• Tel: 858.663.9055
  • SeparatorEmail: info@nsjbio.com
  • Tel: 858.663.9055
  • Email: info@nsjbio.com
Home >> Antibodies >> GLRX Antibody / Glutaredoxin 1

GLRX Antibody / Glutaredoxin 1 (RQ8925)

  Catalog No Formulation Size Price (USD)  
Image RQ8925 0.5mg/ml if reconstituted with 0.2ml sterile DI water 100 ug 449
Bulk quote request
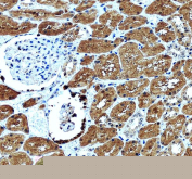
IHC staining of FFPE human kidney tissue with GLRX antibody, HRP-secondary and DAB substrate. HIER: boil tissue sections in pH8 EDTA for 20 min and allow to cool before testing.
Immunofluorescent staining of FFPE human A431 cells with GLRX antibody (green) and DAPI nuclear stain (blue). HIER: steam section in pH6 citrate buffer for 20 min.
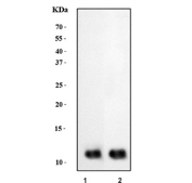
Western blot testing of 1) human HepG2 and 2) human PC-3 cell lysate with GLRX antibody. Predicted molecular weight ~12 kDa.
Flow cytometry testing of fixed and permeabilized human HeLa cells with GLRX antibody at 1ug/million cells (blocked with goat sera); Red=cells alone, Green=isotype control, Blue= GLRX antibody.
Availability 1-2 business days
Species Reactivity Human
Format Antigen affinity purified
Host Rabbit
Clonality Polyclonal (rabbit origin)
Isotype Rabbit IgG
Purity Antigen affinity purified
Buffer Lyophilized from 1X PBS with 2% Trehalose
UniProt P35754
Localization Cytoplasmic
Applications Western Blot : 1-2ug/ml
Immunohistochemistry (FFPE) : 2-5ug/ml
Flow Cytometry : 1-3ug/million cells
Immunofluorescence : 5ug/ml
ELISA : 0.1-0.5ug/ml
Limitations This GLRX antibody is available for research use only.
Review this product on BioCompare and get a $20 Amazon gift card

Description

GLRX (Glutaredoxin 1) is a small redox enzyme that belongs to the thioredoxin family and plays an essential role in maintaining cellular redox homeostasis. It catalyzes the reversible reduction of protein disulfides and mixed disulfides formed between proteins and glutathione, a process known as deglutathionylation. This activity regulates protein function, protects against oxidative stress, and ensures proper signal transduction. Researchers frequently use a GLRX antibody to investigate antioxidant defense systems, redox regulation, and stress responses.

GLRX is widely expressed in mammalian tissues, with particularly high levels in heart, liver, and skeletal muscle. Its enzymatic activity is critical in pathways that counteract oxidative damage and maintain the thiol status of proteins. Dysregulation of GLRX has been linked to cardiovascular disease, neurodegenerative disorders, and cancer, where imbalances in redox signaling contribute to disease pathology. Employing a GLRX antibody allows scientists to analyze protein expression, localization, and post-translational modifications in health and disease.

In addition to its protective role, GLRX has been implicated in apoptosis, inflammatory responses, and mitochondrial function. It also interacts with iron-sulfur cluster proteins, influencing mitochondrial biogenesis and energy metabolism. Because oxidative stress is a common hallmark of many diseases, GLRX remains an attractive target for translational research. Using a GLRX antibody provides a reliable approach for monitoring its activity and contribution to cellular redox control.

NSJ Bioreagents provides a high-quality GLRX antibody validated for applications such as western blot, immunohistochemistry, and immunofluorescence. Choosing a GLRX antibody from NSJ Bioreagents ensures consistent performance and reproducibility in studies of oxidative stress, redox regulation, and disease mechanisms.

Application Notes

Optimal dilution of the GLRX antibody should be determined by the researcher.

Immunogen

A human recombinant partial protein (amino acids M1-Q106) was used as the immunogen for the GLRX antibody.

Storage

After reconstitution, the GLRX antibody can be stored for up to one month at 4oC. For long-term, aliquot and store at -20oC. Avoid repeated freezing and thawing.

Cross
Bulk Quote Request Form
Name*:
Organization*:
Email*:
Phone Number*:
Catalog No.*:
Comments and Specifics(amount, formulation, etc.)*:
Validation code: Captchapackage Image


Can't read the image? click here to refresh.
    *required field

Your bulk quote request has been submitted successfully!

Please contact us if you have any questions.