellular glutamine pools. The GLUL gene is located on chromosome 1q31.3 and demonstrates distinct tissue-specific expression patterns reflective of metabolic demand.

Glutamine synthetase is best characterized by its sharply defined zonal expression in the liver, where GLUL is predominantly localized to pericentral hepatocytes surrounding central veins. This characteristic pattern mirrors hepatic metabolic compartmentalization and is frequently used in research examining liver architecture, regeneration, and tumor-associated signaling pathways. In the central nervous system, GLUL is enriched in astrocytes, where it participates in the glutamate-glutamine cycle and supports neurotransmitter recycling. In these glial cells, the enzyme localizes to the cytoplasm and is distributed throughout the cell body and processes.

Expression can also be observed in kidney, skeletal muscle, and selected epithelial tissues depending on physiological context. In oncology research, altered glutamine synthetase expression has been reported in hepatocellular carcinoma and other malignancies, where GLUL upregulation may correlate with metabolic reprogramming and pathway activation. These biologically distinct patterns make GLUL a valuable marker in studies investigating tissue differentiation, metabolic zonation, and cancer-associated metabolic adaptation.

As a mouse monoclonal reagent, GLUL Antibody Mouse Monoclonal GLUL/6604 provides defined target recognition suitable for research applications evaluating cytoplasmic localization and relative expression levels. Positive cells typically demonstrate diffuse to granular cytoplasmic staining consistent with the known intracellular distribution of glutamine synthetase. This antibody supports investigation of GLUL expression in normal tissues and disease-associated contexts.

Application Notes

Optimal dilution of the GLUL Antibody Mouse Monoclonal GLUL/6604 should be determined by the researcher.

Immunogen

A portion of amino acids 50-250 was used as the immunogen for the monoclonal GLUL antibody.

Storage

Aliquot the GLUL antibody and store frozen at -20oC or colder. Avoid repeated freeze-thaw cycles.

Cross
Bulk Quote Request Form
Name*:
Organization*:
Email*:
Phone Number*:
Catalog No.*:
Comments and Specifics(amount, formulation, etc.)*:
Validation code: Captchapackage Image


Can't read the image? click here to refresh.
    *required field

Your bulk quote request has been submitted successfully!

Please contact us if you have any questions.