• Tel: 858.663.9055
  • SeparatorEmail: info@nsjbio.com
  • Tel: 858.663.9055
  • Email: info@nsjbio.com
Home >> Antibodies >> GlnRS Antibody / Glutaminyl-tRNA synthetase / QARS1

GlnRS Antibody / Glutaminyl-tRNA synthetase / QARS1 (RQ8734)

  Catalog No Formulation Size Price (USD)  
Image RQ8734 0.5mg/ml if reconstituted with 0.2ml sterile DI water 100 ug 449
Bulk quote request
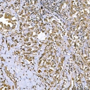
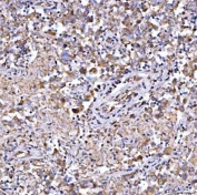
IHC staining of FFPE human glioblastoma tissue with GlnRS antibody. HIER: boil tissue sections in pH8 EDTA for 20 min and allow to cool before testing.
IHC staining of FFPE human testicular seminoma tissue with GlnRS antibody. HIER: boil tissue sections in pH8 EDTA for 20 min and allow to cool before testing.
IHC staining of FFPE human breast cancer tissue with GlnRS antibody. HIER: boil tissue sections in pH8 EDTA for 20 min and allow to cool before testing.
IHC staining of FFPE human thyroid cancer tissue with GlnRS antibody. HIER: boil tissue sections in pH8 EDTA for 20 min and allow to cool before testing.
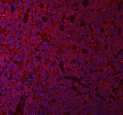
Immunofluorescent staining of FFPE human T-47 D cells with GlnRS antibody (red) and DAPI nuclear stain (blue). HIER: steam section in pH6 citrate buffer for 20 min.
Immunofluorescent staining of FFPE human testicular cancer tissue with GlnRS antibody (red) and DAPI nuclear stain (blue). HIER: steam section in pH8 EDTA buffer for 20 min.
Immunofluorescent staining of FFPE human thyroid carcinoma tissue with GlnRS antibody (red) and DAPI nuclear stain (blue). HIER: steam section in pH8 EDTA buffer for 20 min.
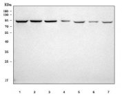
Western blot testing of 1) human HeLa, 2) human HepG2, 3) human RT4, 4) rat liver, 5) rat RH35, 6) mouse liver and 7) mouse NIH 3T3 cell lysate with GlnRS antibody. Predicted molecular weight ~88 kDa.
Flow cytometry testing of fixed and permeabilized human ThP-1 cells with GlnRS antibody at 1ug/million cells (blocked with goat sera); Red=cells alone, Green=isotype control, Blue= GlnRS antibody.
Availability 1-3 days
Species Reactivity Human, Mouse, Rat
Format Antigen affinity purified
Host Rabbit
Clonality Polyclonal (rabbit origin)
Isotype Rabbit IgG
Purity Antigen affinity chromatography
Buffer Lyophilized from 1X PBS with 2% Trehalose
Applications Western Blot : 1-2ug/ml
Immunohistochemistry (FFPE) : 2-5ug/ml
Immunofluorescence : 5ug/ml
Flow Cytometry : 1-3ug/million cells
ELISA : 0.1-0.5ug/ml
Limitations This GlnRS antibody is available for research use only.
Review this product on BioCompare and get a $20 Amazon gift card

Description

Glutaminyl-tRNA synthetase plays a critical role in brain development.

Application Notes

Optimal dilution of the GlnRS antibody should be determined by the researcher.

Immunogen

An E.coli-derived human recombinant protein (amino acids Q32-K774) was used as the immunogen for the GlnRS antibody.

Storage

After reconstitution, the GlnRS antibody can be stored for up to one month at 4oC. For long-term, aliquot and store at -20oC. Avoid repeated freezing and thawing.

Cross
Bulk Quote Request Form
Name*:
Organization*:
Email*:
Phone Number*:
Catalog No.*:
Comments and Specifics(amount, formulation, etc.)*:
Validation code: Captchapackage Image


Can't read the image? click here to refresh.
    *required field

Your bulk quote request has been submitted successfully!

Please contact us if you have any questions.