• Tel: 858.663.9055
  • SeparatorEmail: info@nsjbio.com
  • Tel: 858.663.9055
  • Email: info@nsjbio.com
Home >> Antibodies >> GLOD5 Antibody / Glyoxalase domain-containing protein 5

GLOD5 Antibody / Glyoxalase domain-containing protein 5 (FY13078)

  Catalog No Formulation Size Price (USD)  
Image FY13078 Adding 0.2 ml of distilled water will yield a concentration of 500 ug/ml 100 ug 439
Bulk quote request
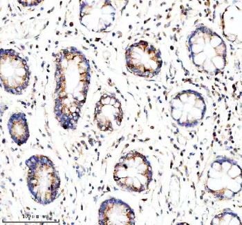
Immunohistochemical staining of GLOD5 using anti-GLOD5 antibody. GLOD5 was detected in a paraffin-embedded section of human stomach tissue. Heat mediated antigen retrieval was performed in EDTA buffer (pH 8.0, epitope retrieval solution). The tissue section was blocked with 10% goat serum. The tissue section was then incubated with 2 ug/ml rabbit anti-GLOD5 antibody overnight at 4oC. Peroxidase Conjugated Goat Anti-rabbit IgG was used as secondary antibody and incubated for 30 minutes at 37oC. The tissue section was developed using an HRP secondary and DAB substrate.
Western blot analysis of GLOD5 using anti-GLOD5 antibody. Lane 1: rat small intestine tissue lysates, Lane 2: mouse small intestine tissue lysates. After electrophoresis, proteins were transferred to a nitrocellulose membrane at 150 mA for 50-90 minutes. Blocked the membrane with 5% non-fat milk/TBS for 1.5 hour at RT. The membrane was incubated with rabbit anti-GLOD5 antibody at 0.5 ug/ml overnight at 4oC, then washed with TBS-0.1%Tween 3 times with 5 minutes each and probed with a goat anti-rabbit IgG-HRP secondary antibody at a dilution of 1:5000 for 1.5 hour at RT. The signal was developed using enhanced chemiluminescent. A single band is detected at approximately 15 kDa, slightly below the predicted molecular weight of 18 kDa. The smaller apparent size is consistent with reports of faster migration of acidic, low-molecular-weight glyoxalase-domain proteins, likely due to N-terminal processing and altered SDS binding characteristics. The observed band corresponds to the mature GLOD5 enzyme.
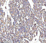
Immunohistochemical staining of GLOD5 using anti-GLOD5 antibody. GLOD5 was detected in a paraffin-embedded section of human stomach cancer tissue. Heat mediated antigen retrieval was performed in EDTA buffer (pH 8.0, epitope retrieval solution). The tissue section was blocked with 10% goat serum. The tissue section was then incubated with 2 ug/ml rabbit anti-GLOD5 antibody overnight at 4oC. Peroxidase Conjugated Goat Anti-rabbit IgG was used as secondary antibody and incubated for 30 minutes at 37oC. The tissue section was developed using an HRP secondary and DAB substrate.
Flow Cytometry analysis of RT4 cells using anti-GLOD5 antibody. Overlay histogram showing RT4 cells stained with (Blue line). To facilitate intracellular staining, cells were fixed with 4% paraformaldehyde and permeabilized with permeabilization buffer. The cells were blocked with 10% normal goat serum. And then incubated with rabbit anti-GLOD5 antibody (1 ug/million cells) for 30 min at 20oC. DyLight 488 conjugated goat anti-rabbit IgG (5-10 ug/million cells) was used as secondary antibody for 30 minutes at 20oC. Isotype control antibody (Green line) was rabbit IgG (1 ug/million cells) used under the same conditions. Unlabelled sample without incubation with primary antibody and secondary antibody (Red line) was used as a blank control.
Availability 1-2 days
Species Reactivity Human, Mouse, Rat
Format Lyophilized
Clonality Polyclonal (rabbit origin)
Isotype Rabbit IgG
Purity Immunogen affinity purified
Buffer Each vial contains 4 mg Trehalose, 0.9 mg NaCl, 0.2 mg Na2HPO4.
UniProt A6NK44
Localization Mitochondria
Applications Western Blot : 0.25-0.5ug/ml
Immunohistochemistry : 2-5ug/ml
Flow Cytometry : 1-3ug/million cells
ELISA : 0.1-0.5ug/ml
Limitations This GLOD5 antibody is available for research use only.
Review this product on BioCompare and get a $20 Amazon gift card

Description

GLOD5 antibody detects Glyoxalase domain-containing protein 5, an oxidoreductase-like protein potentially involved in detoxification of reactive carbonyl compounds. The UniProt recommended name is Glyoxalase domain-containing protein 5 (GLOD5). Although its enzymatic activity remains incompletely characterized, sequence analysis indicates homology to the glyoxalase and dioxygenase enzyme families responsible for cellular stress defense.

Functionally, GLOD5 antibody recognizes a cytoplasmic protein of approximately 160 amino acids that contains a metalloenzyme fold typical of glyoxalase domains. It is thought to play a role in the metabolism of reactive aldehydes and other cytotoxic intermediates generated during oxidative stress. GLOD5 expression may also contribute to maintaining redox balance and protecting cells from metabolic byproducts.

The GLOD5 gene is located on chromosome 9p13.2 and exhibits widespread expression in human tissues, including brain, kidney, and liver. Its evolutionary conservation among mammals suggests a physiological role in small-molecule metabolism or detoxification pathways. GLOD5 expression has been reported to increase under oxidative stress conditions, further linking it to cellular protection mechanisms.

Pathologically, altered GLOD5 expression may influence cell viability and stress adaptation. Dysregulation of glyoxalase-related enzymes is associated with diabetes, neurodegeneration, and cancer, though the specific contribution of GLOD5 remains under investigation. Using GLOD5 antibody enables detection of this lesser-known member of the glyoxalase family and aids exploration of its potential metabolic roles.

GLOD5 antibody is suitable for western blotting, immunocytochemistry, and immunohistochemistry to detect GLOD5 in cell and tissue extracts. NSJ Bioreagents offers GLOD5 antibody reagents validated for use in redox biology, metabolism, and cellular stress response research.

Structurally, GLOD5 contains a glyoxalase-like catalytic fold capable of coordinating divalent metal ions, although its active-site residues are not fully conserved. This antibody assists researchers in clarifying GLOD5's molecular function and contribution to oxidative metabolism.

Application Notes

Optimal dilution of the GLOD5 antibody should be determined by the researcher.

Immunogen

E.coli-derived human GLOD5 recombinant protein (Position: M1-S160) was used as the immunogen for the GLOD5 antibody.

Storage

After reconstitution, the GLOD5 antibody can be stored for up to one month at 4oC. For long-term, aliquot and store at -20oC. Avoid repeated freezing and thawing.

Cross
Bulk Quote Request Form
Name*:
Organization*:
Email*:
Phone Number*:
Catalog No.*:
Comments and Specifics(amount, formulation, etc.)*:
Validation code: Captchapackage Image


Can't read the image? click here to refresh.
    *required field

Your bulk quote request has been submitted successfully!

Please contact us if you have any questions.