• Tel: 858.663.9055
  • SeparatorEmail: info@nsjbio.com
  • Tel: 858.663.9055
  • Email: info@nsjbio.com
Home >> Antibodies >> Glucocorticoid receptor Antibody / GR / NR3C1

Glucocorticoid receptor Antibody / GR / NR3C1 (R31645)

  Catalog No Formulation Size Price (USD)  
Image R31645 0.5mg/ml if reconstituted with 0.2ml sterile DI water 100 ug 449
Bulk quote request
Immunofluorescent staining of FFPE human MCF7 cells with Glucocorticoid receptor antibody (red) and DAPI nuclear stain (blue). HIER: steam section in pH6 citrate buffer for 20 min.
IHC staining of FFPE human rectal cancer tissue with Glucocorticoid receptor antibody. HIER: boil tissue sections in pH8 EDTA for 20 min and allow to cool before testing.
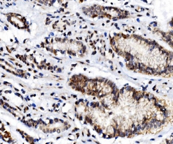
IHC staining of FFPE human gastric cancer tissue with Glucocorticoid receptor antibody. HIER: boil tissue sections in pH8 EDTA for 20 min and allow to cool before testing.
IHC staining of FFPE human gastric cancer tissue with Glucocorticoid receptor antibody. HIER: boil tissue sections in pH8 EDTA for 20 min and allow to cool before testing.
Western blot testing of human 1) HeLa, 2) A549 and 3) HEK293 cell lysate with Glucocorticoid receptor antibody. Predicted molecular weight: 91~94 kDa.
Flow cytometry testing of human SiHa cells with Glucocorticoid receptor antibody at 1ug/million cells (blocked with goat sera); Red=cells alone, Green=isotype control, Blue= Glucocorticoid receptor antibody.
Availability 1-3 business days
Species Reactivity Human
Format Antigen affinity purified
Host Rabbit
Clonality Polyclonal (rabbit origin)
Isotype Rabbit IgG
Purity Antigen affinity
Buffer Lyophilized from 1X PBS with 2.5% BSA and 0.025% sodium azide
Gene ID 2908
Localization Nuclear
Applications Western Blot : 0.5-1ug/ml
Immunohistochemistry (FFPE) : 2-5ug/ml
Immunofluorescence : 5ug/ml
Flow Cytometry : 1-3ug/million cells
Limitations This Glucocorticoid receptor antibody is available for research use only.
Review this product on BioCompare and get a $20 Amazon gift card

Related Products

Description

The glucocorticoid receptor (GR, or GCR), also known as NR3C1, is the receptor to which cortisol and other glucocorticoids bind. In humans, the GR protein is encoded by NR3C1 gene which is located on chromosome 5 (5q31). GR is expressed in almost every cell in the body and regulates genes controlling the development, metabolism, and immune response. Because the receptor is expressed in several forms, it has many different effects in different parts of the body. The activated GR complex up-regulates the expression of anti-inflammatory proteins in the nucleus or represses the expression of pro-inflammatory proteins in the cytosol (by preventing the translocation of other transcription factors from the cytosol into the nucleus).

Application Notes

The stated application concentrations are suggested starting amounts. Titration of the Glucocorticoid receptor antibody may be required due to differences in protocols and secondary/substrate sensitivity.

Immunogen

Partial recombinant human NR3C1 protein (AA 1-373) was used as the immunogen for this Glucocorticoid receptor antibody.

Storage

After reconstitution, the Glucocorticoid receptor antibody can be stored for up to one month at 4oC. For long-term, aliquot and store at -20oC. Avoid repeated freezing and thawing.

Cross
Bulk Quote Request Form
Name*:
Organization*:
Email*:
Phone Number*:
Catalog No.*:
Comments and Specifics(amount, formulation, etc.)*:
Validation code: Captchapackage Image


Can't read the image? click here to refresh.
    *required field

Your bulk quote request has been submitted successfully!

Please contact us if you have any questions.