• Tel: 858.663.9055
  • SeparatorEmail: info@nsjbio.com
  • Tel: 858.663.9055
  • Email: info@nsjbio.com
Home >> Antibodies >> GLIPR2 Antibody / GLI pathogenesis-related protein 2

GLIPR2 Antibody / GLI pathogenesis-related protein 2 (FY12956)

  Catalog No Formulation Size Price (USD)  
Image FY12956 Adding 0.2 ml of distilled water will yield a concentration of 500 ug/ml 100 ug 439
Bulk quote request
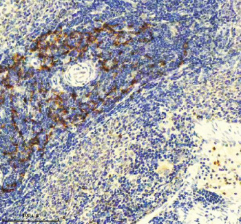
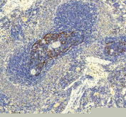
Immunohistochemical staining of GLIPR2 using anti-GLIPR2 antibody. GLIPR2 was detected in a paraffin-embedded section of rat spleen tissue. Heat mediated antigen retrieval was performed in EDTA buffer (pH 8.0, epitope retrieval solution). The tissue section was blocked with 10% goat serum. The tissue section was then incubated with 2 ug/ml rabbit anti-GLIPR2 antibody overnight at 4oC. Peroxidase Conjugated Goat Anti-rabbit IgG was used as secondary antibody and incubated for 30 minutes at 37oC. The tissue section was developed using an HRP secondary and DAB substrate.
Immunohistochemical staining of GLIPR2 using anti-GLIPR2 antibody. GLIPR2 was detected in a paraffin-embedded section of rat spleen tissue. Heat mediated antigen retrieval was performed in EDTA buffer (pH 8.0, epitope retrieval solution). The tissue section was blocked with 10% goat serum. The tissue section was then incubated with 2 ug/ml rabbit anti-GLIPR2 antibody overnight at 4oC. Peroxidase Conjugated Goat Anti-rabbit IgG was used as secondary antibody and incubated for 30 minutes at 37oC. The tissue section was developed using an HRP secondary and DAB substrate.
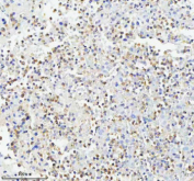
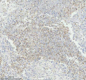
Immunohistochemical staining of GLIPR2 using anti-GLIPR2 antibody. GLIPR2 was detected in a paraffin-embedded section of human lung cancer tissue. Heat mediated antigen retrieval was performed in EDTA buffer (pH 8.0, epitope retrieval solution). The tissue section was blocked with 10% goat serum. The tissue section was then incubated with 2 ug/ml rabbit anti-GLIPR2 antibody overnight at 4oC. Peroxidase Conjugated Goat Anti-rabbit IgG was used as secondary antibody and incubated for 30 minutes at 37oC. The tissue section was developed using an HRP secondary and DAB substrate.
Immunohistochemical staining of GLIPR2 using anti-GLIPR2 antibody. GLIPR2 was detected in a paraffin-embedded section of human lung cancer tissue. Heat mediated antigen retrieval was performed in EDTA buffer (pH 8.0, epitope retrieval solution). The tissue section was blocked with 10% goat serum. The tissue section was then incubated with 2 ug/ml rabbit anti-GLIPR2 antibody overnight at 4oC. Peroxidase Conjugated Goat Anti-rabbit IgG was used as secondary antibody and incubated for 30 minutes at 37oC. The tissue section was developed using an HRP secondary and DAB substrate.
Western blot analysis of GLIPR2 using anti-GLIPR2 antibody. Lane 1: human U251 whole cell lysates, Lane 2: human U20S whole cell lysates, Lane 3: human THP-1 whole cell lysates, Lane 4: human Hela whole cell lysates, Lane 5: rat brain tissue lysates, Lane 6: rat RH35 whole cell lysates, Lane 8: mouse brain tissue lysates, Lane 9: mouse NIH/3T3 whole cell lysates. After electrophoresis, proteins were transferred to a nitrocellulose membrane at 150 mA for 50-90 minutes. Blocked the membrane with 5% non-fat milk/TBS for 1.5 hour at RT. The membrane was incubated with rabbit anti-GLIPR2 antibody at 0.5 ug/ml overnight at 4oC, then washed with TBS-0.1%Tween 3 times with 5 minutes each and probed with a goat anti-rabbit IgG-HRP secondary antibody at a dilution of 1:5000 for 1.5 hour at RT. The signal was developed using enhanced chemiluminescent. A specific band was detected for GLIPR2 at approximately 17 kDa. The expected molecular weight of GLIPR2 is ~17 kDa.
Flow Cytometry analysis of THP-1 cells using anti-GLIPR2 antibody. Overlay histogram showing THP-1 cells stained with (Blue line). To facilitate intracellular staining, cells were fixed with 4% paraformaldehyde and permeabilized with permeabilization buffer. The cells were blocked with 10% normal goat serum. And then incubated with rabbit anti-GLIPR2 antibody (1 ug/million cells) for 30 min at 20oC. DyLight 488 conjugated goat anti-rabbit IgG (5-10 ug/million cells) was used as secondary antibody for 30 minutes at 20oC. Isotype control antibody (Green line) was rabbit IgG (1 ug/million cells) used under the same conditions. Unlabelled sample without incubation with primary antibody and secondary antibody (Red line) was used as a blank control.
Immunoprecipitating GLIPR2 in U251 whole cell lysate. Western blot analysis of GLIPR2 using anti-GLIPR2 antibody. Lane 1: U251 whole cell lysates (30ug) Lane 2: Rabbit control IgG instead of anti-GLIPR2 antibody in U251 whole cell lysate. Lane 3: anti-GLIPR2 antibody (2ug) + U251 whole cell lysate (500ug) After electrophoresis, proteins were transferred to a membrane. Then the membrane was incubated with rabbit anti-GLIPR2 antibody at a dilution of 0.5 ug/ml and probed with a goat anti-rabbit IgG-HRP secondary antibody. The signal is developed using ECL Plus Western Blotting Substrate. A specific band was detected for GLIPR2 at approximately 17 kDa. The expected molecular weight of GLIPR2 is at 17 kDa.
Availability 1-2 days
Species Reactivity Human, Mouse, Rat
Format Lyophilized
Clonality Polyclonal (rabbit origin)
Isotype Rabbit IgG
Purity Immunogen affinity purified
Buffer Each vial contains 4 mg Trehalose, 0.9 mg NaCl, 0.2 mg Na2HPO4.
UniProt Q9H4G4
Localization Cytoplasm
Applications ELISA : 0.1-0.5ug/ml
Flow Cytometry : 1-3ug/million cells
Immunoprecipitation : 2-4ug/500ug of lysate
Immunohistochemistry : 2-5ug/ml
Western Blot : 0.25-0.5ug/ml
Limitations This GLIPR2 antibody is available for research use only.
Review this product on BioCompare and get a $20 Amazon gift card

Description

GLIPR2 antibody detects GLI pathogenesis-related protein 2, a member of the pathogenesis-related (PR-1) protein superfamily implicated in autophagy regulation, cellular stress response, and tumor progression. The UniProt recommended name is GLI pathogenesis-related protein 2 (GLIPR2), also known as Golgi-associated plant pathogenesis-related protein 1 domain-containing protein 2 (GAPR-1). GLIPR2 is a lipid raft-associated protein predominantly localized to the Golgi apparatus and cytoplasmic membranes, where it contributes to membrane homeostasis and cell survival pathways.

Functionally, GLIPR2 antibody recognizes a 172-amino-acid protein that plays a dual role in regulating autophagy and cellular differentiation. GLIPR2 interacts with Beclin-1, a central component of the autophagy initiation complex, to modulate autophagosome formation. Overexpression of GLIPR2 inhibits autophagic flux, whereas its depletion enhances autophagy under stress conditions. This regulatory balance links GLIPR2 to processes such as tumor suppression, cell death, and immune modulation. The protein is expressed in multiple tissues, including liver, kidney, and lung, and its expression is inducible under oxidative or endoplasmic reticulum stress.

The GLIPR2 gene is located on chromosome 9p13.3 and encodes a secreted and membrane-associated protein characterized by a conserved CAP (Cysteine-rich secretory proteins, Antigen 5, and Pathogenesis-related 1) domain. This structural motif enables interactions with lipids, membranes, and signaling proteins, mediating responses to cellular stress. GLIPR2 is known to form homodimers and is subject to regulation by cholesterol content in the Golgi membrane. This localization allows it to influence vesicle trafficking and protein processing under metabolic challenge.

GLIPR2 antibody is widely used in research investigating autophagy, lipid homeostasis, and tumor biology. In cancer studies, GLIPR2 functions as a modulator of epithelial-to-mesenchymal transition (EMT), influencing cell adhesion, migration, and invasion. Dysregulated GLIPR2 expression has been linked to aggressive tumor phenotypes, including hepatocellular carcinoma and renal cell carcinoma. In non-cancer contexts, GLIPR2 participates in innate immune regulation and Golgi stress adaptation. It also contributes to lung tissue integrity by modulating surfactant secretion and inflammatory signaling.

At the molecular level, GLIPR2 interacts with proteins involved in oxidative stress response and chaperone-assisted folding. Its CAP domain facilitates binding to phosphatidylinositol lipids, anchoring it to specific membrane compartments. The GLIPR2 antibody is an essential tool for detecting this protein in cell biology, immunofluorescence, and immunoblotting applications. Its detection assists in understanding Golgi function, autophagy balance, and membrane organization under normal and pathological conditions.

NSJ Bioreagents provides GLIPR2 antibody reagents validated for use in autophagy, oncology, and membrane biology research, supporting studies of stress signaling and intracellular trafficking mechanisms.

Application Notes

Optimal dilution of the GLIPR2 antibody should be determined by the researcher.

Immunogen

E.coli-derived human GLIPR2 recombinant protein (Position: M1-K154) was used as the immunogen for the GLIPR2 antibody.

Storage

After reconstitution, the GLIPR2 antibody can be stored for up to one month at 4oC. For long-term, aliquot and store at -20oC. Avoid repeated freezing and thawing.

Cross
Bulk Quote Request Form
Name*:
Organization*:
Email*:
Phone Number*:
Catalog No.*:
Comments and Specifics(amount, formulation, etc.)*:
Validation code: Captchapackage Image


Can't read the image? click here to refresh.
    *required field

Your bulk quote request has been submitted successfully!

Please contact us if you have any questions.