• Tel: 858.663.9055
  • SeparatorEmail: info@nsjbio.com
  • Tel: 858.663.9055
  • Email: info@nsjbio.com
Home >> Antibodies >> GLUD1 Antibody / Glutamate dehydrogenase 1

GLUD1 Antibody / Glutamate dehydrogenase 1 (FY12988)

  Catalog No Formulation Size Price (USD)  
Image FY12988 Adding 0.2 ml of distilled water will yield a concentration of 500 ug/ml 100 ug 449
Bulk quote request
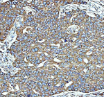
Immunohistochemical staining of GLUD1 using anti-GLUD1 antibody. GLUD1 was detected in a paraffin-embedded section of human adrenal adenoma tissue. Heat mediated antigen retrieval was performed in EDTA buffer (pH 8.0, epitope retrieval solution). The tissue section was blocked with 10% goat serum. The tissue section was then incubated with 2 ug/ml rabbit anti-GLUD1 antibody overnight at 4oC. Peroxidase Conjugated Goat Anti-rabbit IgG was used as secondary antibody and incubated for 30 minutes at 37oC. The tissue section was developed using an HRP secondary and DAB substrate.
Western blot analysis of GLUD1 using anti-GLUD1 antibody. Electrophoresis was performed on a 10% SDS-PAGE gel at 80V (Stacking gel) / 120V (Resolving gel) for 2 hours. Lane 1: human HepG2 whole cell lysates, Lane 2: human whole cell lysates, Lane 3: human Hela whole cell lysates, Lane 4: human PC-3 whole cell lysates. Lane 5: rat liver tissue lysates, Lane 6: rat C6 whole cell lysates, Lane 7: mouse liver tissue lysates, Lane 8: mouse C2C12 whole cell lysates. After electrophoresis, proteins were transferred to a nitrocellulose membrane at 150 mA for 50-90 minutes. Blocked the membrane with 5% non-fat milk/TBS for 1.5 hour at RT. The membrane was incubated with rabbit anti-GLUD1 antibody at 0.5 ug/ml overnight at 4oC, then washed with TBS-0.1%Tween 3 times with 5 minutes each and probed with a goat anti-rabbit IgG-HRP secondary antibody at a dilution of 1:5000 for 1.5 hour at RT. The signal is developed using an ECL Plus Western Blotting Substrate with Tanon 5200 system. A predominant band is detected at ~50–55 kDa across samples, consistent with the mature, presequence-cleaved mitochondrial form of glutamate dehydrogenase, which migrates faster than the ~61 kDa precursor.
Immunohistochemical staining of GLUD1 using anti-GLUD1 antibody. GLUD1 was detected in a paraffin-embedded section of human esophageal cancer tissue. Heat mediated antigen retrieval was performed in EDTA buffer (pH 8.0, epitope retrieval solution). The tissue section was blocked with 10% goat serum. The tissue section was then incubated with 2 ug/ml rabbit anti-GLUD1 antibody overnight at 4oC. Peroxidase Conjugated Goat Anti-rabbit IgG was used as secondary antibody and incubated for 30 minutes at 37oC. The tissue section was developed using an HRP secondary and DAB substrate.
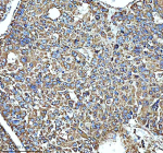
Immunohistochemical staining of GLUD1 using anti-GLUD1 antibody. GLUD1 was detected in a paraffin-embedded section of human liver cancer tissue. Heat mediated antigen retrieval was performed in EDTA buffer (pH 8.0, epitope retrieval solution). The tissue section was blocked with 10% goat serum. The tissue section was then incubated with 2 ug/ml rabbit anti-GLUD1 antibody overnight at 4oC. Peroxidase Conjugated Goat Anti-rabbit IgG was used as secondary antibody and incubated for 30 minutes at 37oC. The tissue section was developed using an HRP secondary and DAB substrate.
Immunohistochemical staining of GLUD1 using anti-GLUD1 antibody. GLUD1 was detected in a paraffin-embedded section of human lung cancer tissue. Heat mediated antigen retrieval was performed in EDTA buffer (pH 8.0, epitope retrieval solution). The tissue section was blocked with 10% goat serum. The tissue section was then incubated with 2 ug/ml rabbit anti-GLUD1 antibody overnight at 4oC. Peroxidase Conjugated Goat Anti-rabbit IgG was used as secondary antibody and incubated for 30 minutes at 37oC. The tissue section was developed using an HRP secondary and DAB substrate.
Immunohistochemical staining of GLUD1 using anti-GLUD1 antibody. GLUD1 was detected in a paraffin-embedded section of human osteosarcoma tissue. Heat mediated antigen retrieval was performed in EDTA buffer (pH 8.0, epitope retrieval solution). The tissue section was blocked with 10% goat serum. The tissue section was then incubated with 2 ug/ml rabbit anti-GLUD1 antibody overnight at 4oC. Peroxidase Conjugated Goat Anti-rabbit IgG was used as secondary antibody and incubated for 30 minutes at 37oC. The tissue section was developed using an HRP secondary and DAB substrate.
Immunohistochemical staining of GLUD1 using anti-GLUD1 antibody. GLUD1 was detected in a paraffin-embedded section of human ovarian cancer tissue. Heat mediated antigen retrieval was performed in EDTA buffer (pH 8.0, epitope retrieval solution). The tissue section was blocked with 10% goat serum. The tissue section was then incubated with 2 ug/ml rabbit anti-GLUD1 antibody overnight at 4oC. Peroxidase Conjugated Goat Anti-rabbit IgG was used as secondary antibody and incubated for 30 minutes at 37oC. The tissue section was developed using an HRP secondary and DAB substrate.
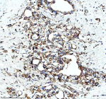
Immunohistochemical staining of GLUD1 using anti-GLUD1 antibody. GLUD1 was detected in a paraffin-embedded section of human placenta tissue. Heat mediated antigen retrieval was performed in EDTA buffer (pH 8.0, epitope retrieval solution). The tissue section was blocked with 10% goat serum. The tissue section was then incubated with 2 ug/ml rabbit anti-GLUD1 antibody overnight at 4oC. Peroxidase Conjugated Goat Anti-rabbit IgG was used as secondary antibody and incubated for 30 minutes at 37oC. The tissue section was developed using an HRP secondary and DAB substrate.
Immunohistochemical staining of GLUD1 using anti-GLUD1 antibody. GLUD1 was detected in a paraffin-embedded section of human spleen tissue. Heat mediated antigen retrieval was performed in EDTA buffer (pH 8.0, epitope retrieval solution). The tissue section was blocked with 10% goat serum. The tissue section was then incubated with 2 ug/ml rabbit anti-GLUD1 antibody overnight at 4oC. Peroxidase Conjugated Goat Anti-rabbit IgG was used as secondary antibody and incubated for 30 minutes at 37oC. The tissue section was developed using an HRP secondary and DAB substrate.
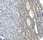
Immunohistochemical staining of GLUD1 using anti-GLUD1 antibody. GLUD1 was detected in a paraffin-embedded section of human stomach cancer tissue. Heat mediated antigen retrieval was performed in EDTA buffer (pH 8.0, epitope retrieval solution). The tissue section was blocked with 10% goat serum. The tissue section was then incubated with 2 ug/ml rabbit anti-GLUD1 antibody overnight at 4oC. Peroxidase Conjugated Goat Anti-rabbit IgG was used as secondary antibody and incubated for 30 minutes at 37oC. The tissue section was developed using an HRP secondary and DAB substrate.
Immunofluorescent staining of FFPE human HeLa cells with GLUD1 antibody (red) and DAPI nuclear stain (blue). HIER: steam section in pH6 citrate buffer for 20 min.
Flow cytometry analysis of fixed and permeabilized human HepG2 cells with GLUD1 antibody at 1ug/million cells (blocked with goat sera); Red=cells alone, Green=isotype control, Blue= GLUD1 antibody.
Availability 1-2 days
Species Reactivity Human, Mouse, Rat
Format Lyophilized
Host Rabbit
Clonality Polyclonal (rabbit origin)
Isotype Rabbit IgG
Purity Immunogen affinity purified
Buffer Each vial contains 4 mg Trehalose, 0.9 mg NaCl, 0.2 mg Na2HPO4.
UniProt P00367
Localization Cytoplasm (Mitochondria, ER)
Applications ELISA : 0.1-0.5ug/ml
Flow Cytometry : 1-3ug/million cells
Immunoprecipitation : 2-4ug/500ug of lysate
Immunofluorescence : 5ug/ml
Immunohistochemistry : 2-5ug/ml
Immunocytochemistry : 5ug/ml
Western Blot : 0.25-0.5ug/ml
Limitations This GLUD1 antibody is available for research use only.
Review this product on BioCompare and get a $20 Amazon gift card

Related Products

Description

GLUD1 antibody detects Glutamate dehydrogenase 1, a mitochondrial enzyme that catalyzes the reversible oxidative deamination of glutamate to alpha-ketoglutarate and ammonia. The UniProt recommended name is Glutamate dehydrogenase 1, mitochondrial (GLUD1). This enzyme connects amino acid metabolism to the tricarboxylic acid (TCA) cycle, serving as a key regulator of nitrogen balance and cellular energy production.

Functionally, GLUD1 antibody identifies a 558-amino-acid enzyme located in the mitochondrial matrix. GLUD1 catalyzes the interconversion of glutamate and alpha-ketoglutarate with the reduction or oxidation of NAD(P)+ cofactors. This reaction controls the flow of carbon and nitrogen through metabolic networks, linking amino acid catabolism, the TCA cycle, and oxidative phosphorylation. In the brain, GLUD1 contributes to the glutamate-glutamine cycle, influencing neurotransmitter turnover and synaptic function.

The GLUD1 gene is located on chromosome 10q23.3 and encodes a hexameric enzyme regulated allosterically by ADP, GTP, leucine, and other metabolites. GLUD1 activity increases during energy demand, providing substrates for ATP synthesis, while its inhibition by GTP prevents excessive ammonia production. Mutations in GLUD1 cause hyperinsulinism-hyperammonemia (HI/HA) syndrome, characterized by dysregulated insulin secretion due to elevated oxidative deamination in pancreatic beta cells.

In hepatic tissue, GLUD1 participates in ammonia detoxification and urea synthesis by controlling the balance between glutamate oxidation and synthesis. In pancreatic islets, its activity modulates insulin release in response to amino acids. In neurons, GLUD1 provides energy intermediates and regulates excitatory neurotransmission. Dysregulation of GLUD1 is implicated in neurodegenerative diseases, metabolic syndromes, and hyperinsulinemic disorders.

GLUD1 antibody is widely used in research involving metabolism, neurobiology, and endocrinology. It is suitable for immunoblotting, immunofluorescence, and enzyme localization studies to assess mitochondrial distribution and activity. This antibody enables detection of GLUD1 in tissues such as liver, brain, and pancreas, where it plays distinct metabolic roles. In cancer research, GLUD1 expression correlates with metabolic reprogramming, supporting tumor cell growth through glutamine oxidation.

Structurally, GLUD1 forms a hexameric complex with alternating catalytic and regulatory domains. The enzyme's activity is modulated by phosphorylation, redox state, and energy charge. NSJ Bioreagents provides GLUD1 antibody reagents validated for use in mitochondrial metabolism, neurochemistry, and metabolic disease research.

Application Notes

Optimal dilution of the GLUD1 antibody should be determined by the researcher.

Immunogen

E.coli-derived human GLUD1 recombinant protein (Position: A210-T558) was used as the immunogen for the GLUD1 antibody.

Storage

After reconstitution, the GLUD1 antibody can be stored for up to one month at 4oC. For long-term, aliquot and store at -20oC. Avoid repeated freezing and thawing.

Cross
Bulk Quote Request Form
Name*:
Organization*:
Email*:
Phone Number*:
Catalog No.*:
Comments and Specifics(amount, formulation, etc.)*:
Validation code: Captchapackage Image


Can't read the image? click here to refresh.
    *required field

Your bulk quote request has been submitted successfully!

Please contact us if you have any questions.